NOX1 Antibody
-
中文名稱:NOX1兔多克隆抗體
-
貨號:CSB-PA120772
-
規格:¥1100
-
圖片:
-
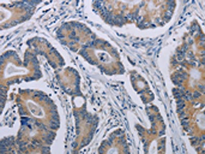
The image on the left is immunohistochemistry of paraffin-embedded Human colon cancer tissue using CSB-PA120772(NOX1 Antibody) at dilution 1/40, on the right is treated with synthetic peptide. (Original magnification: ×200)
-
The image on the left is immunohistochemistry of paraffin-embedded Human brain tissue using CSB-PA120772(NOX1 Antibody) at dilution 1/40, on the right is treated with synthetic peptide. (Original magnification: ×200)
-
-
其他:
產品詳情
-
Uniprot No.:
-
基因名:
-
別名:NOX1; MOX1; NOH1; NADPH oxidase 1; NOX-1; Mitogenic oxidase 1; MOX-1; NADH/NADPH mitogenic oxidase subunit P65-MOX; NOH-1
-
宿主:Rabbit
-
反應種屬:Human,Mouse,Rat
-
免疫原:Synthetic peptide of Human NOX1
-
免疫原種屬:Homo sapiens (Human)
-
標記方式:Non-conjugated
-
抗體亞型:IgG
-
純化方式:Antigen affinity purification
-
濃度:It differs from different batches. Please contact us to confirm it.
-
保存緩沖液:-20°C, pH7.4 PBS, 0.05% NaN3, 40% Glycerol
-
產品提供形式:Liquid
-
應用范圍:ELISA,IHC
-
推薦稀釋比:
Application Recommended Dilution ELISA 1:1000-1:2000 IHC 1:25-1:100 -
Protocols:
-
儲存條件:Upon receipt, store at -20°C or -80°C. Avoid repeated freeze.
-
貨期:Basically, we can dispatch the products out in 1-3 working days after receiving your orders. Delivery time maybe differs from different purchasing way or location, please kindly consult your local distributors for specific delivery time.
-
用途:For Research Use Only. Not for use in diagnostic or therapeutic procedures.
相關產品
靶點詳情
-
功能:NOH-1S is a voltage-gated proton channel that mediates the H(+) currents of resting phagocytes and other tissues. It participates in the regulation of cellular pH and is blocked by zinc. NOH-1L is a pyridine nucleotide-dependent oxidoreductase that generates superoxide and might conduct H(+) ions as part of its electron transport mechanism, whereas NOH-1S does not contain an electron transport chain.
-
基因功能參考文獻:
- this study shows that NOX1 loss-of-function genetic variants in patients with inflammatory bowel disease PMID: 29091079
- depletion of NOX1 and NOX4 partially rescued the growth inhibition of PARP1-deficient tumor xenografts. Our findings suggest that in addition to compromising the repair of DNA damage, PARP inhibition or depletion may exert extra antitumor effect by elevating oxidative stress in ovarian cancer cells PMID: 29684820
- NOX activation might have a role in regulation of lymphocytic activity in patients with idiopathic nephrotic syndrome through the impairment of PDGF mitogenic function and might contribute toward pathogenesis of nephrotic syndrome. PMID: 28613279
- The SUMO1/UBC9 axis may regulate Nox1mediated diabetic retinopathy by inhibiting reactive oxygen species generation and apoptosis. PMID: 29138839
- Results show that the thrombospondin 1 (TSP1) and its receptor CD47 (CD47) axis selectively regulates NADPH oxidase 1 (Nox1) in the regulation of endothelial senescence and suggest potential targets for controlling the aging process at the molecular level. PMID: 29042481
- in CAD, both mitochondria and NADPH oxidase contribute to flow-induced vasodilation through a redox mechanism in visceral arterioles. PMID: 28480622
- NADPH oxidase-mediated redox signaling is important in the detrimental effect of C-reactive protein on pancreatic insulin secretion. PMID: 28778482
- S340E mutation enhances Nox1 activation (Kaito et al., 2014), the present study suggests that betaPix can also play an inhibitory role in O2(-) production, depending on the sites of phosphorylation. PMID: 29242061
- the anti-proliferative and pro-apoptotic effect of cambogin on breast adenocarcinoma is mediated via inducing NOX1-dependent ROS production and the dissociation of ASK1 and Trx1 PMID: 27418140
- Transcriptional regulation of NOX genes expression in human breast adenocarcinoma cells is modulated by adaptor protein CIN85. PMID: 29227594
