NLRP12 Antibody
-
中文名稱:NLRP12兔多克隆抗體
-
貨號:CSB-PA069966
-
規格:¥1100
-
圖片:
-
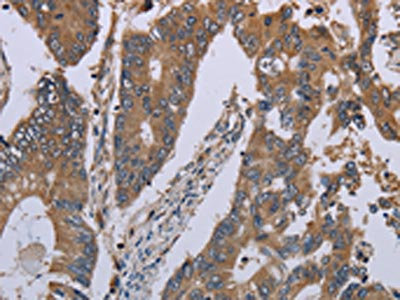
The image on the left is immunohistochemistry of paraffin-embedded Human colon cancer tissue using CSB-PA069966(NLRP12 Antibody) at dilution 1/30, on the right is treated with synthetic peptide. (Original magnification: ×200)
-
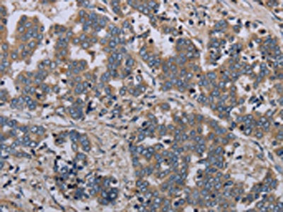
The image on the left is immunohistochemistry of paraffin-embedded Human liver cancer tissue using CSB-PA069966(NLRP12 Antibody) at dilution 1/30, on the right is treated with synthetic peptide. (Original magnification: ×200)
-
-
其他:
產品詳情
-
Uniprot No.:
-
基因名:
-
別名:CLR19.3 antibody; FCAS2 antibody; Monarch 1 antibody; Monarch-1 antibody; NACHT, leucine rich repeat and PYD containing 12 antibody; NACHT, LRR and PYD containing protein 12 antibody; NACHT, LRR and PYD domains-containing protein 12 antibody; NAL12_HUMAN antibody; NLR family, pyrin domain containing 12 antibody; NLRP12 antibody; Nucleotide-binding oligomerization domain, leucine rich repeat and pyrin domain containing 12 antibody; OTTHUMP00000067227 antibody; PAN6 antibody; PYPAF7 antibody; PYRIN containing APAF1 like protein 7 antibody; PYRIN-containing APAF1-like protein 7 antibody; Regulated by nitric oxide antibody; RNO antibody; RNO2 antibody
-
宿主:Rabbit
-
反應種屬:Human,Mouse
-
免疫原:Synthetic peptide of Human NLRP12
-
免疫原種屬:Homo sapiens (Human)
-
標記方式:Non-conjugated
-
抗體亞型:IgG
-
純化方式:Antigen affinity purification
-
濃度:It differs from different batches. Please contact us to confirm it.
-
保存緩沖液:-20°C, pH7.4 PBS, 0.05% NaN3, 40% Glycerol
-
產品提供形式:Liquid
-
應用范圍:ELISA,IHC
-
推薦稀釋比:
Application Recommended Dilution ELISA 1:1000-1:2000 IHC 1:25-1:100 -
Protocols:
-
儲存條件:Upon receipt, store at -20°C or -80°C. Avoid repeated freeze.
-
貨期:Basically, we can dispatch the products out in 1-3 working days after receiving your orders. Delivery time maybe differs from different purchasing way or location, please kindly consult your local distributors for specific delivery time.
-
用途:For Research Use Only. Not for use in diagnostic or therapeutic procedures.
相關產品
靶點詳情
-
功能:Plays an essential role as an potent mitigator of inflammation. Primarily expressed in dendritic cells and macrophages, inhibits both canonical and non-canonical NF-kappa-B and ERK activation pathways. Functions as a negative regulator of NOD2 by targeting it to degradation via the proteasome pathway. In turn, promotes bacterial tolerance. Inhibits also the DDX58-mediated immune signaling against RNA viruses by reducing the E3 ubiquitin ligase TRIM25-mediated 'Lys-63'-linked DDX58 activation but enhancing the E3 ubiquitin ligase RNF125-mediated 'Lys-48'-linked DDX58 degradation. Acts also as a negative regulator of inflammatory response to mitigate obesity and obesity-associated diseases in adipose tissue.
