NFKBIA (Ab-32/36) Antibody
-
中文名稱:NFKBIA (Ab-32/36)兔多克隆抗體
-
貨號:CSB-PA593749
-
規格:¥2024
-
圖片:
-
Western blot analysis of extracts from 293 and 3T3 cells using IkB-a(Ab-32/36) Antibody.
-
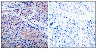
Immunohistochemical analysis of paraffin-embedded human breast carcinoma tissue using IkB-a(Ab-32/36) Antibody(left) or the same antibody preincubated with blocking peptide(right).
-
Immunofluorescence staining of methanol-fixed Hela cells using IkB-a(Ab-32/36) Antibody.
-
-
其他:
產品詳情
-
產品名稱:Rabbit anti-Homo sapiens (Human) NFKBIA Polyclonal antibody
-
Uniprot No.:
-
基因名:
-
宿主:Rabbit
-
反應種屬:Human,Mouse,Rat
-
免疫原:Peptide sequence around aa.30~34/34~38 (H-D-S-G-L- D-S -M-K) derived from Human IkB-a.
-
免疫原種屬:Homo sapiens (Human)
-
克隆類型:Polyclonal
-
純化方式:Antibodies were produced by immunizing rabbits with synthetic peptide and KLH conjugates. Antibodies were purified by affinity-chromatography using epitope-specific peptide.
-
濃度:It differs from different batches. Please contact us to confirm it.
-
產品提供形式:Liquid
-
應用范圍:ELISA,WB,IHC,IF
-
推薦稀釋比:
Application Recommended Dilution WB 1:500-1:1000 IHC 1:50-1:200 IF 1:100-1:200 -
Protocols:
-
儲存條件:Upon receipt, store at -20°C or -80°C. Avoid repeated freeze.
-
貨期:Basically, we can dispatch the products out in 1-3 working days after receiving your orders. Delivery time maybe differs from different purchasing way or location, please kindly consult your local distributors for specific delivery time.
-
用途:For Research Use Only. Not for use in diagnostic or therapeutic procedures.
相關產品
靶點詳情
-
功能:Inhibits the activity of dimeric NF-kappa-B/REL complexes by trapping REL dimers in the cytoplasm through masking of their nuclear localization signals. On cellular stimulation by immune and proinflammatory responses, becomes phosphorylated promoting ubiquitination and degradation, enabling the dimeric RELA to translocate to the nucleus and activate transcription.
-
基因功能參考文獻:
- this study shows changes of NF-kB expression levels induced by cell-free DNA in different cell types PMID: 29743966
- the results of real-time PCR and western blotting revealed that Huaier extract decreased p65 and c-Met expression and increased IkappaBalpha expression, while paclitaxel increased p65 expression and reduced IkappaBalpha and c-Met expression.The molecular mechanisms may be involved in the inhibition of the NF-kappaB pathway and c-Met expression PMID: 29039556
- Colorectal cancer cases showed an increase in the frequency of NFkappaBIA-881G allele in Egyptian subjects. PMID: 28389768
- association between polymorphisms and progression of chronic hepatitis B Virus infection among Chinese Han Population PMID: 29093318
- miR-668 was upregulated in radioresistant human breast cancer cell lines MCF-7R and T-47DR, which targeted IkappaBalpha, activated the NF-kappaB pathway and thus increased the radioresistance of breast cancer cells. PMID: 28138801
- We showed that pristimerin suppressed tumor necrosis factor a (TNFalpha)-induced IkappaBa phosphorylation, translocation of p65, and expression of NFkappaB-dependent genes. Moreover, pristimerin decreased cell viability and clonogenic ability of Uveal melanoma (UM)cells. A synergistic effect was observed in the treatment of pristimerin combined with vinblastine, a frontline therapeutic agent, in UM. PMID: 28766683
- Data collectively demonstrate the functional importance of IkappaBalpha-mediated stripping of NFkappaB from DNA in the kinetic control of NFkappaB signaling. PMID: 28167786
- These findings indicate that genetic polymorphisms of NFKB1A rs696, pre-miR-146a rs2910164 and pre-miR-499 rs3746444 may represent novel markers of AT susceptibility. PMID: 28674224
- XPO1 inhibitor combination therapy with bortezomib or carfilzomib induces nuclear localization of IkappaBalpha and overcomes acquired proteasome inhibitor resistance in human multiple myeloma. PMID: 27806331