- the transition-state substrate analogue inhibitor of Prdx6 phospholipase A2 activity (MJ-33) was shown to suppress Nox1 activity, suggesting Nox1 activity is regulated by the phospholipase activity of Prdx6. Finally, wild type Prdx6, but not lipase or peroxidase mutant forms, supports Nox1-mediated cell migration in the HCT-116 colon epithelial cell model of wound closure PMID: 27094494
- Cells redox environment mediated by NOX1 isozymes activation down-regulates BRCA1 expression and promotes DNA homologous recombination repair in cancer. PMID: 27771433
- LRRC8A channels support TNFalpha-induced superoxide production by Nox1 which is required for receptor endocytosis. PMID: 27838438
- These results are consistent with the hypothesis that antioxidants or NOX1/4 inhibition may be useful in blocking profibrotic effects of TGFbeta on dermal and gingival fibroblasts and warrant consideration for further development as potential antifibrotic agents PMID: 29049376
- We demonstrated that rapid deletion of p22phox is possible and that the activity of Nox1 and Nox4 but not Nox5 exclusively depends on p22phox. PMID: 27614387
- 5-HT1B receptor-dependent cellular Src-related kinase-Nox1-pathways contribute to vascular remodeling in pulmonary arterial hypertension. PMID: 28473438
- NOX1 has a role in maintaining the proliferative phenotype of some colon cancers and has potential as a therapeutic target in this disease PMID: 28330872
- NOX1 mRNA was undetectable in the gastric mucosa. PMID: 27048452
- P38 MAPK, phosphorylated P38 MAPK, and RAC2 regulated in mutual feedback and negative feedback regulatory pathways, resulting in the radioresistance of G0 cells. PMID: 27936335
- NS5A contributes to reactive oxygen species production by activating expression of NADPH oxidases 1 and 4 as well as cytochrome P450 2E1. PMID: 27200149
- our results highlight that the Nox1/AKT signaling pathway plays an important role in cell survival in oral squamous cell carcinoma (OSCC) cells. PMID: 27600098
- p38 and NOX1 are essential for the protective effect of c-Myb and that NOX1 acts upstream of p38 activation. PMID: 27107996
- The results suggested that radiationinduced pulmonary fibrosis may be efficiently reduced by specific inhibition of NOX1, an effect mediated by reduction of fibrotic changes of ECs. PMID: 27053172
- Overexpression of NADPH oxidase 1 is associated with increased migration/metastasis rate in melanoma. PMID: 26760964
- The results of this study demonstrate that OA itself is not a cause to increase arNOX activities. PMID: 26339163
- These results indicate that physiological levels of ROS produced by the NOX complex modulate hippocampal neuronal polarity and axonal growth in vitro. PMID: 26101350
- High glucose generated an increase in NADPH oxidase activity and expression in human vascular smooth muscle cells. Sequence analysis of human Nox1, Nox4, and Nox5 gene promoters was performed. PMID: 25722086
- NOX1 and NOX4 signaling mediates the pathogenesis of liver fibrosis, including the direct activation of HSC. PMID: 26222337
- Molecular switch from NOX1 to NOX2 in colon cancer cells induces ROS production and subsequently enhances MMP-7 expression by deactivating AMPK. PMID: 26116564
- Increased NOX1 expression in gallbladder cancer cells promoted the chemoresistance of the cells through elevating intracellular reactive oxygen species level and HIF1a expression as well as increasing MDR1 expression. PMID: 26545779
- NLRP3 inflammasome activation and generation of pulmonary fibrosis is affected by NADPH oxidase by multi-walled carbon nanotubes PMID: 25581126
- NADPH oxidase 1 was responsible for superoxide generation and cell proliferation in low-density lipoprotein-stimulated aortic smooth muscle cells. PMID: 26065917
- High NADPH oxidase expression is associated with chronic myelogenous leukemia. PMID: 24833663
- Data show that lipopolysaccharide induced vascular endothelial cell migration is mediated by toll-like receptor TLR-4/NF-kappa B pathway and enzyme NAD(P)H oxidase in association with the transient receptor potential melastatin 7 (TRPM7) ion channel. PMID: 25130439
- Enforced NOX1 expression promoted TLR4 signaling-enhanced NSCLC metastasis. PMID: 25592377
