NOX3 Antibody
-
中文名稱:NOX3兔多克隆抗體
-
貨號:CSB-PA019029
-
規格:¥1100
-
圖片:
-
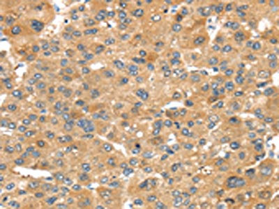
The image on the left is immunohistochemistry of paraffin-embedded Human liver cancer tissue using CSB-PA019029(NOX3 Antibody) at dilution 1/30, on the right is treated with synthetic peptide. (Original magnification: ×200)
-
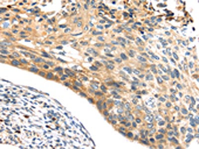
The image on the left is immunohistochemistry of paraffin-embedded Human esophagus cancer tissue using CSB-PA019029(NOX3 Antibody) at dilution 1/30, on the right is treated with synthetic peptide. (Original magnification: ×200)
-
Gel: 8%SDS-PAGE,Lysate: 40 μg,,Primary antibody: CSB-PA019029(NOX3 Antibody) at dilution 1/200 dilution,Secondary antibody: Goat anti rabbit IgG at 1/8000 dilution,Exposure time: 40 seconds
-
-
其他:
產品詳情
-
Uniprot No.:
-
基因名:NOX3
-
別名:NOX3; MOX2; NADPH oxidase 3; Mitogenic oxidase 2; MOX-2; gp91phox homolog 3; GP91-3
-
宿主:Rabbit
-
反應種屬:Human,Mouse
-
免疫原:Synthetic peptide of Human NOX3
-
免疫原種屬:Homo sapiens (Human)
-
標記方式:Non-conjugated
-
抗體亞型:IgG
-
純化方式:Antigen affinity purification
-
濃度:It differs from different batches. Please contact us to confirm it.
-
保存緩沖液:-20°C, pH7.4 PBS, 0.05% NaN3, 40% Glycerol
-
產品提供形式:Liquid
-
應用范圍:ELISA,WB,IHC
-
推薦稀釋比:
Application Recommended Dilution ELISA 1:1000-1:2000 WB 1:200-1:1000 IHC 1:25-1:100 -
Protocols:
-
儲存條件:Upon receipt, store at -20°C or -80°C. Avoid repeated freeze.
-
貨期:Basically, we can dispatch the products out in 1-3 working days after receiving your orders. Delivery time maybe differs from different purchasing way or location, please kindly consult your local distributors for specific delivery time.
-
用途:For Research Use Only. Not for use in diagnostic or therapeutic procedures.
相關產品
靶點詳情
-
功能:NADPH oxidase which constitutively produces superoxide upon formation of a complex with CYBA/p22phox. Plays a role in the biogenesis of otoconia/otolith, which are crystalline structures of the inner ear involved in the perception of gravity.
-
基因功能參考文獻:
- genetic variants in NOX3 may confer susceptibility to antithyroid drug-induced apoptosis of granulocytes. PMID: 28486791
- In lung transplants, our study highlights a donor-recipient interaction of NOX3 and NFE2L2 that increases the risk of PGD. PMID: 25439478
- palmitate-induced ROS generation and that NOX3-derived ROS may drive palmitate-induced hepatic insulin resistance through JNK and p38(MAPK) pathways. PMID: 20647313
- Down-regulation of NOX3 using siRNA prevented TNF-alpha-induced decrease of cellular glycogen. PMID: 20102709
- Nox3 is regulated by NOXO1, p47phox, and p67phox PMID: 15181005
- Nox3 functions together with p22(phox) as an enzyme constitutively producing superoxide PMID: 15824103
- In conclusion, the results demonstrate that NOX3, a reactive oxygen species generating NADPH oxidase, plays an integral role in insulin-induced p42/44 Mitogen-activated protein kinase signal transmission and VEGF-A production. PMID: 16949073
- Roles for p22phox at several distinct points in the maturation and assembly of a functionally competent Nox3 in the plasma membrane. PMID: 17140397
顯示更多
收起更多
-
亞細胞定位:Membrane; Multi-pass membrane protein.
-
數據庫鏈接:
Most popular with customers
-
-
YWHAB Recombinant Monoclonal Antibody
Applications: ELISA, WB, IHC, IF, FC
Species Reactivity: Human, Mouse, Rat
-
Phospho-YAP1 (S127) Recombinant Monoclonal Antibody
Applications: ELISA, WB, IHC
Species Reactivity: Human
-
-
-
-
-















