NIT1 Antibody
-
中文名稱:NIT1兔多克隆抗體
-
貨號:CSB-PA768228LA01HU
-
規格:¥440
-
圖片:
-
Western Blot
Positive WB detected in: Mouse brain tissue, Rat brain tissue
All lanes: NIT1 antibody at 3µg/ml
Secondary
Goat polyclonal to rabbit IgG at 1/50000 dilution
Predicted band size: 36, 32, 41, 35, 27 kDa
Observed band size: 36 kDa -
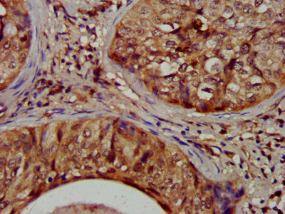
IHC image of CSB-PA768228LA01HU diluted at 1:1200 and staining in paraffin-embedded human cervical cancer performed on a Leica BondTM system. After dewaxing and hydration, antigen retrieval was mediated by high pressure in a citrate buffer (pH 6.0). Section was blocked with 10% normal goat serum 30min at RT. Then primary antibody (1% BSA) was incubated at 4°C overnight. The primary is detected by a biotinylated secondary antibody and visualized using an HRP conjugated SP system.
-
Immunofluorescence staining of HepG2 cells with CSB-PA768228LA01HU at 1:400, counter-stained with DAPI. The cells were fixed in 4% formaldehyde, permeabilized using 0.2% Triton X-100 and blocked in 10% normal Goat Serum. The cells were then incubated with the antibody overnight at 4°C. The secondary antibody was Alexa Fluor 488-congugated AffiniPure Goat Anti-Rabbit IgG(H+L).
-
-
其他:
產品詳情
-
產品名稱:Rabbit anti-Homo sapiens (Human) NIT1 Polyclonal antibody
-
Uniprot No.:
-
基因名:NIT1
-
別名:MGC57670 antibody; NIT1 antibody; NIT1_HUMAN antibody; Nitrilase 1 antibody; Nitrilase homolog 1 antibody
-
宿主:Rabbit
-
反應種屬:Human, Mouse, Rat
-
免疫原:Recombinant Human Deaminated glutathione amidase protein (1-243AA)
-
免疫原種屬:Homo sapiens (Human)
-
標記方式:Non-conjugated
本頁面中的產品,NIT1 Antibody (CSB-PA768228LA01HU),的標記方式是Non-conjugated。對于NIT1 Antibody,我們還提供其他標記。見下表:
-
克隆類型:Polyclonal
-
抗體亞型:IgG
-
純化方式:>95%, Protein G purified
-
濃度:It differs from different batches. Please contact us to confirm it.
-
保存緩沖液:Preservative: 0.03% Proclin 300
Constituents: 50% Glycerol, 0.01M PBS, PH 7.4 -
產品提供形式:Liquid
-
應用范圍:ELISA, WB, IHC, IF
-
推薦稀釋比:
Application Recommended Dilution WB 1:500-1:5000 IHC 1:1000-1:2000 IF 1:200-1:500 -
Protocols:
-
儲存條件:Upon receipt, store at -20°C or -80°C. Avoid repeated freeze.
-
貨期:Basically, we can dispatch the products out in 1-3 working days after receiving your orders. Delivery time maybe differs from different purchasing way or location, please kindly consult your local distributors for specific delivery time.
-
用途:For Research Use Only. Not for use in diagnostic or therapeutic procedures.
相關產品
靶點詳情
-
功能:Catalyzes the hydrolysis of the amide bond in N-(4-oxoglutarate)-L-cysteinylglycine (deaminated glutathione), a metabolite repair reaction to dispose of the harmful deaminated glutathione. Plays a role in cell growth and apoptosis: loss of expression promotes cell growth, resistance to DNA damage stress and increased incidence to NMBA-induced tumors. Has tumor suppressor properties that enhances the apoptotic responsiveness in cancer cells; this effect is additive to the tumor suppressor activity of FHIT. It is also a negative regulator of primary T-cells.
-
基因功能參考文獻:
- Data show that cisplatin response was enhanced in human lung cancer cells when Nit1 was knocked down and mice Nit1-/-:KrasG12D/+ tumors showed increased sensitivity to cisplatin in vivo. PMID: 26967383
- Human NIT1/2 are not involved in the metabolism of vildagliptin. PMID: 25008847
- Nit1 and Fhit share tumor suppressor signaling pathways, while localization of the NIT1 gene at a stable chromosome site explains the paucity of gene alterations and in frequent loss of expression of the NIT1 gene in human malignancies. PMID: 16864578
-
亞細胞定位:[Isoform 2]: Mitochondrion.; [Isoform 1]: Cytoplasm.
-
蛋白家族:Carbon-nitrogen hydrolase superfamily, NIT1/NIT2 family
-
組織特異性:Detected in heart, brain, placenta, liver, skeletal muscle, kidney and pancreas.
-
數據庫鏈接:
Most popular with customers
-
-
YWHAB Recombinant Monoclonal Antibody
Applications: ELISA, WB, IHC, IF, FC
Species Reactivity: Human, Mouse, Rat
-
Phospho-YAP1 (S127) Recombinant Monoclonal Antibody
Applications: ELISA, WB, IHC
Species Reactivity: Human
-
-
-
-
-















