NIT2 Antibody
-
中文名稱:NIT2兔多克隆抗體
-
貨號:CSB-PA187627
-
規格:¥1100
-
圖片:
-
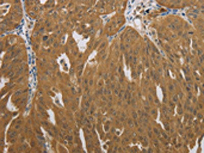
The image on the left is immunohistochemistry of paraffin-embedded Human colon cancer tissue using CSB-PA187627(NIT2 Antibody) at dilution 1/40, on the right is treated with synthetic peptide. (Original magnification: ×200)
-
The image on the left is immunohistochemistry of paraffin-embedded Human ovarian cancer tissue using CSB-PA187627(NIT2 Antibody) at dilution 1/40, on the right is treated with synthetic peptide. (Original magnification: ×200)
-
Gel: 10%SDS-PAGE, Lysate: 40 μg, Lane 1-3: Mouse liver tissue, Mouse kidney tissue, RAW264.7 cells, Primary antibody: CSB-PA187627(NIT2 Antibody) at dilution 1/950, Secondary antibody: Goat anti rabbit IgG at 1/8000 dilution, Exposure time: 90 seconds
-
-
其他:
產品詳情
-
Uniprot No.:
-
基因名:
-
別名:CUA002 antibody; MGC111199 antibody; NIT 2 antibody; Nit protein 2 antibody; NIT2 antibody; NIT2_HUMAN antibody; Nitrilase family member 2 antibody; Nitrilase homolog 2 antibody; Omega amidase NIT2 antibody; Omega-amidase NIT2 antibody
-
宿主:Rabbit
-
反應種屬:Human,Mouse
-
免疫原:Synthetic peptide of Human NIT2
-
免疫原種屬:Homo sapiens (Human)
-
標記方式:Non-conjugated
-
抗體亞型:IgG
-
純化方式:Antigen affinity purification
-
濃度:It differs from different batches. Please contact us to confirm it.
-
保存緩沖液:-20°C, pH7.4 PBS, 0.05% NaN3, 40% Glycerol
-
產品提供形式:Liquid
-
應用范圍:ELISA,WB,IHC
-
推薦稀釋比:
Application Recommended Dilution ELISA 1:2000-1:10000 WB 1:1000-1:5000 IHC 1:50-1:200 -
Protocols:
-
儲存條件:Upon receipt, store at -20°C or -80°C. Avoid repeated freeze.
-
貨期:Basically, we can dispatch the products out in 1-3 working days after receiving your orders. Delivery time maybe differs from different purchasing way or location, please kindly consult your local distributors for specific delivery time.
-
用途:For Research Use Only. Not for use in diagnostic or therapeutic procedures.
相關產品
靶點詳情
-
功能:Has omega-amidase activity. The role of omega-amidase is to remove potentially toxic intermediates by converting 2-oxoglutaramate and 2-oxosuccinamate to biologically useful 2-oxoglutarate and oxaloacetate, respectively.
-
基因功能參考文獻:
- Downregulation of NIT2 inhibits colon cancer cell proliferation and induces cell cycle arrest through the caspase-3 and PARP pathways PMID: 25738796
- Human NIT1/2 are not involved in the metabolism of vildagliptin. PMID: 25008847
- The activity and substrate specificity of human Nit2 was determined with alpha-ketoglutaramate and succinamate as substrates. PMID: 22674578
- Genotype analysis in 4 types of tumor tissue showed allelic imbalance surrounding NIT2 locus; results show that NIT2 plays an important role in cell growth inhibition & links to malignancies, suggesting Nit2 may be a potential tumor suppressor candidate PMID: 17488281
-
亞細胞定位:Cytoplasm.
-
蛋白家族:Carbon-nitrogen hydrolase superfamily, NIT1/NIT2 family
-
組織特異性:Detected in fetal brain (at protein level). Ubiquitous. Detected in heart, brain, placenta, lung, liver, skeletal muscle, kidney, pancreas, prostate, spleen, thymus, prostate, testis, ovary, small intestine and colon.
-
數據庫鏈接:
Most popular with customers
-
YWHAB Recombinant Monoclonal Antibody
Applications: ELISA, WB, IHC, IF, FC
Species Reactivity: Human, Mouse, Rat
-
Phospho-YAP1 (S127) Recombinant Monoclonal Antibody
Applications: ELISA, WB, IHC
Species Reactivity: Human
-
-
-
-
-
-















