NR2E3 Antibody
-
中文名稱:NR2E3兔多克隆抗體
-
貨號:CSB-PA865585LA01HU
-
規格:¥440
-
圖片:
-
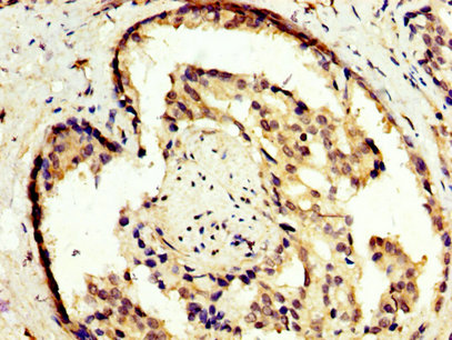
IHC image of CSB-PA865585LA01HU diluted at 1:300 and staining in paraffin-embedded human prostate cancer performed on a Leica BondTM system. After dewaxing and hydration, antigen retrieval was mediated by high pressure in a citrate buffer (pH 6.0). Section was blocked with 10% normal goat serum 30min at RT. Then primary antibody (1% BSA) was incubated at 4°C overnight. The primary is detected by a biotinylated secondary antibody and visualized using an HRP conjugated SP system.
-
-
其他:
產品詳情
-
產品名稱:Rabbit anti-Homo sapiens (Human) NR2E3 Polyclonal antibody
-
Uniprot No.:
-
基因名:
-
別名:ESCS antibody; MGC49976 antibody; NR2 E3 antibody; Nr2e3 antibody; NR2E3_HUMAN antibody; Nuclear receptor subfamily 2 group E member 3 antibody; Photoreceptor specific nuclear receptor antibody; Photoreceptor-specific nuclear receptor antibody; PNR antibody; Rd 7 antibody; Rd7 antibody; Retina specific nuclear receptor antibody; Retina-specific nuclear receptor antibody; Retinal degeneration 7 antibody; RNR antibody; RP37 antibody
-
宿主:Rabbit
-
反應種屬:Human
-
免疫原:Recombinant Human Photoreceptor-specific nuclear receptor protein (112-222AA)
-
免疫原種屬:Homo sapiens (Human)
-
標記方式:Non-conjugated
本頁面中的產品,NR2E3 Antibody (CSB-PA865585LA01HU),的標記方式是Non-conjugated。對于NR2E3 Antibody,我們還提供其他標記。見下表:
-
克隆類型:Polyclonal
-
抗體亞型:IgG
-
純化方式:>95%, Protein G purified
-
濃度:It differs from different batches. Please contact us to confirm it.
-
保存緩沖液:Preservative: 0.03% Proclin 300
Constituents: 50% Glycerol, 0.01M PBS, pH 7.4 -
產品提供形式:Liquid
-
應用范圍:ELISA, IHC
-
推薦稀釋比:
Application Recommended Dilution IHC 1:200-1:500 -
Protocols:
-
儲存條件:Upon receipt, store at -20°C or -80°C. Avoid repeated freeze.
-
貨期:Basically, we can dispatch the products out in 1-3 working days after receiving your orders. Delivery time maybe differs from different purchasing way or location, please kindly consult your local distributors for specific delivery time.
-
用途:For Research Use Only. Not for use in diagnostic or therapeutic procedures.
相關產品
靶點詳情
-
功能:Orphan nuclear receptor of retinal photoreceptor cells. Transcriptional factor that is an activator of rod development and repressor of cone development. Binds the promoter region of a number of rod- and cone-specific genes, including rhodopsin, M- and S-opsin and rod-specific phosphodiesterase beta subunit. Enhances rhodopsin expression. Represses M- and S-cone opsin expression.
-
基因功能參考文獻:
- A diagnosis of autosomal recessive retinitis pigmentosa (ARRP) with cystic maculopathy, caused by compound heterozygous mutation in the gene NR2E3, was made. PMID: 29193891
- The patient presented characteristic symptoms, morphology and electrophysiological characteristics for S-cone deficiency syndrome and presented heterozygous for two mutations, one of which (c.790G>A; p.G264R in NR2E3), to our knowledge, has not been previously reported. PMID: 27573156
- A substitution in exon 2 of NR2E3, expressed the expected pluripotency markers, displayed in vivo differentiation potential to the three germ layers and had normal karyotype PMID: 29034877
- Photoreceptor-specific nuclear receptor (PNR/NR2E3) and Tailless homolog (TLX/NR2E1) are human orthologs of the NR2E group. PMID: 28300834
- The frameshift mutation found in patient 1, p.I307LfsX33, is a new causative mutation for ESCS; it is located in exon 6. This mutation truncates the 410 amino acids in the normal NR2E3 protein into 306 amino acids and causes the synthesis of a protein lacking more than half of the ligand-binding domain. PMID: 27522502
- Autosomal dominant retinitis pigmentosa due to p.Gly56Arg mutation in the NR2E3 gene PMID: 26910043
- NR2E3 is a novel epigenetic regulator that helps to maintain a normal epigenetic status in response to benzo(a)pyrene mediated toxic injury. NR2E3 may be a potential target for cancer prevention. PMID: 26149760
- Study presents evidence that PNR could promote ERalpha-negative breast cancer metastasis through activation of IL-13Ralpha2-mediated signaling pathway. PMID: 24747967
- Direct sequencing of NR2E3 identified 3 previously described mutations and 4 novel mutations in Enhanced S-cone syndrome (ESCS) forms PMID: 25079116
- Molecular genetic studies helped to identify a novel p.D406G mutation in NR2E3 of the Goldmann-Favre syndrome (GFS) and vasoproliferative tumors of the retina affected members. PMID: 24891813
- Genetic screening confirmed the presence of two disease-causing mutations in the NR2E3 gene in each study patient, as well as identified a novel mutation (202 A > G, S68G). PMID: 23604511
- PNR/NR2E3 and related NRs such as TLX and COUPTFs can selectively associate with the developmental corepressor BCL11A via a conserved motif F/YSXXLXXL/Y within the RID1 domain. PMID: 23975195
- The diagnosis of enhanced S-cone syndrome was suggested by the uniquely abnormal electroretinographic pattern and was confirmed by the finding of homozygous NR2E3 mutations. PMID: 23039133
- we report novel mutations in the NR2E3 gene that were discovered in 2 cases with enhanced S-cone syndrome. PMID: 23374571
