NR1I3 Antibody
-
中文名稱:NR1I3兔多克隆抗體
-
貨號:CSB-PA13019A0Rb
-
規格:¥440
-
圖片:
-
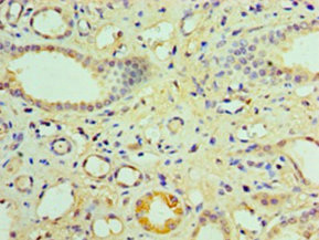
Immunohistochemistry of paraffin-embedded human kidney tissue using CSB-PA13019A0Rb at dilution of 1:100
-
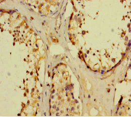
Immunohistochemistry of paraffin-embedded human testis tissue using CSB-PA13019A0Rb at dilution of 1:100
-
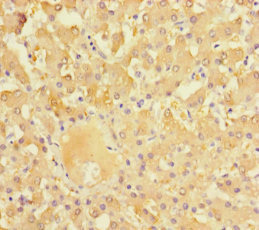
Immunohistochemistry of paraffin-embedded human liver tissue using CSB-PA13019A0Rb at dilution of 1:100
-
-
其他:
產品詳情
-
產品名稱:Rabbit anti-Homo sapiens (Human) NR1I3 Polyclonal antibody
-
Uniprot No.:
-
基因名:NR1I3
-
別名:CAR antibody; CAR BETA antibody; CAR1 antibody; CARA antibody; Constitutive activator of retinoid response antibody; constitutive active receptor antibody; Constitutive active response antibody; constitutive androstane nuclear receptor variant 2 antibody; constitutive androstane nuclear receptor variant 3 antibody; constitutive androstane nuclear receptor variant 4 antibody; constitutive androstane nuclear receptor variant 5 antibody; Constitutive androstane receptor antibody; MB67 antibody; MGC97144 antibody; NR1I3 antibody; NR1I3_HUMAN antibody; Nuclear receptor subfamily 1 group I member 3 antibody; orphan nuclear hormone receptor antibody; Orphan nuclear receptor MB67 antibody; Orphan nuclear receptor NR1I3 antibody
-
宿主:Rabbit
-
反應種屬:Human
-
免疫原:Recombinant Human Nuclear receptor subfamily 1 group I member 3 protein (2-351AA)
-
免疫原種屬:Homo sapiens (Human)
-
標記方式:Non-conjugated
本頁面中的產品,NR1I3 Antibody (CSB-PA13019A0Rb),的標記方式是Non-conjugated。對于NR1I3 Antibody,我們還提供其他標記。見下表:
-
克隆類型:Polyclonal
-
抗體亞型:IgG
-
純化方式:>95%, Protein G purified
-
濃度:It differs from different batches. Please contact us to confirm it.
-
保存緩沖液:Preservative: 0.03% Proclin 300
Constituents: 50% Glycerol, 0.01M PBS, PH 7.4 -
產品提供形式:Liquid
-
應用范圍:ELISA, IHC
-
推薦稀釋比:
Application Recommended Dilution IHC 1:20-1:200 -
Protocols:
-
儲存條件:Upon receipt, store at -20°C or -80°C. Avoid repeated freeze.
-
貨期:Basically, we can dispatch the products out in 1-3 working days after receiving your orders. Delivery time maybe differs from different purchasing way or location, please kindly consult your local distributors for specific delivery time.
-
用途:For Research Use Only. Not for use in diagnostic or therapeutic procedures.
相關產品
靶點詳情
-
功能:Binds and transactivates the retinoic acid response elements that control expression of the retinoic acid receptor beta 2 and alcohol dehydrogenase 3 genes. Transactivates both the phenobarbital responsive element module of the human CYP2B6 gene and the CYP3A4 xenobiotic response element.
