NKX2-8 Antibody
-
中文名稱:NKX2-8兔多克隆抗體
-
貨號:CSB-PA015847LA01HU
-
規格:¥440
-
圖片:
-
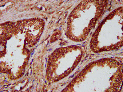
IHC image of CSB-PA015847LA01HU diluted at 1:300 and staining in paraffin-embedded human prostate cancer performed on a Leica BondTM system. After dewaxing and hydration, antigen retrieval was mediated by high pressure in a citrate buffer (pH 6.0). Section was blocked with 10% normal goat serum 30min at RT. Then primary antibody (1% BSA) was incubated at 4°C overnight. The primary is detected by a biotinylated secondary antibody and visualized using an HRP conjugated SP system.
-
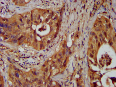
IHC image of CSB-PA015847LA01HU diluted at 1:300 and staining in paraffin-embedded human cervical cancer performed on a Leica BondTM system. After dewaxing and hydration, antigen retrieval was mediated by high pressure in a citrate buffer (pH 6.0). Section was blocked with 10% normal goat serum 30min at RT. Then primary antibody (1% BSA) was incubated at 4°C overnight. The primary is detected by a biotinylated secondary antibody and visualized using an HRP conjugated SP system.
-
-
其他:
產品詳情
-
產品名稱:Rabbit anti-Homo sapiens (Human) NKX2-8 Polyclonal antibody
-
Uniprot No.:
-
基因名:NKX2-8
-
別名:Homeobox protein NK 2 homolog H antibody; Homeobox protein NK-2 homolog H antibody; Homeobox protein Nkx 2.8 antibody; Homeobox protein Nkx-2.8 antibody; NK 2 homolog 8 antibody; NK 2 homolog H antibody; NK2 homeobox 8 antibody; NK2 transcription factor related; locus 8 antibody; Nkx2 9 antibody; Nkx2-8 antibody; NKX2.8 antibody; NKX28_HUMAN antibody; NKX2G antibody; NKX2H antibody; OTTHUMP00000027959 antibody
-
宿主:Rabbit
-
反應種屬:Human
-
免疫原:Recombinant Human Homeobox protein Nkx-2.8 protein (1-160AA)
-
免疫原種屬:Homo sapiens (Human)
-
標記方式:Non-conjugated
本頁面中的產品,NKX2-8 Antibody (CSB-PA015847LA01HU),的標記方式是Non-conjugated。對于NKX2-8 Antibody,我們還提供其他標記。見下表:
-
克隆類型:Polyclonal
-
抗體亞型:IgG
-
純化方式:>95%, Protein G purified
-
濃度:It differs from different batches. Please contact us to confirm it.
-
保存緩沖液:Preservative: 0.03% Proclin 300
Constituents: 50% Glycerol, 0.01M PBS, pH 7.4 -
產品提供形式:Liquid
-
應用范圍:ELISA, IHC
-
推薦稀釋比:
Application Recommended Dilution IHC 1:200-1:500 -
Protocols:
-
儲存條件:Upon receipt, store at -20°C or -80°C. Avoid repeated freeze.
-
貨期:Basically, we can dispatch the products out in 1-3 working days after receiving your orders. Delivery time maybe differs from different purchasing way or location, please kindly consult your local distributors for specific delivery time.
-
用途:For Research Use Only. Not for use in diagnostic or therapeutic procedures.
相關產品
靶點詳情
-
基因功能參考文獻:
- Results show that Nkx2-8 functions as a tumor suppressor in esophageal squamous cell carcinoma (ESCC), the downregulation of which contributes to NF-kappaB P65 activation and ESCC angiogenesis. PMID: 23604637
- overexpression of Nkx2.8 resulted in downregulation of p-FOXO3a and inhibition of MEK/ERK pathway activity. silencing Nkx2.8 led to upregulation of p-FOXO3a and increase of MEK/ERK pathway activity. PMID: 22223847
- Most tumors have low expression of Nkx2-8, and its expression can inhibit growth of some lung cancer cells. PMID: 21148747
- A murine Nkx2.8 was isolated from the Hepal-6 cell line and showed oligonucleotide binding competitive with fetoprotein transcription factor. PMID: 12167706
- Coactivation of the TTF-1 and NKX2-8 pathways identified a cluster of lung cancer patients with poor survival and were shown to exhibit resistance to cisplatin PMID: 19279207
顯示更多
收起更多
-
亞細胞定位:Nucleus.
-
蛋白家族:NK-2 homeobox family
-
數據庫鏈接:
Most popular with customers
-
-
YWHAB Recombinant Monoclonal Antibody
Applications: ELISA, WB, IHC, IF, FC
Species Reactivity: Human, Mouse, Rat
-
Phospho-YAP1 (S127) Recombinant Monoclonal Antibody
Applications: ELISA, WB, IHC
Species Reactivity: Human
-
-
-
-
-















