NLRC5 Antibody
-
中文名稱:NLRC5兔多克隆抗體
-
貨號:CSB-PA771457LA01HU
-
規格:¥440
-
圖片:
-
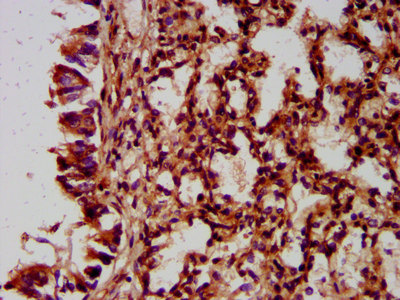
IHC image of CSB-PA771457LA01HU diluted at 1:400 and staining in paraffin-embedded human lung tissue performed on a Leica BondTM system. After dewaxing and hydration, antigen retrieval was mediated by high pressure in a citrate buffer (pH 6.0). Section was blocked with 10% normal goat serum 30min at RT. Then primary antibody (1% BSA) was incubated at 4°C overnight. The primary is detected by a biotinylated secondary antibody and visualized using an HRP conjugated SP system.
-
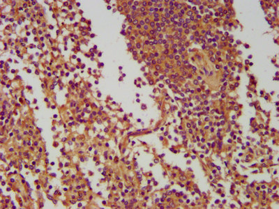
IHC image of CSB-PA771457LA01HU diluted at 1:400 and staining in paraffin-embedded human spleen tissue performed on a Leica BondTM system. After dewaxing and hydration, antigen retrieval was mediated by high pressure in a citrate buffer (pH 6.0). Section was blocked with 10% normal goat serum 30min at RT. Then primary antibody (1% BSA) was incubated at 4°C overnight. The primary is detected by a biotinylated secondary antibody and visualized using an HRP conjugated SP system.
-
Immunofluorescence staining of Hela cells with CSB-PA771457LA01HU at 1:133, counter-stained with DAPI. The cells were fixed in 4% formaldehyde, permeabilized using 0.2% Triton X-100 and blocked in 10% normal Goat Serum. The cells were then incubated with the antibody overnight at 4°C. The secondary antibody was Alexa Fluor 488-congugated AffiniPure Goat Anti-Rabbit IgG(H+L).
-
-
其他:
產品詳情
-
產品名稱:Rabbit anti-Homo sapiens (Human) NLRC5 Polyclonal antibody
-
Uniprot No.:
-
基因名:
-
別名:Caterpiller protein 16.1 antibody; CLR16.1 antibody; FLJ21709 antibody; FLJ39711 antibody; NLR family, CARD domain containing 5 antibody; NLR family, CARD-containing 5 antibody; NLR family, caspase recruitment domain-containing 5 antibody; NLRC5 antibody; NLRC5_HUMAN antibody; NOD-like receptor C5 antibody; NOD27 antibody; NOD4 antibody; Nucleotide-binding oligomerization domain protein 27 antibody; Nucleotide-binding oligomerization domain protein 4 antibody; nucleotide-binding oligomerization domain, leucine rich repeat and CARD domain containing 5 antibody; nucleotide-binding oligomerization domains 27 antibody; OTTHUMP00000164675 antibody; Protein Caterpiller 16.1 antibody; Protein NLRC5 antibody
-
宿主:Rabbit
-
反應種屬:Human
-
免疫原:Recombinant Human Protein NLRC5 protein (95-208AA)
-
免疫原種屬:Homo sapiens (Human)
-
標記方式:Non-conjugated
本頁面中的產品,NLRC5 Antibody (CSB-PA771457LA01HU),的標記方式是Non-conjugated。對于NLRC5 Antibody,我們還提供其他標記。見下表:
-
克隆類型:Polyclonal
-
抗體亞型:IgG
-
純化方式:>95%, Protein G purified
-
濃度:It differs from different batches. Please contact us to confirm it.
-
保存緩沖液:Preservative: 0.03% Proclin 300
Constituents: 50% Glycerol, 0.01M PBS, pH 7.4 -
產品提供形式:Liquid
-
應用范圍:ELISA, IHC, IF
-
推薦稀釋比:
Application Recommended Dilution IHC 1:200-1:500 IF 1:50-1:200 -
Protocols:
-
儲存條件:Upon receipt, store at -20°C or -80°C. Avoid repeated freeze.
-
貨期:Basically, we can dispatch the products out in 1-3 working days after receiving your orders. Delivery time maybe differs from different purchasing way or location, please kindly consult your local distributors for specific delivery time.
-
用途:For Research Use Only. Not for use in diagnostic or therapeutic procedures.
相關產品
靶點詳情
-
功能:Probable regulator of the NF-kappa-B and type I interferon signaling pathways. May also regulate the type II interferon signaling pathway. Plays a role in homeostatic control of innate immunity and in antiviral defense mechanisms.
