NPAS4 Antibody
-
中文名稱:NPAS4兔多克隆抗體
-
貨號:CSB-PA814204LA01HU
-
規格:¥440
-
圖片:
-
Western Blot
Positive WB detected in: SH-SY5Y whole cell lysate
All lanes: NPAS4 antibody at 7µg/ml
Secondary
Goat polyclonal to rabbit IgG at 1/50000 dilution
Predicted band size: 88, 26 kDa
Observed band size: 88 kDa -
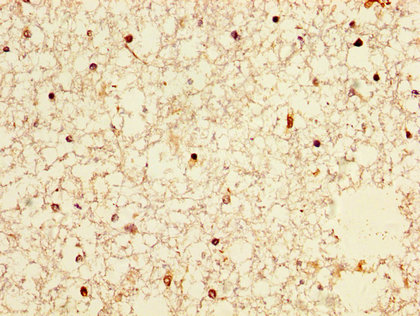
IHC image of CSB-PA814204LA01HU diluted at 1:300 and staining in paraffin-embedded human brain tissue performed on a Leica BondTM system. After dewaxing and hydration, antigen retrieval was mediated by high pressure in a citrate buffer (pH 6.0). Section was blocked with 10% normal goat serum 30min at RT. Then primary antibody (1% BSA) was incubated at 4°C overnight. The primary is detected by a biotinylated secondary antibody and visualized using an HRP conjugated SP system.
-
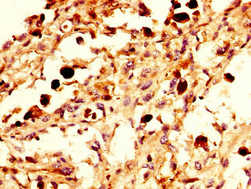
IHC image of CSB-PA814204LA01HU diluted at 1:300 and staining in paraffin-embedded human melanoma performed on a Leica BondTM system. After dewaxing and hydration, antigen retrieval was mediated by high pressure in a citrate buffer (pH 6.0). Section was blocked with 10% normal goat serum 30min at RT. Then primary antibody (1% BSA) was incubated at 4°C overnight. The primary is detected by a biotinylated secondary antibody and visualized using an HRP conjugated SP system.
-
-
其他:
產品詳情
-
產品名稱:Rabbit anti-Homo sapiens (Human) NPAS4 Polyclonal antibody
-
Uniprot No.:
-
基因名:NPAS4
-
別名:bHLH PAS type transcription factor NXF antibody; bHLHe79 antibody; Class E basic helix-loop-helix protein 79 antibody; HLH-PAS transcription factor NXF antibody; Le PAS antibody; limbic enhanced PAS protein antibody; neuronal PAS domain protein 4 antibody; Neuronal PAS domain-containing protein 4 antibody; Neuronal PAS4 antibody; NPAS4 antibody; NPAS4_HUMAN antibody; NXF antibody; PAS domain-containing protein 10 antibody; PASD10 antibody
-
宿主:Rabbit
-
反應種屬:Human
-
免疫原:Recombinant Human Neuronal PAS domain-containing protein 4 protein (445-585AA)
-
免疫原種屬:Homo sapiens (Human)
-
標記方式:Non-conjugated
本頁面中的產品,NPAS4 Antibody (CSB-PA814204LA01HU),的標記方式是Non-conjugated。對于NPAS4 Antibody,我們還提供其他標記。見下表:
-
克隆類型:Polyclonal
-
抗體亞型:IgG
-
純化方式:>95%, Protein G purified
-
濃度:It differs from different batches. Please contact us to confirm it.
-
保存緩沖液:Preservative: 0.03% Proclin 300
Constituents: 50% Glycerol, 0.01M PBS, pH 7.4 -
產品提供形式:Liquid
-
應用范圍:ELISA, WB, IHC
-
推薦稀釋比:
Application Recommended Dilution WB 1:500-1:5000 IHC 1:200-1:500 -
Protocols:
-
儲存條件:Upon receipt, store at -20°C or -80°C. Avoid repeated freeze.
-
貨期:Basically, we can dispatch the products out in 1-3 working days after receiving your orders. Delivery time maybe differs from different purchasing way or location, please kindly consult your local distributors for specific delivery time.
-
用途:For Research Use Only. Not for use in diagnostic or therapeutic procedures.
相關產品
靶點詳情
-
功能:Transcription factor expressed in neurons of the brain that regulates the excitatory-inhibitory balance within neural circuits and is required for contextual memory in the hyppocampus. Plays a key role in the structural and functional plasticity of neurons. Acts as an early-response transcription factor in both excitatory and inhibitory neurons, where it induces distinct but overlapping sets of late-response genes in these two types of neurons, allowing the synapses that form on inhibitory and excitatory neurons to be modified by neuronal activity in a manner specific to their function within a circuit, thereby facilitating appropriate circuit responses to sensory experience. In excitatory neurons, activates transcription of BDNF, which in turn controls the number of GABA-releasing synapses that form on excitatory neurons, thereby promoting an increased number of inhibitory synapses on excitatory neurons. In inhibitory neurons, regulates a distinct set of target genes that serve to increase excitatory input onto somatostatin neurons, probably resulting in enhanced feedback inhibition within cortical circuits. The excitatory and inhibitory balance in neurons affects a number of processes, such as short-term and long-term memory, acquisition of experience, fear memory, response to stress and social behavior. Acts as a regulator of dendritic spine development in olfactory bulb granule cells in a sensory-experience-dependent manner by regulating expression of MDM2. Efficient DNA binding requires dimerization with another bHLH protein, such as ARNT, ARNT2 or BMAL1. Can activate the CME (CNS midline enhancer) element.
-
基因功能參考文獻:
- NPAS4 is expressed in endothelial cells, regulates VE-cadherin expression and regulates sprouting angiogenesis. PMID: 28082451
- This review summarizes the current knowledge of the roles that Npas4 may play in neuroinflammation and ischemia. [review] PMID: 26690124
- we provide the first evidence that Npas4 is expressed during embryonic development and that it may have a developmental role that is unrelated to its function in the adult brain PMID: 24887558
- These results provide insight into the mechanisms of NPAS4/ARNT dimerisation and transcriptional activation. PMID: 24465693
- a novel NXF signaling system on neural gene promoter may be a molecular target of the adverse effects of Sim2 in the mental retardation of Down's syndrome PMID: 14701734
顯示更多
收起更多
-
亞細胞定位:Nucleus.
-
組織特異性:Brain.
-
數據庫鏈接:
Most popular with customers
-
-
YWHAB Recombinant Monoclonal Antibody
Applications: ELISA, WB, IHC, IF, FC
Species Reactivity: Human, Mouse, Rat
-
Phospho-YAP1 (S127) Recombinant Monoclonal Antibody
Applications: ELISA, WB, IHC
Species Reactivity: Human
-
-
-
-
-















