NFKB1 (Ab-337) Antibody
-
中文名稱:NFKB1 (Ab-337)兔多克隆抗體
-
貨號:CSB-PA186775
-
規格:¥2024
-
圖片:
-
Western blot analysis of extracts from HT29 cells using NFkB-p105/p50(Ab-337) Antibody and the same antibody preincubated with blocking peptide.
-
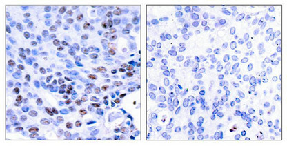
Immunohistochemical analysis of paraffin-embedded human breast carcinoma tissue using NFkB-p105/p50(Ab-337) Antibody(left) or the same antibody preincubated with blocking peptide(right).
-
-
其他:
產品詳情
-
產品名稱:Rabbit anti-Homo sapiens (Human) NFKB1 Polyclonal antibody
-
Uniprot No.:
-
基因名:
-
宿主:Rabbit
-
反應種屬:Human,Mouse,Rat
-
免疫原:Peptide sequence around aa.335~339 (R-K-S-D-L) derived from Human NFkB-p105.
-
免疫原種屬:Homo sapiens (Human)
-
克隆類型:Polyclonal
-
純化方式:Antibodies were produced by immunizing rabbits with synthetic peptide and KLH conjugates. Antibodies were purified by affinity-chromatography using epitope-specific peptide.
-
濃度:It differs from different batches. Please contact us to confirm it.
-
產品提供形式:Liquid
-
應用范圍:ELISA,WB,IHC
-
推薦稀釋比:
Application Recommended Dilution WB 1:500-1:1000 IHC 1:50-1:200 -
Protocols:
-
儲存條件:Upon receipt, store at -20°C or -80°C. Avoid repeated freeze.
-
貨期:Basically, we can dispatch the products out in 1-3 working days after receiving your orders. Delivery time maybe differs from different purchasing way or location, please kindly consult your local distributors for specific delivery time.
-
用途:For Research Use Only. Not for use in diagnostic or therapeutic procedures.
相關產品
靶點詳情
-
功能:NF-kappa-B is a pleiotropic transcription factor present in almost all cell types and is the endpoint of a series of signal transduction events that are initiated by a vast array of stimuli related to many biological processes such as inflammation, immunity, differentiation, cell growth, tumorigenesis and apoptosis. NF-kappa-B is a homo- or heterodimeric complex formed by the Rel-like domain-containing proteins RELA/p65, RELB, NFKB1/p105, NFKB1/p50, REL and NFKB2/p52 and the heterodimeric p65-p50 complex appears to be most abundant one. The dimers bind at kappa-B sites in the DNA of their target genes and the individual dimers have distinct preferences for different kappa-B sites that they can bind with distinguishable affinity and specificity. Different dimer combinations act as transcriptional activators or repressors, respectively. NF-kappa-B is controlled by various mechanisms of post-translational modification and subcellular compartmentalization as well as by interactions with other cofactors or corepressors. NF-kappa-B complexes are held in the cytoplasm in an inactive state complexed with members of the NF-kappa-B inhibitor (I-kappa-B) family. In a conventional activation pathway, I-kappa-B is phosphorylated by I-kappa-B kinases (IKKs) in response to different activators, subsequently degraded thus liberating the active NF-kappa-B complex which translocates to the nucleus. NF-kappa-B heterodimeric p65-p50 and RelB-p50 complexes are transcriptional activators. The NF-kappa-B p50-p50 homodimer is a transcriptional repressor, but can act as a transcriptional activator when associated with BCL3. NFKB1 appears to have dual functions such as cytoplasmic retention of attached NF-kappa-B proteins by p105 and generation of p50 by a cotranslational processing. The proteasome-mediated process ensures the production of both p50 and p105 and preserves their independent function, although processing of NFKB1/p105 also appears to occur post-translationally. p50 binds to the kappa-B consensus sequence 5'-GGRNNYYCC-3', located in the enhancer region of genes involved in immune response and acute phase reactions. In a complex with MAP3K8, NFKB1/p105 represses MAP3K8-induced MAPK signaling; active MAP3K8 is released by proteasome-dependent degradation of NFKB1/p105.