-
基因功能參考文獻:
- Genetic polymorphisms in NLRC5 may be used as prognostic markers of survival of colorectal cancer patients, as well as for survival in response to 5-FU treatment. PMID: 29762254
- knockdown of NLRC5 attenuates renal ischemia/reperfusion injury in vitro through the activation of PI3K/Akt signaling pathway. PMID: 29655162
- NLRC5 may act as a key mediator in renal fibroblast activation and fibrogenesis PMID: 29608899
- obtained 18 pair-wise interactions within and between the NLRC5 ad PD-L1 genes and 6 more when IFNGR variants were added PMID: 29408916
- Our study, for the first time, identified the possible involvement of a polymorphism within NLRC5 gene as a possible biomarker for periodontitis condition susceptibility among Italian individuals from genetic isolates. PMID: 28122660
- NLRC5 interacts with miR-34a.NLRC5 role in HPV16 persistence. PMID: 27423514
- These results demonstrate that NLRC5 promotes hepatocellular carcinoma progression via the AKT/VEGF-A signaling pathway PMID: 27338800
- NLRC5 not only positively correlates with the increase of beta-catenin but also coordinates the activation of downstream Wnt/beta-catenin signaling pathway, regulating cell proliferation, migration and invasion in hepatocellular carcinoma. PMID: 26975630
- silencing NLRC5 reduced extracellular matrix expression in keloid fibroblasts through inhibiting the TGF-beta1/Smad signaling pathway. PMID: 27525969
- CITA/NLRC5 and CIITA are transcriptional regulators that orchestrate the concerted expression of critical components in the MHC class I and class II pathways, respectively. [review] PMID: 27087581
- NLRC5 expression was significantly associated with the activation of CD8(+) cytotoxic T cells and patient survival in multiple cancer types. Thus, NLRC5 constitutes a novel prognostic biomarker and potential therapeutic target of cancers. PMID: 27162338
- NLRC5 regulates TGFB1-induced proliferation and activation of hepatic stellate cells during hepatic fibrosis. PMID: 26592197
- In a transformed cell line, NLRC5 plays a significant role in IL-6 and IL-1Beta secretion. PMID: 25820389
- NLRC5 function is shaped by reversible ubiquitination, which modulates the NF-kappaB activation switch PMID: 26620909
- RSV infection of lung epithelial cells induces expression of RIG-I, NLRC5, and subsequent upregulation of HLA-A, HLA-B and HLA-C. PMID: 25972545
- a novel role for NLRC5 in RIG-I-mediated antiviral host responses against influenza virus infection, distinguished from the role of NLRC5 in MHC class I gene regulation. PMID: 25404059
- This study presents a detailed functional study of the domains of NLRC5 revealing that the N-terminal domain of human NLRC5 has intrinsic transcriptional activity. PMID: 25127861
- Unusual structural features revealed by the solution NMR structure of the NLRC5 caspase recruitment domain. PMID: 24815518
- A model for full-length human NLRC5 was prepared and, besides the closed conformation of monomeric NLRC5, a heptameric platform was also modeled for the opened conformational NLRC5 monomers. PMID: 24044430
- rhinovirus ion channel protein 2B triggers NLRP3 and NLRC5 inflammasome activation and IL-1beta secretion in bronchial cells PMID: 23815151
- Expression of NLRC5 positively correlates with histocompatibility class I expression in human tissues. PMID: 22490867
- NLRC5 can cooperate with X1 box-binding transcription factor RFX and X2 box-binding transcription factor ATF1 in activation of histocompatibility class I promoter region. PMID: 22490869
- NLRC5 acts as a key transcriptional regulator of MHC I in lymphocytes and support an essential role for NLRs in directing not only innate but also adaptive immune responses. PMID: 22412192
- NLRC5-mediated MHC class I gene induction requires an intact nuclear localization signal and nuclear distribution of NLRC5. PMID: 22310711
- NLRC5 was proposed to function as a positive and as a negative regulator of IFN, NF-kappaB, AP-1 signaling and antiviral immunity. (Review) PMID: 22024701
- NLRC5 is a critical component of inflammasome-dependent interleukin (IL)-1beta secretion in response to a repertoire of stimuli that also activate NLRP3. PMID: 21191067
- function for NLRC5 in anti-viral innate immune responses PMID: 20538593
- NLRC5 is identified and characterized as a key regulator of proinflammatory pathways in immune cells. PMID: 20610642
- suggest that NLRC5 is a transcriptional regulator, orchestrating the concerted expression of critical components in the MHC class I pathway. PMID: 20639463
- Study identifies NLRC5 as a negative regulator that blocks two central components of the NF-kappaB and type I interferon signaling pathways and suggest an important role for NLRC5 in homeostatic control of innate immunity. PMID: 20434986
- NLRC5 may represent a molecular switch of interferon (IFN)-gamma activation sequence and IFN-specific response element signaling pathways contributing to antiviral defense mechanisms. PMID: 20061403
顯示更多
收起更多
-
亞細胞定位:Cytoplasm.
-
蛋白家族:NLRP family
-
組織特異性:Expressed in spleen, thymus, lung, brain, tonsil, heart and prostate.
-
數據庫鏈接:
Most popular with customers
-
-
YWHAB Recombinant Monoclonal Antibody
Applications: ELISA, WB, IHC, IF, FC
Species Reactivity: Human, Mouse, Rat
-
Phospho-YAP1 (S127) Recombinant Monoclonal Antibody
Applications: ELISA, WB, IHC
Species Reactivity: Human
-
-
-
-
-