-
基因功能參考文獻:
- Expression of microRNA potentially regulated by AhR and CAR in malignant tumors of the endometrium has been reported. PMID: 30225717
- Phosphomimetic substitution of Thr-38 with Asp increased co-immunoprecipitation of the CAR DNA Binding Domain with CAR Ligand Binding Domain in Huh-7 cells. The underlying molecular mechanism that regulates CAR activation is its homodimer-monomer-heterodimer conversion; the monomer and homodimer are phosphorylated at Thr-38 and inactive. PMID: 29133527
- Results suggest that TRIM24 is a novel coactivator of the CAR that is involved in cell- and/or promoter- selective transactivation. PMID: 29101097
- An overview of NR1I2 and NR1I3 pharmacogenetic studies in various therapeutic fields. PMID: 29199543
- replication confirmed at genome-wide significance the association of loci at FOXE1 with hypothyroidism, and PDE8B, CAPZB and PDE10A with serum TSH. A total of 12 SNPs seemed to explain nearly 7% of the serum TSH variation PMID: 28777242
- Dual ligands of CAR/PXR show distinct gene regulation patterns by regulating cross-talk between CAR and PXR. PMID: 27197997
- Data suggest both PXR and CAR are expressed in testis/Sertoli cells; exposure of Sertoli cells (in vitro model of blood-testis barrier) to PXR or CAR ligands (including antiretroviral drugs) up-regulates expression of Pgp/ABCB1, BCRP, and MRP4. (PXR = pregnane X receptor; CAR = constitutive androstane receptor; Pgp/ABCB1 = P-glycoprotein ABCB1; BCRP = breast cancer resistance protein; MRP4 =multidrug resistance protein 4) PMID: 28970358
- Genome-wide comparison of the inducible transcriptomes of nuclear receptors CAR, PXR and PPARalpha in primary human hepatocytes has been presented. PMID: 26994748
- These data provide new insights into the regulation by CAR of glycolytic and lipogenic genes and on pathogenesis of steatosis PMID: 27180240
- Integrative analysis of four RNA-Seq datasets and differential expression revealed for the first time, splicing alterations of SLC39A14 and NR1I3 in hepatocellular carcinoma. PMID: 26711644
- These results reveal both novel and known targets of hCAR and support the role of hCAR in maintaining the homeostasis of metabolism and cell proliferation in the liver. PMID: 26275810
- The homozygous variant genotype of MPJ6_1I3008 is associated with a significant reduced risk of neonatal hyperbilirubinemia in females. PMID: 26188155
- Around 42.5% of the overall interindividual variability in warfarin dose requirements was explained : VKORC1 genotype accounted for 29.6%, CYP2C9 genotype for 4.3%, age for 3.6%, the CYP4F2 genotype for 3.3%, and CAR/HNF4alpha (rs2501873/rs3212198) for 1.7% PMID: 25356900
- It is suggested that the functions of PXR, CAR and AhR may be closely implicated in the pathogeneses of metabolic vascular diseases, such as hyperlipidemia, atherogenesis, and hypertension. PMID: 24859622
- Suggest that PXR and CAR double humanized mice are more sensitive rifampcin induction of cytochrome P450 and UDP-glucuronosyltransferases. PMID: 25835148
- PRMT5 enhances transcriptional activity of constitutive androstane receptor.PRMT5 is a gene-selective co-activator for CAR. PMID: 25721668
- The nuclear receptor constitutive androstane receptor/NR1I3 enhances the profibrotic effects of transforming growth factor beta and contributes to the development of experimental dermal fibrosis. PMID: 25155144
- Donor CYP3A5, NR1I3 gene polymorphisms. PMID: 24351870
- ubiquitin-proteasomal regulation of CCRP and HSP70 are important contributors to the regulation of cytoplasmic CAR levels, and hence the ability of CAR to respond to PB or PB-like inducers PMID: 24789201
- The polymorphisms investigated in PPARA (rs1800206), RXRA (rs11381416), and NR1I2 (rs1523130) did not influence the lipid-lowering efficacy and safety of statin and our results show the possible influence of NR1I3 genetic variant on the safety of statin. PMID: 24232815
- miR-137 is a crucial regulator of cancer response to doxorubicin treatment PMID: 23934188
- The CAR variant, which results in a poor metabolizer phenotype, could account for a higher degree of external genitalia virilization in 21OHD females. PMID: 22978668
- Gadd45B protects the liver through two entirely different processes: binding MKK7 to block damaging signal transduction or binding CAR to coactivate anabolic transcription. (Review) PMID: 24104474
- Activated p38 MAPK is required for CAR to selectively activate a set of genes that encode drug-metabolizing enzymes. PMID: 23539296
- Common genetic variants in the xenobiotic transport and metabolism regulator genes PXR and CAR do not have a significant association with multiple myeloma risk. PMID: 23303387