-
基因功能參考文獻:
- Patients with NLRP12 germline mutations and diagnosis of NLRP12-related autoinflammatory disease demonstrated highly variable clinical phenotypes. PMID: 29500522
- report the crystal structure of NLRP12 PYD domain at 1.70 A fused with an maltose-binding protein (MBP) tag PMID: 29293680
- all of the reported mutations were found to have occurred in a highly conserved region in the NACHT domain coding sequence in NLRP12 exon 3, suggesting that a screening strategy for Familial cold autoinflammatory syndrome should focus on this area of the gene PMID: 27314497
- The novel findings reveal the critical role of NLRP12-IL-17A-CXCL1 axis in host defense by modulating neutrophil recruitment against Klebsiella pneumoniae. PMID: 26349659
- This process involved the upregulation of NLRP12. PMID: 26329693
- Variants of NLRP12 were associated with common variable immunodeficiency. PMID: 26122175
- NLRP12/NLRP3-dependent activation of caspase-1 is likely to be a key event in mediating systemic production of IL-1beta and hypersensitivity to secondary bacterial infection during malaria. PMID: 24453977
- The genetics, expression and roles of NLRP12 in inflammatory signaling, host defense, and carcinogenesis are reviewed. Review. PMID: 25249449
- This study suggested that NLRP12 mutations might account for a small fraction of common variable immunodeficiency patients with severe auto-inflammatory complications. PMID: 25064839
- We will focus on NLRP6 and NLRP12. PMID: 24338634
- Letter: NLRP12 mutations associated with familial cold autoinflammatory syndrome 2 in Italian patients. PMID: 24064030
- Even with a variable range of associated manifestations, the extreme sensitivity to cold represents the main clinical hallmark in an individual carrying the p.D294E mutation of the NLRP12 gene. PMID: 21360512
- The authors report the first in vitro confirmed non-homotypic interaction between NLRP12 pyrin domain and the pro-apoptotic protein Fas-associated factor 1 (FAF-1), which links the innate immune system to apoptotic signaling. PMID: 21978668
- NLRP12 missense mutation in periodic fever syndromes; study provides evidence of deleterious effect of an NLRP12 missense mutation; this newly identified molecular defect emphasizes the crucial role played by NLRP12 in autoinflammation PMID: 21538323
- regulates activation of NF-kappa B and caspase-1-dependent cytokine processing PMID: 12019269
- Monarch-1 enhances nonclassical and classical major histocompatibility complex class I expression at the level of the promoter, RNA, and protein expression. PMID: 12759408
- Monarch-1 associates with IRAK-1 but not MyD88, resulting in the blockage of IRAK-1 hyperphosphorylation PMID: 16203735
- Monarch-1 inhibits CD40-mediated activation of NF-kappaB via the non-canonical pathway in human monocytes. This inhibition stems from the ability of Monarch-1 to associate with and induce proteasome-mediated degradation of NF-kappaB inducing kinase PMID: 17237370
- Heat shock protein 90 is a critical regulator of Monarch-1 anti-inflammatory activity PMID: 17947705
- ATP binding by NLRP12 is critical for its inhibitory function. PMID: 18160710
- Two mutations, nonsense and splice site, were identified in NALP12 in two families with periodic fever syndromes. PMID: 18230725
- Relative copy numbers for the inflammasome mRNAs for ASC, caspase-1, NALP1, and Pypaf-7 were significantly lower in patients with septic shock compared with critically ill control subjects. PMID: 18263805
顯示更多
收起更多
-
相關疾病:Familial cold autoinflammatory syndrome 2 (FCAS2)
-
亞細胞定位:Cytoplasm.
-
蛋白家族:NLRP family
-
組織特異性:Detected only in peripheral blood leukocytes, predominantly in eosinophils and granulocytes, and at lower levels in monocytes.
-
數據庫鏈接:
Most popular with customers
-
-
YWHAB Recombinant Monoclonal Antibody
Applications: ELISA, WB, IHC, IF, FC
Species Reactivity: Human, Mouse, Rat
-
Phospho-YAP1 (S127) Recombinant Monoclonal Antibody
Applications: ELISA, WB, IHC
Species Reactivity: Human
-
-
-
-
-















