NPR2 Antibody
-
中文名稱:NPR2兔多克隆抗體
-
貨號:CSB-PA978547
-
規格:¥1100
-
圖片:
-
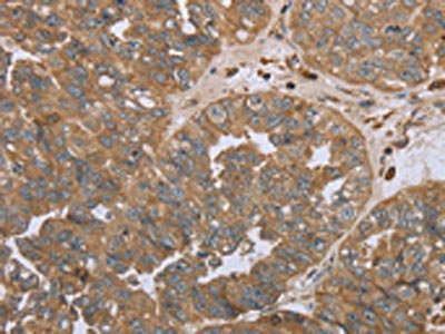
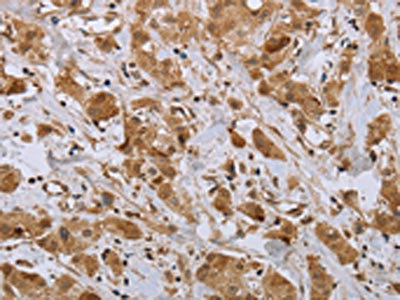
The image on the left is immunohistochemistry of paraffin-embedded Human ovarian cancer tissue using CSB-PA978547(NPR2 Antibody) at dilution 1/45, on the right is treated with synthetic peptide. (Original magnification: ×200)
-
The image on the left is immunohistochemistry of paraffin-embedded Human breast cancer tissue using CSB-PA978547(NPR2 Antibody) at dilution 1/45, on the right is treated with synthetic peptide. (Original magnification: ×200)
-
Gel: 6%SDS-PAGE, Lysate: 40 μg, Lane: Mouse liver tissue, Primary antibody: CSB-PA978547(NPR2 Antibody) at dilution 1/300, Secondary antibody: Goat anti rabbit IgG at 1/8000 dilution, Exposure time: 30 seconds
-
-
其他:
產品詳情
-
Uniprot No.:
-
基因名:
-
別名:AMDM antibody; ANP-B antibody; ANPB antibody; ANPR-B antibody; ANPRB antibody; ANPRB_HUMAN antibody; Atrial natriuretic peptide B type receptor antibody; Atrial natriuretic peptide receptor 2 antibody; Atrial natriuretic peptide receptor type B antibody; Atrionatriuretic peptide receptor B antibody; GC-B antibody; GCB antibody; Guanylate cyclase B antibody; GUC 2B antibody; GUC2B antibody; GUCY2B antibody; Natriuretic peptide receptor B antibody; Natriuretic peptide receptor B/guanylate cyclase B antibody; NPR-B antibody; Npr2 antibody; NPRB antibody; NPRBi antibody
-
宿主:Rabbit
-
反應種屬:Human,Mouse,Rat
-
免疫原:Synthetic peptide of Human NPR2
-
免疫原種屬:Homo sapiens (Human)
-
標記方式:Non-conjugated
-
抗體亞型:IgG
-
純化方式:Antigen affinity purification
-
濃度:It differs from different batches. Please contact us to confirm it.
-
保存緩沖液:-20°C, pH7.4 PBS, 0.05% NaN3, 40% Glycerol
-
產品提供形式:Liquid
-
應用范圍:ELISA,WB,IHC
-
推薦稀釋比:
Application Recommended Dilution ELISA 1:2000-1:5000 WB 1:500-1:2000 IHC 1:50-1:200 -
Protocols:
-
儲存條件:Upon receipt, store at -20°C or -80°C. Avoid repeated freeze.
-
貨期:Basically, we can dispatch the products out in 1-3 working days after receiving your orders. Delivery time maybe differs from different purchasing way or location, please kindly consult your local distributors for specific delivery time.
-
用途:For Research Use Only. Not for use in diagnostic or therapeutic procedures.
相關產品
靶點詳情
-
功能:Receptor for the C-type natriuretic peptide NPPC/CNP hormone. Has guanylate cyclase activity upon binding of its ligand. May play a role in the regulation of skeletal growth.