- Molecular docking analysis indicated that transcription factor NF-kappaB was one of the potential molecular targets modulated by DTTF. Specifically, the drug blocked the TNFalpha-induced phosphorylation of upstream IkappaBalpha kinase in a time-dependent manner leading to the suppression of NF-kappaB activation and nuclear translocation PMID: 27882436
- We show that HOTAIR regulates activation of NF-kB by decreasing Ik-Ba (NF-kB inhibitor) and establish that by inducing prolonged NF-kB activation and expression of NF-kB target genes during DNA damage, HOTAIR has a critical role in cellular senescence and platinum sensitivity PMID: 27041570
- Here, the authors report amide hydrogen/deuterium exchange data that reveal long-range allosteric changes in the NFkappaB (RelA-p50) heterodimer induced by DNA or IkappaBalpha binding. PMID: 28249778
- Sam68 is essential for DNA damage-induced NF-kappaB activation and colon tumorigenesis. PMID: 27458801
- Specifically, BCA2 serves as an E3 SUMO ligase in the SUMOylation of IkappaBalpha, which in turn enhances the sequestration of NF-kappaB components in the cytoplasm. Since HIV-1 utilizes NF-kappaB to promote proviral transcription, the BCA2-mediated inhibition of NF-kappaB significantly decreases the transcriptional activity of HIV-1. PMID: 28122985
- This study found that NFKBIA mRNAs was significantly expressed in normal tissues compared with glioma specimens. PMID: 27538656
- Findings indicate the prognostic value of NFKB inhibitor alpha (NFKBIA) in lower-grade gliomas (LGGs). PMID: 27052952
- W346 effectively inhibited tumor necrosis factor (TNF-a)-induced NF-kappaB activation by suppressing IKK phosphorylation, inhibiting IkB-a degradation, and restraining the accumulation of NF-kappaB subunit p65 nuclear translocation. W346 also affected NF-kappaB-regulated downstream products involved in cycle arrest and apoptosis. PMID: 26520440
- treating cells with SZC014 resulted in a decrease in phosphorylation of IkBa and NF-kappaB/p65 and NF-kappaB/p65 nuclear translocation. The cytotoxic activities of seven OA derivatives were generally stronger than that of OA, among which, SZC014 possessed the most potent anticancer activity in SGC7901 cells and would be a promising chemotherapic agent for the treatment of gastric cancer PMID: 26547583
- Network analysis identified NFKBIA as pathogenic gene in childhood asthma. PMID: 27420950
- HMBA was able to increase prostratin-induced phosphorylation and degradation of NF-kappaB inhibitor IkappaBalpha, thereby enhancing and prolonging prostratin-induced nuclear translocation of NF-kappaB, a prerequisite for stimulation of transcription initiation PMID: 27529070
- enhanced miR-381a-3p expression contributed to the injury of osteoarthritis mainly by inhibiting the expression of IkappaBalpha. PMID: 27312547
- Timely and efficient degradation of ubiquitinated IkappaB[alpha], concomitant with timely and efficient liberation of RelA from ubiquitinated IkappaB[alpha] and RelA nuclear translocation, essentially depends on the presence of functional p97/VCP. PMID: 26463447
- Activated Rac1 regulates the degradation of IkappaBalpha and the nuclear translocation of STAT3-NFkappaB complexes in starved cancer cells PMID: 27151455
- mutation in Chinese patient results in mycobacterial infections without ectodermal dysplasia PMID: 26691317
- DAT stabilized IkBa by inhibiting the phosphorylation of Ika by the IkB kinase (IKK) complex. DAT induced proteasomal degradation of TRAF6, and DAT suppressed IKKb-phosphorylation through downregulation of TRAF6 PMID: 26647777
- the rs3138053 polymorphism of NFKBIA gene is a candidate for susceptibility to overall cancers, while rs696 plays a protective role [meta-analysis] PMID: 26488500
- Identify a novel BCR-ABL/IkappaBalpha/p53 network, whereby BCR-ABL functionally inactivates a key tumor suppressor in chronic myeloid leukemia. PMID: 26295305
- Study demonstrates an association between functional polymorphisms of IkappaBalpha rs696 and smoking with the risk of defective spermatogenesis, suggesting some interaction between the NF-kappaB signalling pathway and smoking-related ROS in human spermatogenesis. PMID: 25352423