-
基因功能參考文獻:
- NF-kappaB signaling contributes to prostate cancer cell proliferation and migration via androgen receptor and estrogen receptor beta. PMID: 30236540
- PKC-delta isoform plays a crucial role in Tat-TLR4 signaling pathway to activate NF-kappaB and CXCL8 production. PMID: 28539656
- Knockdown of cyclin dependent kinase inhibitor 2A (p16INK4A) in cardiac stem/progenitor cell (hCPC) reverses the senescent phenotype and has an antioxidant effect on aging hCPCs via NF-KAPPA B (NF-kB) signaling. PMID: 29675777
- Chandipura virus infection triggered the activation of signalling pathways mediated by mitogen-activated protein kinases, including p38, JNK 1 and 2, and nuclear factor kappaB. PMID: 30001342
- TSPAN15 interacts with BTRC to promote oesophageal squamous cell carcinoma metastasis via activating NF-kappaB signaling. PMID: 29650964
- FABP5 promotes lipolysis of lipid droplets, de novo fatty acid synthesis and activation of NF-kappaB signaling in cancer cells. PMID: 29906613
- Prognostic significance of NF-kappaB expression in non-small cell lung cancer PMID: 29813121
- LMP1 functions to constitutively activate NF-kappaB signalling during nasopharynx cancer pathogenesis. PMID: 28098136
- NF-kappaB signalling may repress ANT1 gene transcription and impair mitochondrial functions. PMID: 28317877
- High NFKB expression is associated with chemotherapeutic resistance in gastric cancer. PMID: 30106453
- PGF promotes epithelial-mesenchymal transition-like changes in retinal pigment epithelium cells under hypoxia by activating the NF-kappaB signaling pathway. PMID: 29769799
- Data indicated that nestin regulated NF-kappa B (NF-kappaB) activity in foetal spinal cord tissues. PMID: 29697001
- NF-kappaB p50 and NF-kappaB p65 in thyroid carcinoma were positively associated with tumour diameter and the presence of lymph node metastasis PMID: 30014762
- This study establishes PML as an important regulator of NF-kappaB and demonstrates that PML-RARalpha dysregulates NF-kappaB. PMID: 28317833
- Notch signaling can initiate Asb2 transcription and NF-kappa B activation in T cell acute lymphoblastic leukemia cells. PMID: 30116272
- High NFKB expression is associated with colorectal cancer cell migration, invasion and metastasis PMID: 30015978
- These findings indicated that microRNA-98 could promote apoptosis of glioma cells via inhibiting inhibitor of kappa B kinase epsilon/nuclear factor-kappa B signaling and presented a novel regulatory pathway of microRNA-98 by direct suppression of inhibitor of kappa B kinase epsilon/nuclear factor-kappa B expression in glioma cells. PMID: 29333957
- Anti-rotavirus effect of TNF-alpha was achieved by NFkappaB-regulated genes via the activation of classical nuclear factor kappaB (NF-kappaB) signaling. PMID: 29859235
- Knockdown of REG-GAMMA (REGgamma) may inhibit the proliferation and migration, and promote the apoptosis of plasma cell myeloma RPMI-8226 cells possibly by downregulating NF-kappa-B (NF-kappaB) signal pathway. PMID: 29020881
- L5-LDL, a naturally occurring mild oxidized LDL, induced G-CSF and GM-CSF production in human macrophages through LOX-1, ERK2, and NF-kappaB dependent pathways PMID: 29078142
- Priming cells with IFNbeta synergistically enhances IL6 induction in response to treatments that activate NF-kappaB, in a process that depends upon the recruitment of STAT2, IRF9. PMID: 29581268
- HMGB1 promoted lung cancer invasion and metastasis by upregulating the expression and activity of MMP-2 in an NF-kappaB-dependent manner. PMID: 29850505
- NF-kappaB activation in breast cancer cells depends on the presence of the CHORDC1 gene product Morgana. PMID: 29158506
- Data suggest the angiopoietin-like 8 (ANGPTL8)/p62-IKKgamma axis as a negative feedback loop that regulates NF-kappaB activation, and extends the role of selective autophagy in fine-tuned inflammatory responses. PMID: 29255244
- Studied role of bone marrow stromal cell antigen 2 (BST2) in gastric cancer (GC); results show BST2 is overexpressed in GC tissues and BST2 silencing inhibits cell proliferation and migration, partly by regulating NF-kappaB signaling. PMID: 29774441
- vaspin decreased miR-33a levels, which in turn increased ABCA1 expression and cholesteorl efflux. PMID: 29653102
- these results define a tumor-supportive role for CDCA3. PMID: 29627567
- NFKB1 variants were significantly associated with type 2 diabetes PMID: 29601852
