NME2 Antibody
-
中文名稱:NME2兔多克隆抗體
-
貨號:CSB-PA578283
-
規格:¥1100
-
圖片:
-
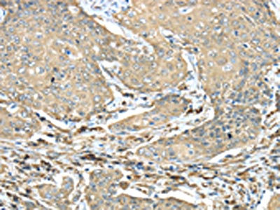
The image on the left is immunohistochemistry of paraffin-embedded Human thyroid cancer tissue using CSB-PA578283(NME2 Antibody) at dilution 1/40, on the right is treated with synthetic peptide. (Original magnification: ×200)
-
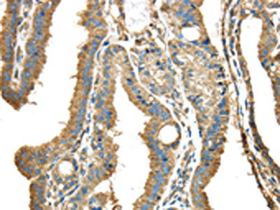
The image on the left is immunohistochemistry of paraffin-embedded Human cervical cancer tissue using CSB-PA578283(NME2 Antibody) at dilution 1/40, on the right is treated with synthetic peptide. (Original magnification: ×200)
-
Gel: 12%SDS-PAGE,Lysate: 40 μg,Lane 1-7: Jurkat cells, A549 cells, Mouse brain tissue, 293T cells, LNCap cells, NIH/3T3 cells, Hela cells,Primary antibody: CSB-PA578283(NME2 Antibody) at dilution 1/300 dilution,Secondary antibody: Goat anti rabbit IgG at 1/8000 dilution,Exposure time: 30 seconds
-
-
其他:
產品詳情
-
Uniprot No.:
-
基因名:NME2
-
別名:C myc purine binding transcription factor PUF antibody; C myc transcription factor antibody; C-myc purine-binding transcription factor PUF antibody; epididymis secretory sperm binding protein Li 155an antibody; HEL-S-155an antibody; Histidine protein kinase NDKB antibody; MGC111212 antibody; MGC2212 antibody; NDK B antibody; NDKB antibody; NDKB_HUMAN antibody; NDP kinase B antibody; NDPK B antibody; NDPKB antibody; NM23 H2 antibody; nm23-H2 antibody; NM23B antibody; NME/NM23 nucleoside diphosphate kinase 2 antibody; nme2 antibody; Non metastatic cells 2; protein (NM23B) expressed in antibody; non-metastatic cells 2; protein (NM23) expressed in antibody; Nucleoside diphosphate kinase B antibody; Nucleotide diphosphate kinase B antibody; PUF antibody
-
宿主:Rabbit
-
反應種屬:Human,Mouse,Rat
-
免疫原:Synthetic peptide of Human NME2
-
免疫原種屬:Homo sapiens (Human)
-
標記方式:Non-conjugated
-
抗體亞型:IgG
-
純化方式:Antigen affinity purification
-
濃度:It differs from different batches. Please contact us to confirm it.
-
保存緩沖液:-20°C, pH7.4 PBS, 0.05% NaN3, 40% Glycerol
-
產品提供形式:Liquid
-
應用范圍:ELISA,WB,IHC
-
推薦稀釋比:
Application Recommended Dilution ELISA 1:2000-1:10000 WB 1:1000-1:5000 IHC 1:30-1:150 -
Protocols:
-
儲存條件:Upon receipt, store at -20°C or -80°C. Avoid repeated freeze.
-
貨期:Basically, we can dispatch the products out in 1-3 working days after receiving your orders. Delivery time maybe differs from different purchasing way or location, please kindly consult your local distributors for specific delivery time.
-
用途:For Research Use Only. Not for use in diagnostic or therapeutic procedures.
相關產品
靶點詳情
-
功能:Major role in the synthesis of nucleoside triphosphates other than ATP. The ATP gamma phosphate is transferred to the NDP beta phosphate via a ping-pong mechanism, using a phosphorylated active-site intermediate. Negatively regulates Rho activity by interacting with AKAP13/LBC. Acts as a transcriptional activator of the MYC gene; binds DNA non-specifically. Binds to both single-stranded guanine- and cytosine-rich strands within the nuclease hypersensitive element (NHE) III(1) region of the MYC gene promoter. Does not bind to duplex NHE III(1). Has G-quadruplex (G4) DNA-binding activity, which is independent of its nucleotide-binding and kinase activity. Binds both folded and unfolded G4 with similar low nanomolar affinities. Stabilizes folded G4s regardless of whether they are prefolded or not. Exhibits histidine protein kinase activity.