- CYP2B6 516G>T (P < 0.0001) and CAR rs2307424 C>T (P = 0.002) were significantly related to efavirenz plasma concentrations. PMID: 23172109
- Constitutive androstane receptor-mediated enzyme induction in the liver depends on the presence of beta-catenin at the time of xenobiotic treatment. PMID: 23578392
- Report CAR expression in human parotid glands. PMID: 23614276
- Polymorphisms in the RXRA and NR1I3 genes influence lipid profile in a Southern Brazilian population. PMID: 23079705
- DAX-1 as a novel and potent constitutive androstane receptor (CAR) corepressor and suggest that DAX-1 functions as a coordinate hepatic regulator of CAR's biological function. PMID: 22896671
- DP97 was found to be a gene (or promoter)-selective co-activator for hCAR PMID: 22910411
- phenobarbital-mediated down-regulation of miR-122 is an early and important event in the AMPK-dependent CAR activation and transactivation of its target genes PMID: 22815988
- In severe intrahepatic cholestasis of pregnancy the CAR expression in placenta syncytiotrophoblastic cells increased appreciably, which may be involved in the maintenance of placenta barrier function and protection. PMID: 21733368
- CAR transactivates ABCG2 through the DR5 motif located in its distal promoter in hepatocytes and the motif prefers CAR to pregnane X receptor. PMID: 22093699
- activated ERK1/2 interacts with CAR and represses dephosphorylation of Thr-38, providing a cell signal-regulated mechanism for CAR activation. PMID: 21873423
- CAR mRNA levels were unchanged while protein levels were markedly induced in obstructive cholestasis as compared with the controls. PMID: 21359593
- These data indicate that genetic variability in CYP2B6 and constitutive androstane receptor contributes to early treatment discontinuation for efavirenz-based antiretroviral regimens PMID: 21715435
- These findings provide the first evidence for P-glycoprotein regulation by pregnane X receptor and constitutive androstane receptor at the human blood brain barrier. PMID: 21517853
- results suggest that HNF4alpha plays an important role in the constitutive expression of hepatic UGT2B7, and CAR acts as a negative regulator by interfering with HNF4alpha binding activity PMID: 21415305
- constitutive androstane receptor (hCAR) mediated the CYP2B6 induction by cigarette smoke extract in Hep2G cells; data suggest that smoking up-regulates CYP2B6 through hCAR in vivo PMID: 20966044
- FXR activation in obstructive cholestasis might worsen liver injury by hijacking a protective mechanism regulated by CAR and provides a new molecular explanation to the pathophysiology of cholestasis. PMID: 21296199
- CCAAT/enhancer-binding protein alpha (C/EBPalpha) and hepatocyte nuclear factor 4alpha (HNF4alpha) synergistically cooperate with constitutive androstane receptor to transactivate the human cytochrome P450 2B6 (CYP2B6) gene PMID: 20622021
- Four haplotypes were determined for CAR single nucleotide polymorphisms. PMID: 20218903
- Data observed that OSM positively augmented the CAR and UGT1A1 expressions and CAR-mediated signaling in vivo and in vitro, through cross talk between the nuclear CAR receptor and the plasma membrane OSM receptor, via the MAPK cascade. PMID: 20197307
- Results characterize the conserved threonine 38 of human constitutive active/androstane receptor (CAR) as the primary residue that regulates nuclear translocation and activation of CAR. PMID: 19858220
- CAR antagonizes ER-mediated transcriptional activity by squelching limiting amounts of p160 coactivators, such as SRC-1 and GRIP-1. PMID: 12114525
- Transcriptional regulation of the human CYP3A4 gene by the constitutive androstane receptor. PMID: 12130689
- Regulation of human CYP2C9 by the constitutive androstane receptor: discovery of a new distal binding site. PMID: 12181452
- identified as a key regulator of acetaminophen metabolism and hepatotoxicity PMID: 12376703
- Substantial interindividual differences exist in hepatic constitutive androstane receptor expression; a 240-fold interindividual variability in hepatic mRNA levels has been detected. PMID: 12485946
顯示更多
收起更多
-
亞細胞定位:Nucleus. Cytoplasm. Cytoplasm, cytoskeleton.
-
蛋白家族:Nuclear hormone receptor family, NR1 subfamily
-
組織特異性:Predominantly expressed in liver.
-
數據庫鏈接:
Most popular with customers
-
-
YWHAB Recombinant Monoclonal Antibody
Applications: ELISA, WB, IHC, IF, FC
Species Reactivity: Human, Mouse, Rat
-
Phospho-YAP1 (S127) Recombinant Monoclonal Antibody
Applications: ELISA, WB, IHC
Species Reactivity: Human
-
-
-
-
-