- Studies indicate the role of 70 kDa heat-shock protein (HSP70) in the activation of NADPH oxidase isoforms and in islet alpha- and beta-cell physiological function in health and Type 2 diabetes mellitus. PMID: 25881670
- Data (including data from transgenic/knockout mice) suggest that inhibition of NOX1 and NOX2/CYBB (but not NOX4) in vascular endothelium conforms to current models for treatment of vascular diseases. [REVIEW] PMID: 25066192
- Nox1 post-translationally regulatedCK18 stability in a ROS-, phosphorylation- and PKCepsilon-dependent manner. It accelerates neoplastic progression by regulating structural intermediate filaments leading to epithelial mesenchymal transition. PMID: 24494188
- Elevated ROS derived from NOX1 activation and downregulation of SOD in NIH3T3RET-MEN2A and NIH3T3RET-MEN 2B cells may be involved in RET constitutive tyrosine auto-phosphorylation PMID: 24437351
- NOX1 is involved in acure respiratory distress syndrome pathophysiology and is responsible for the damage occurring in alveolar epithelial cells at least in part via STAT3 signalling pathways. PMID: 24551274
- NOX1 inhibition not only prevented iNOS induction but also abrogated changes consequent to iNOS induction such as mesangial fibrogenesis. PMID: 23801050
- BetaPix phosphorylation at Ser-340 upregulates Nox1 through Rac activation. PMID: 24792722
- Data from studies with Caco-2 cells (an in vitro model of inflammatory bowel disease) suggest a dietary component (antioxidant/pigment indicaxanthin in fruit of cactus pear) can prevent activation of NOX1/NFkB (nuclear factor kappa B) in enterocytes. PMID: 23931157
- p22(phox) directly contributes to Nox1 activation in a glycosylation-independent manner, besides its significant role in Nox1 glycan maturation. PMID: 24365146
- It is a superoxide producing enzyme.(review) PMID: 24334927
- Physical frailty in older people is associated with superoxide anion overproduction by NADPH oxidase and low-grade chronic inflammation. PMID: 22640231
- The activity of NADPH oxidase (NOX), a major superoxide-generating enzyme system, in peripheral blood lymphocytes (PBL) from galactosemia patients, was examined. PMID: 23828587
- Expression of NOX-1 in beta cells is regulated in a feed-forward loop mediated by reactive oxygen species and Src-kinase. PMID: 23410839
- results provide evidence plasma from preeclampsia generates superoxide via a LOX1-NOX2-mediated pathway and downregulates endothelial KCa3.1, which may contribute to endothelial dysfunction and vasculopathy in preeclampsia PMID: 23261940
- Nox1 levels were higher in the primary SW480 cells than that in metastatic SW620 cells. PMID: 23627409
顯示更多
收起更多
-
相關疾病:Defects in NOX1 may play a role in the pathogenesis of very early onset inflammatory bowel disease (VEOIBD), a chronic, relapsing inflammation of the gastrointestinal tract with a complex etiology diagnosed before 6 years of age. VEOIBD is subdivided into Crohn disease and ulcerative colitis phenotypes. Crohn disease may affect any part of the gastrointestinal tract from the mouth to the anus, but the phenotype of children with onset of Crohn disease occurring younger than the age of 10 is predominantly colonic, with a lower risk of ileal disease. Bowel inflammation is transmural and discontinuous; it may contain granulomas or be associated with intestinal or perianal fistulas. In contrast, in ulcerative colitis, the inflammation is continuous and limited to rectal and colonic mucosal layers; fistulas and granulomas are not observed. Both diseases include extraintestinal inflammation of the skin, eyes, or joints.
-
亞細胞定位:Cell projection, invadopodium membrane; Multi-pass membrane protein. Cell membrane.
-
組織特異性:NOH-1L is detected in colon, uterus, prostate, and colon carcinoma, but not in peripheral blood leukocytes. NOH-1S is detected only in colon and colon carcinoma cells.
-
數據庫鏈接:
Most popular with customers
-
-
YWHAB Recombinant Monoclonal Antibody
Applications: ELISA, WB, IHC, IF, FC
Species Reactivity: Human, Mouse, Rat
-
Phospho-YAP1 (S127) Recombinant Monoclonal Antibody
Applications: ELISA, WB, IHC
Species Reactivity: Human
-
-
-
-
-















