NOC2L Antibody
-
中文名稱:NOC2L兔多克隆抗體
-
貨號:CSB-PA115442
-
規格:¥1100
-
圖片:
-
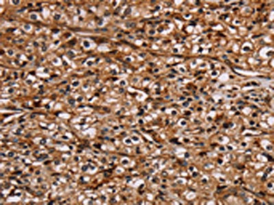
The image on the left is immunohistochemistry of paraffin-embedded Human prostate cancer tissue using CSB-PA115442(NOC2L Antibody) at dilution 1/20, on the right is treated with fusion protein. (Original magnification: ×200)
-
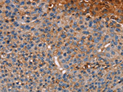
The image on the left is immunohistochemistry of paraffin-embedded Human breast cancer tissue using CSB-PA115442(NOC2L Antibody) at dilution 1/20, on the right is treated with fusion protein. (Original magnification: ×200)
-
Gel: 6%SDS-PAGE, Lysate: 40 μg, Lane: Hela cells, Primary antibody: CSB-PA115442(NOC2L Antibody) at dilution 1/200, Secondary antibody: Goat anti rabbit IgG at 1/8000 dilution, Exposure time: 5 seconds
-
-
其他:
產品詳情
-
Uniprot No.:
-
基因名:NOC2L
-
別名:NET15 antibody; NET7 antibody; NIR antibody; NOC2 like antibody; NOC2 like nucleolar associated transcriptional repressor antibody; NOC2-like protein antibody; NOC2L antibody; NOC2L nucleolar associated transcriptional repressor antibody; NOC2L_HUMAN antibody; Novel INHAT (inhibitor of histone acetyltransferase) repressor antibody; Novel INHAT repressor antibody; Nucleolar complex associated 2 homolog (S. cerevisiae) antibody; Nucleolar complex protein 2 homolog antibody; PPP1R112 antibody; Protein NOC2 homolog antibody; Protein phosphatase 1 regulatory subunit 12 antibody
-
宿主:Rabbit
-
反應種屬:Human,Mouse
-
免疫原:Fusion protein of Human NOC2L
-
免疫原種屬:Homo sapiens (Human)
-
標記方式:Non-conjugated
-
抗體亞型:IgG
-
純化方式:Antigen affinity purification
-
濃度:It differs from different batches. Please contact us to confirm it.
-
保存緩沖液:-20°C, pH7.4 PBS, 0.05% NaN3, 40% Glycerol
-
產品提供形式:Liquid
-
應用范圍:ELISA,WB,IHC
-
推薦稀釋比:
Application Recommended Dilution ELISA 1:1000-1:2000 WB 1:200-1:1000 IHC 1:25-1:100 -
Protocols:
-
儲存條件:Upon receipt, store at -20°C or -80°C. Avoid repeated freeze.
-
貨期:Basically, we can dispatch the products out in 1-3 working days after receiving your orders. Delivery time maybe differs from different purchasing way or location, please kindly consult your local distributors for specific delivery time.
-
用途:For Research Use Only. Not for use in diagnostic or therapeutic procedures.
相關產品
靶點詳情
-
功能:Acts as an inhibitor of histone acetyltransferase activity; prevents acetylation of all core histones by the EP300/p300 histone acetyltransferase at p53/TP53-regulated target promoters in a histone deacetylases (HDAC)-independent manner. Acts as a transcription corepressor of p53/TP53- and TP63-mediated transactivation of the p21/CDKN1A promoter. Involved in the regulation of p53/TP53-dependent apoptosis. Associates together with TP63 isoform TA*-gamma to the p21/CDKN1A promoter.
-
基因功能參考文獻:
- A transcriptional repressor NIR functions in the rRNA biogenesis of both the 40S and 60S subunits. PMID: 22363708
- Aurora B interacts with NIR-p53, leading to p53 phosphorylation in its DNA-binding domain and subsequent functional suppression. PMID: 20959462
- Upon recruitment by p53, NIR represses transcription of both p53-dependent reporters and endogenous target genes PMID: 16322561
-
亞細胞定位:Nucleus, nucleoplasm. Nucleus, nucleolus. Note=Translocates from the nucleoli to the nucleoplasm in presence of several stressors like ultraviolet irradiation and actinomycin-D. Predominantly detected in the nucleoli in non-mitotic cells. Predominantly detected in nucleoplasma in cells undergoing mitosis.
-
蛋白家族:NOC2 family
-
數據庫鏈接:
Most popular with customers
-
YWHAB Recombinant Monoclonal Antibody
Applications: ELISA, WB, IHC, IF, FC
Species Reactivity: Human, Mouse, Rat
-
Phospho-YAP1 (S127) Recombinant Monoclonal Antibody
Applications: ELISA, WB, IHC
Species Reactivity: Human
-
-
-
-
-
-