- genetic variation associated with susceptibility to acute kidney injury PMID: 26477820
- MicroRNA-19a mediates gastric carcinoma cell proliferation through the activation of IkappaBalpha. PMID: 26239140
- No association was observed between NFKBIA variants and risk of liver cancer. PMID: 24578542
- SM22alpha is a phosphorylation-regulated suppressor of IKK-IkappaBalpha-NF-kappaB signaling cascades. PMID: 25937534
- Data suggest that activity of IKBalpha can be regulated by dietary factors; dietary supplementation with luteolin inhibits vascular endothelial inflammation by suppressing IKBalpha/NFkappaB signaling. PMID: 25577468
- This review and meta-analysis of the association of NFKBIA -881 A>G polymorphism with cancer susceptibility reveals that -881 A>G polymorphism may increase risk of cancer development in Asian populations. PMID: 26252270
- miR-126 may play an important role in hepatic fibrosis by downregulating the expression of IkappaBalpha partly through the NF-kappaB signaling pathway. PMID: 25974152
- IkappaBetaalpha inhibits apoptosis at the outer mitochondrial membrane independently of NF-kappaB retention. PMID: 25361605
- The single nucleotide polymorphism rs1957106 CT and TT genotypes were found to be associated with lower NFKBIA protein levels and a poor prognosis of pateints with glioblastoma. PMID: 25215581
- data suggest that the NFKBIA 126 G/A polymorphism might be potentially helpful to identify liver transplant recipients with an increased susceptibility to develop recurrent acute rejections PMID: 25112903
- Expression of IkappaBalpha in human bladder cancer cells is negatively correlated with epithelial-mesenchymal transition and tumor invasion in vitro. PMID: 25374080
- NFKBIA-rs2233419AG was associated with a significantly increased risk of developing recurrent wheezing. PMID: 25326706
- miR-196a can directly interact with IkappaBalpha 3'-UTR to suppress IkappaBalpha expression and subsequently promote activation of NF-kappaB PMID: 24463357
- MiR-196a promotes pancreatic cancer progression by targeting nuclear factor kappa-B-inhibitor alpha. PMID: 24504166
- Data indicate that following bortezomib treatment there was accumulation of IkappaB-alpha (IkappaBalpha) without affecting its phosphorylation status at an early time point. PMID: 23697845
- This study reveals that polymorphisms in the IkB-alpha promoter (-881 A/G, -826 C/T) are strongly associated with the susceptibility of Iranian Multiple Sclerosis patients PMID: 24368589
- The results of this study suggested that oligodendroglial IkappaBalpha expression and NF-kappaB are activated early in the course of MSA and their balance contributes to the decision of cellular demise. PMID: 24361600
- No statistically significant CRC risk association was found for the NFKBIA polymorphisms. PMID: 23996241
- data indicate that NFKBIA deletions are present but not frequent in Glioblastoma multiforme (GBM); the deletions become frequent in GBM neurospheres (NS), an event that seems to be affected by the presence of EGF in the culture medium PMID: 24330732
- the analysis of IkappaBalpha expression at salivary gland epithelial cell level could be a potential new hallmark of Sjogren's syndrome progression. PMID: 23377923
- IkappaBalpha sequesters not only p65 but also RPS3 in the cytoplasm. PMID: 24457201
- NF-kB expression was downregulated and its cytoplasmatic inhibitor IKBalpha was increased in CTLA4-Ig treated macrophages. PMID: 24295474
顯示更多
收起更多
-
相關疾病:Ectodermal dysplasia, anhidrotic, with T-cell immunodeficiency autosomal dominant (ADEDAID)
-
亞細胞定位:Cytoplasm. Nucleus.
-
蛋白家族:NF-kappa-B inhibitor family
-
數據庫鏈接:
Most popular with customers
-
-
YWHAB Recombinant Monoclonal Antibody
Applications: ELISA, WB, IHC, IF, FC
Species Reactivity: Human, Mouse, Rat
-
Phospho-YAP1 (S127) Recombinant Monoclonal Antibody
Applications: ELISA, WB, IHC
Species Reactivity: Human
-
-
-
-
-