- NF-kappaB has been identified as the main transcription factor regulating the induction of inflammation-related genes in intracranial aneurysms lesions. This transcription factor has also been related to intracranial aneurysms rupture and resulting Subarachnoid Hemorrhage. [review] PMID: 29671828
- miR-150 predicts survival in patients with sepsis and inhibits lipopolysaccharide-induced inflammatory factors and apoptosis by targeting NF-kappaB1 in human umbilical vein endothelial cells. PMID: 29689269
- These results illustrate an alternative mechanism of HIV-1 Vpr regulation of Kaposi's sarcoma-associated herpesvirus (KSHV) latency and aberrant cytokines through the miR-711/Notch/NF-kappaB axis. Our novel findings further demonstrate the role of an HIV-1-secreted regulatory protein in the KSHV life cycle and KSHV-related malignancies. PMID: 29976660
- In conclusion, HSP70 modulates NF-kappaB activation in alveolar macrophages of TB patients, through inhibiting IkappaB-alpha phosphorylation or acting as a chaperon molecule to prevent NF-kappaB binding to the target genes by facilitating degradation. The upregulated HSP70 may suppress the release of pro-inflammatory cytokines during active pulmonary tuberculosis infection, and prevent overwhelming tissue damage. PMID: 28450725
- Gene expression analyses show strong correlation between the cellular dynamic response and NF-kappaB-dependent target gene activation. PMID: 27381163
- NF-kappaB served as a positive transcriptional regulator of WIP1 to activate its expression and affect its function in colorectal cancer cells. PMID: 29367109
- Data do not support a role for the NFKB1 and HIF1A polymorphisms in the pathogenesis of bowel disease. PMID: 29307990
- a few seconds of exposure to TNF is sufficient to activate the NF-kappaB pathway in HeLa cells and induce apoptotic cell death in both HeLa and Kym-1 cells PMID: 28004761
- HMGB1 mediates fibroblast activity via RAGE-MAPK and NF-kappaB signaling in keloid scar formation. PMID: 29283384
- High NFKB expression is associated with glioma. PMID: 28534933
- NFkappaB1-94ins/ins genotype was associated with the risk of developing colorectal cancer in Egyptian subjects. PMID: 28389768
- miR-146 exerted protective functions might be via up-regulation of Sirt1 thereby blocking NF-kappaB and Notch pathways. PMID: 29229881
- Data suggest that environmental carcinogen PFOA (perfluorooctanoic acid) stimulates ovarian cancer cell migration, invasion, and MMP2/MMP9 expression by up-regulating ERK/NFkappaB signaling pathway. (MMP = matrix metallopeptidase; NFkappaB = nuclear factor kappa B) PMID: 29753068
- High NFKB expression is associated with KSHV infection. PMID: 29698475
- Significantly elevated blood levels of NFkappaB in myelodysplastic syndrome patients. PMID: 28856536
- These data indicate a process of NF-kappaB-induced miR-506 suppression and JAG1 upregulation upon IL-1beta induction. PMID: 28926924
- High Expressions of NFkappaB is associated with degenerative knee osteoarthritis. PMID: 28418842
- Inflammatory factors suppress microRNA-1275 transcription in human adipocytes through NF-kappaB. PMID: 28901460
- GSK-3beta is critically important for ordered NF-kappaB signalling through modulation of NEMO phosphorylation. PMID: 27929056
- results establish a role for the linear Ubiquitin coat around cytosolic S. Typhimurium as the local NF-kappaB signalling platform and provide insights into the function of OTULIN in NF-kappaB activation during bacterial pathogenesis PMID: 28481361
- the lymphotoxin beta receptor (LTbetaR) to elicit the fast release of NF-kappaB inducing kinase (NIK) from the receptor complex leading to non-canonical NF-kappaB signaling. PMID: 29329668
- Data demonstrate that S. Typhimurium attenuates NF-kappaB signaling in fibroblasts; this tune-down in a central host defense might be instrumental for S. Typhimurium to establish intracellular persistent infections PMID: 27575017
顯示更多
收起更多
-
相關疾病:Immunodeficiency, common variable, 12 (CVID12)
-
亞細胞定位:Nucleus. Cytoplasm. Note=Nuclear, but also found in the cytoplasm in an inactive form complexed to an inhibitor (I-kappa-B).
-
數據庫鏈接:
Most popular with customers
-
-
YWHAB Recombinant Monoclonal Antibody
Applications: ELISA, WB, IHC, IF, FC
Species Reactivity: Human, Mouse, Rat
-
Phospho-YAP1 (S127) Recombinant Monoclonal Antibody
Applications: ELISA, WB, IHC
Species Reactivity: Human
-
-
-
-
-