-
基因功能參考文獻:
- Atenolol treatment normalized the altered expression of Npr1 and Npr2 genes. PMID: 27283501
- in 4 Indian families with acromesomelic dysplasia, type Maroteaux, 4 homozygous mutations in four different families were identified; these include 3 novel mutations including a deletion frameshift mutation (p.Cys586Ter), one nonsense mutation (p.Arg479Ter), one missense mutation (p.Val187Asp) and one reported missense mutation (p.Tyr338Cys) PMID: 27994189
- Heterozygous mutation in NPR2 gene is associated with short stature. PMID: 27941173
- Mutations in three genes (GDF5, NPR2, BMPR1B) have been reported to cause different forms of acromesomelic dysplasia PMID: 26926249
- IL1R2 hypomethylation and androgen receptor hypermethylation may constitute an important determinant of disease severity, whereas NPR2 hypomethylation and SP140 hypermethylation may provide a biomarker for vulnerability to excessive daytime sleepiness in Obstructive Sleep Apnea PMID: 26888452
- Loss-of-function mutations of the NPR2 gene is associated with acromesomelic dysplasia, type maroteaux. PMID: 26567084
- Heterozygous mutations in natriuretic peptide receptor-B (NPR2) gene as a cause of short stature PMID: 25703509
- NPR2 mutations account for approximately 3% of patients with disproportionate short stature and/or clinical or radiographic indicators of SHOX deficiency and in whom no SHOX defect has been identified. PMID: 26075495
- 3 consanguineous families segregating Acromesomelic dysplasia Maroteaux type in an autosomal recessive manner studied. Linkage in the families was established to the NPR2 gene on chromosome 9p12-21. Sequence analysis revealed 2 novel missense variants (p.Arg601Ser; p.Arg749Trp) in 2 families and a previously reported splice site variant (c.2986+2T>G) in the third family. PMID: 25959430
- Overgrowth syndrome associated with a gain-of-function mutation of the natriuretic peptide receptor 2 (NPR2) gene. PMID: 24259409
- Identification of heterozygous dominant negative NPR2 mutations in 2% of Japanese patients with short stature. PMID: 24471569
- KIdney NPR2 protein quantity is significantly impacted by genetic variation. PMID: 23835779
- study concludes V883M mutation increases maximal velocity in absence of C-type natriuretic peptide (CNP), eliminates requirement for ATP in the CNP-dependent Km reduction and disrupts normal inactivation process; established a molecular mechanism for how an amino acid substitution in GC-B activates the enzyme, which results in abnormally long and fragile bones PMID: 23827346
- In transgenic mice, complete absence of Npr2 activity prohibits the bifurcation of cranial sensory axons. PMID: 24431432
- Although no novel phosphorylation sites that influenced the suppression of guanylate cyclase-B were identified, experiments revealed that mutations in Tyr808 markedly enhanced GC-B activity. PMID: 23586811
- We identified heterozygous NPR2 mutations in 6% of patients initially classified as idiopathic short stature. Affected patients have mild and variable degrees of short stature without a distinct phenotype. PMID: 24001744
- The extracellular domain of human GC-B folds independently of the remainder of the protein. PMID: 19108585
- An overgrowth disorder associated with excessive production of cGMP due to a gain-of-function mutation of the natriuretic peptide receptor 2 gene. PMID: 22870295
- Patients with BNP on admission greater than 150/pg/ml have higher probability of death in follow up. PMID: 22633662
- Two novel missense mutations in the gene NPR2 were identified six consanguineous families of Pakistani origin. The presence of the same mutation (p. T907M) and haplotype in five families (A, B, C, D, E) is suggestive of a founder effect. PMID: 22691581
- NPR2 expression in normal human fetal and adult pituitaries and adenomatous pituitary tissue suggests a role for these receptors in both pituitary development and oncogenesis. PMID: 22645228
- GC-B activity is increased in non-myocytes from failing human ventricles, possibly as a result of increased fibrosis. PMID: 22133375
- results provide evidence for a potential causal role of the B-type natriuretic peptide system in the aetiology of type 2 diabetes PMID: 22039354
- Data show that serum B-type natriuretic peptide strongly correlates with new-onset heart failure development at the optimal cut-off value of 175 pg/mL. PMID: 20600420
- These studies showed the presence of NPR-A and NPR-B (mRNAs and protein) in human corneal epithelial tissue. PMID: 20664698
- A polymorphism in natriuretic peptide receptor 2 influences the susceptibility to idiopathic dilated cardiomyopathy in a Chinese cohort. PMID: 20123316
- Results show that VILIP-1 regulates the cell surface localization of natriuretic peptide receptor B. PMID: 20079378
- NPR-B is highly expressed in glomeruli and proximal tubules, whereas NPR-Bi(the splice form) shows strong signals in the distal nephron PMID: 12709393
- a marker for left ventricular dysfunction in diabetic patients. PMID: 14988324
- Mutations in the transmembrane natriuretic peptide receptor NPR-B impair skeletal growth and cause acromesomelic dysplasia, type Maroteaux PMID: 15146390
- The 5' terminus of the hNPR-B gene transcript is ~732 base pairs upstream from the presumed translation start site. Its activity is dominated by a single cluster of Sp1-binding elements in the proximal 5' flanking sequence of the gene. PMID: 15262909
- hyperosmotic and lysophosphatidic acid-dependent inhibition of NPRB is mediated by calcium-dependent phosphorylation PMID: 15371450
- Study focus on the role of NPR-B and its ligand C-type natriuretic peptide in cardiovascular physiology and disease. PMID: 17429599
- intact kinase homology domain of NPR-B is essential for skeletal development PMID: 17652215
- Defective cellular trafficking of NPR-B resulted from missense mutation is associated with acromesomelic dysplasia-type Maroteaux. PMID: 18945719
- BNP level on arrival in the intensive care unit may support early diagnosis and allow optimal management of heart failure after aortic valve replacement PMID: 19167912
- It appears that subjects homozygous for C allele at position 381 of the BNP precursor gene promoter are more prone to develop atherosclerotic lesions in renal arteries. PMID: 19413180
- protein structure: ligand binding domains PMID: 11556325
顯示更多
收起更多
-
相關疾病:Acromesomelic dysplasia, Maroteaux type (AMDM); Epiphyseal chondrodysplasia, Miura type (ECDM); Short stature with non-specific skeletal abnormalities (SNSK)
-
亞細胞定位:Cell membrane; Single-pass type I membrane protein.
-
蛋白家族:Adenylyl cyclase class-4/guanylyl cyclase family
-
數據庫鏈接:
Most popular with customers
-
-
YWHAB Recombinant Monoclonal Antibody
Applications: ELISA, WB, IHC, IF, FC
Species Reactivity: Human, Mouse, Rat
-
Phospho-YAP1 (S127) Recombinant Monoclonal Antibody
Applications: ELISA, WB, IHC
Species Reactivity: Human
-
-
-
-
-