- Homozygous autosomal recessive retinitis pigmentosa-causing mutations have been found in three Indian families. These included a deletion-cum-insertion in NR2E3. PMID: 22605927
- The presence of a double concentric hyperautofluorescent ring of FAF may represent a highly penetrant early phenotypic marker of NR2E3-p.G56R-linked autosomal dominant retinitis pigmentosa PMID: 22661467
- NR2E3 is essential for expression of ESR1 in ER-positive breast cancer cells by binding directly to the proximal region of the ESR1 promoter. PMID: 22174013
- In HeLa cells, PNR stimulated tumor suppressor p53-responsive promoters in a tumor suppressor p53-dependent fashion and induced apoptosis in several cell types. PMID: 22025681
- The purpose of this study was to compare the nature and implications of mutations in NR2E3 in two subjects with enhanced S Cone Syndrome who have significantly different degrees of degenerative damage. PMID: 21364904
- This homozygous mutation is likely to affect binding to target DNA sites, resulting in a non-functional behavior of NR2E3 protein. PMID: 20725840
- In this study, NR2E3 mutations were found to be responsible for approximately 2.9% of overall retinitis pigmentosa (RP) in Chinese patients, NRL was not associated with RP. PMID: 19933183
- Helicoid subretinal fibrosis is another potential phenotypic manifestation of recessive NR2E3 mutation. PMID: 20212206
- DNA-binding domain mutations in NR2E3 affect in vivo dimerization and interaction with CRX PMID: 19823680
- A review of disease-associated NR2E3 mutations. PMID: 19718767
- In 16 ESCS patients with the most common NR2E3 mutation, R311Q, we documented an abnormal ratio of S to L/M cone function and progressive retinal degeneration. We studied the postmortem retina of an ESCS patient homozygous for NR2E3 R311Q PMID: 11773633
- We found that enhanced S-cone syndrome, Goldmann-Favre syndrome and clumped pigmentary retinal degeneration can all have the same genetic basis. PMID: 12963616
- involved in regulating the expression of rod photoreceptor-specific genes at the transcriptional level PMID: 15190009
- A role for NR2E3 in the rod developmental pathway is suggested. PMID: 15277507
- Fifteen different mutations were identified, including six not previously reported, in patients with Enhanced S Cone Syndrome PMID: 15459973
- These experiments show that in mature vertebrate retina Nr2e3 is expressed exclusively in rods and that Nr2e3 functions as a repressor of cone-specific genes in rod photoreceptor cells. PMID: 15634773
- Nr2e3 is a dual-function transcriptional regulator that acts in concert with Crx to promote and maintain the function of rod photoreceptors. PMID: 15689355
- Our study suggests that the expression of these 2 mutants of NR2E3, acting as a dimer, is correlated with a mild form of ESCS (enhanced S-cone syndrome) PMID: 16225923
- We describe the localization and identification of the photoreceptor cell-specific nuclear receptor gene NR2E3 as a novel disease locus and gene for autosomal dominant retinitis pigmentosa. PMID: 17564971
- Gly56Arg mutation in NR2E3 accounts for approximately 1%-2% of adRP, making it one of the more common single mutations in autosomal dominant retinitis pigmentosa. PMID: 17982421
- NR2E3 gene mutational analyses were carried out in 103 unrelated subjects with different retinal diseases. A total of 14 different sequence variants were identified, including 3 mutations, 6 rare sequence variants and five polymorphisms PMID: 18294254
- The phenotype in enhanced S-cone syndrome is variable, both in fundus appearance and in the severity of the electrophysiological abnormalities. PMID: 18436841
- Functional analysis determined the dominant negative activity of the p.G56R mutant protein as the molecular mechanism of autosomal dominant retinitis pigmentosa (adRP). PMID: 19006237
- Two novel NR2E3 mutations are described that are associated with Goldmann-Favre syndrome and enhanced S-cone syndrome. PMID: 19139342
- Patients with NR2E3 mutations may manifest variable phenotypes. Moreover, patients who are homozygous for the same NR2E3 mutation have variable expression of retinal disease, suggesting the involvement of modifier genes. PMID: 19273793
- This study was undertaken to determine biochemical as well as functional consequences of reported sequence variants and disease-causing mutations in NR2E3. PMID: 19898638
- In a mouse model, Nr2e3 may function by regulating genes involved in cone cell proliferation. Mutations in this gene lead to retinal dysplasia and degeneration by disrupting normal photoreceptor cell topography as well as cell-cell interactions. PMID: 11487564
顯示更多
收起更多
-
相關疾病:Enhanced S cone syndrome (ESCS); Retinitis pigmentosa 37 (RP37)
-
亞細胞定位:Nucleus.
-
蛋白家族:Nuclear hormone receptor family, NR2 subfamily
-
組織特異性:Eye specific; found solely in the outer nuclear layer of the adult neurosensory retina, where the nuclei of cone and rod photoreceptors reside.
-
數據庫鏈接:
Most popular with customers
-
-
Phospho-YAP1 (S127) Recombinant Monoclonal Antibody
Applications: ELISA, WB, IHC
Species Reactivity: Human
-
-
-
-
-
-