-
基因功能參考文獻:
- Data suggest that NME2 participates in epigenetic repression of TERT expression via a mechanism that is dependent on interactions with G-quadruplex DNA; NME2 appears to interact with TERT promoter as NME2/REST/LSD1 complex. (NME2 = metastasis suppressor protein 2; TERT = telomerase reverse transcriptase; REST = RE1-silencing transcription factor; LSD1 = lysine specific demethylase 1) PMID: 28717007
- Role of Interaction and Nucleoside Diphosphate Kinase B in Regulation of the Cystic Fibrosis Transmembrane Conductance Regulator Function by cAMP-Dependent Protein Kinase A PMID: 26950439
- NME2 may have an inhibitory activity on the propagation and invasion of gastric cancer cells. PMID: 25700270
- Regulatory functions of Nm23-H2 in tumorigenesis: insights from biochemical to clinical perspectives PMID: 25413836
- Recent findings demonstrate NME2 presence at telomere ends, association with telomerase, and NME2's role in inhibition of telomerase activity in cancer cells PMID: 25547372
- A novel mechanism of CARMA3 in lung cancer stemness and metastasis through the negative regulation of NME2 was identified. PMID: 25906011
- NDPK-B and NDPK-D were shown to bind efficiently to liposomes mimicking plasma membrane and mitochondrial inner membrane PMID: 25010650
- Patients whose MPM tissues expressed elevated mRNA levels of BIRC5, DSP, NME2, and THBS2 showed a statistically significant shorter overall survival. PMID: 25771974
- The results demonstrate that reduced NME2 levels lead to transcriptional de-repression of vinculin and regulate lung cancer metastasis. PMID: 25249619
- nucleoside diphosphate kinase B (NDPK-B), activates TRPV5 channel activity and Ca(2+) flux, and this activation requires histidine 711 in the carboxy-terminal tail of TRPV5. PMID: 24523290
- NDPKB is required for VEGF-induced angiogenesis and contributes to the correct localization of VEGF receptor type 2 and VE-cadherin at the endothelial adherens junctions. PMID: 25147336
- PuF may regulate the APP gene promoter PMID: 23368879
- post-transcriptional up-regulation of the tumor antigen NME2 is a common and specific property of CML closely associated with Bcr-Abl activity PMID: 22251158
- NM23-H2 expression enhances tumorigenicity. PMID: 22192927
- further demonstrate that shNDPK-B is released into the circulation in immunocompromized mice carrying the human breast carcinoma cell MDA-MB- PMID: 20830314
- Observational study of gene-disease association, gene-gene interaction, and genetic testing. (HuGE Navigator) PMID: 20864512
- NM23-H2 protein expression in human leukemia cell lines is related to cellular lineage and differentiation stages. PMID: 12007505
- The nucleotide-binding site of NM23-H2 plays a critical role in not only the NDP kinase reaction but also the reactions involving covalent DNA binding and DNA cleavage catalysis. PMID: 12009894
- Nm23-H2 had a cytoplasmic and nuclear localization but was induced to translocate to the plasma membrane upon stimulation of thromboxane A2 receptor beta to show extensive co-localization with the receptor. PMID: 14976202
- novel association of NM23-H2 with ERbeta and show for the first time its expression in vascular cells and demonstrate regulation of its expression and localization by estrogen PMID: 17272673
- Thus, these results indicate the existence of a previously undiscovered mechanism by which NM23-H2 involves in the regulation of Diva-mediated apoptosis. PMID: 17532299
- NM23-H2 as an estrogen receptor beta-associated protein may play an important role in modulating the response to endogenous and exogenous estrogens. PMID: 17964137
- describe the identification of NM23-H2 as a novel HLA-A32-restricted TAA of CML cells and demonstrate the presence of specifically reactive T cells in a patient 5 years after transplantation PMID: 18496563
- While hPLIC proteins are not ubiquitinated by HERC3, HERC5 plays an important role in ubiquitination of Nm23B. PMID: 18535780
- data indicate that NM23H2 is a negative regulator of cellular proliferation stimulated by EGF- and Ras-mediated activation of the ERK pathway PMID: 19022560
- Role of NM23-H2 in the regulation of cell shape and migration via Rho family GTPase signals is reported. PMID: 19381785
- Data support the hypothesis that exogenous pDNA binds to cytoplasmic shuttle proteins NM23-H2 and Chx10, and is then translocated to the nucleus using the minimal import machinery. PMID: 19638341
顯示更多
收起更多
-
亞細胞定位:Cytoplasm. Nucleus. Cell projection, lamellipodium. Cell projection, ruffle.
-
蛋白家族:NDK family
-
組織特異性:Isoform 1 and isoform 3 are ubiquitously expressed.
-
數據庫鏈接:
Most popular with customers
-
-
YWHAB Recombinant Monoclonal Antibody
Applications: ELISA, WB, IHC, IF, FC
Species Reactivity: Human, Mouse, Rat
-
Phospho-YAP1 (S127) Recombinant Monoclonal Antibody
Applications: ELISA, WB, IHC
Species Reactivity: Human
-
-
-
-
-















