NIF3L1 Antibody
-
中文名稱:NIF3L1兔多克隆抗體
-
貨號:CSB-PA061258
-
規格:¥1100
-
圖片:
-
The image on the left is immunohistochemistry of paraffin-embedded Human gastic cancer tissue using CSB-PA061258(NIF3L1 Antibody) at dilution 1/30, on the right is treated with fusion protein. (Original magnification: ×200)
-
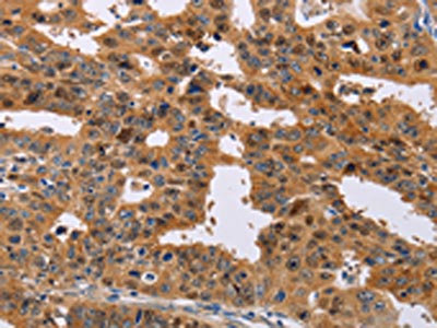
The image on the left is immunohistochemistry of paraffin-embedded Human liver cancer tissue using CSB-PA061258(NIF3L1 Antibody) at dilution 1/30, on the right is treated with fusion protein. (Original magnification: ×200)
-
-
其他:
產品詳情
-
Uniprot No.:
-
基因名:NIF3L1
-
別名:ALS2CR1 antibody; Amyotrophic lateral sclerosis 2 (juvenile) chromosome region, candidate 1 antibody; Amyotrophic lateral sclerosis 2 chromosomal region candidate gene 1 protein antibody; CALS-7 antibody; MDS015 antibody; Ngg1 interacting factor 3-like 1 antibody; NIF3 (Ngg1 interacting factor 3, S.pombe homolog)-like 1 antibody; NIF3 NGG1 interacting factor 3-like 1 (S. pombe) antibody; NIF3 NGG1 interacting factor 3-like 1 antibody; NIF3-like protein 1 antibody; NIF3L_HUMAN antibody; Nif3l1 antibody; OTTHUMP00000206190 antibody; OTTHUMP00000206191 antibody; OTTHUMP00000206192 antibody
-
宿主:Rabbit
-
反應種屬:Human,Mouse,Rat
-
免疫原:Fusion protein of Human NIF3L1
-
免疫原種屬:Homo sapiens (Human)
-
標記方式:Non-conjugated
-
抗體亞型:IgG
-
純化方式:Antigen affinity purification
-
濃度:It differs from different batches. Please contact us to confirm it.
-
保存緩沖液:-20°C, pH7.4 PBS, 0.05% NaN3, 40% Glycerol
-
產品提供形式:Liquid
-
應用范圍:ELISA,IHC
-
推薦稀釋比:
Application Recommended Dilution ELISA 1:2000-1:5000 IHC 1:50-1:200 -
Protocols:
-
儲存條件:Upon receipt, store at -20°C or -80°C. Avoid repeated freeze.
-
貨期:Basically, we can dispatch the products out in 1-3 working days after receiving your orders. Delivery time maybe differs from different purchasing way or location, please kindly consult your local distributors for specific delivery time.
-
用途:For Research Use Only. Not for use in diagnostic or therapeutic procedures.
相關產品
靶點詳情
-
功能:May function as a transcriptional corepressor through its interaction with COPS2, negatively regulating the expression of genes involved in neuronal differentiation.
-
亞細胞定位:Cytoplasm. Nucleus.
-
蛋白家族:GTP cyclohydrolase I type 2/NIF3 family
-
數據庫鏈接:
Most popular with customers
-
-
YWHAB Recombinant Monoclonal Antibody
Applications: ELISA, WB, IHC, IF, FC
Species Reactivity: Human, Mouse, Rat
-
Phospho-YAP1 (S127) Recombinant Monoclonal Antibody
Applications: ELISA, WB, IHC
Species Reactivity: Human
-
-
-
-
-















