NFATC3 Antibody
-
中文名稱:NFATC3兔多克隆抗體
-
貨號:CSB-PA031193
-
規格:¥1100
-
圖片:
-
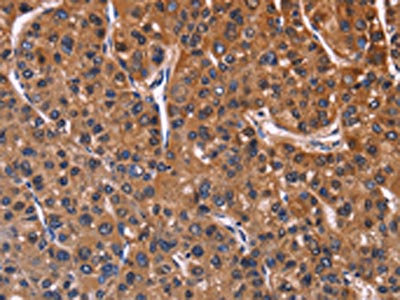
The image on the left is immunohistochemistry of paraffin-embedded Human liver cancer tissue using CSB-PA031193(NFATC3 Antibody) at dilution 1/60, on the right is treated with fusion protein. (Original magnification: ×200)
-
The image on the left is immunohistochemistry of paraffin-embedded Human colon cancer tissue using CSB-PA031193(NFATC3 Antibody) at dilution 1/60, on the right is treated with fusion protein. (Original magnification: ×200)
-
-
其他:
產品詳情
-
Uniprot No.:
-
基因名:
-
別名:C80703 antibody; cytoplasmic 3 antibody; D8Ertd281e antibody; NF AT4 antibody; NF ATc3 antibody; NF-AT4 antibody; NF-ATc3 antibody; NFAC3_HUMAN antibody; NFAT4 antibody; NFATc3 antibody; NFATx antibody; Nuclear factor of activated T cells, cytoplasmic 3 antibody; nuclear factor of activated T cells, cytoplasmic, calcineurin dependent 3 antibody; Nuclear factor of activated T-cells antibody; T cell transcription factor NFAT4 antibody; T-cell transcription factor NFAT4 antibody
-
宿主:Rabbit
-
反應種屬:Human,Mouse
-
免疫原:Fusion protein of Human NFATC3
-
免疫原種屬:Homo sapiens (Human)
-
標記方式:Non-conjugated
-
抗體亞型:IgG
-
純化方式:Antigen affinity purification
-
濃度:It differs from different batches. Please contact us to confirm it.
-
保存緩沖液:-20°C, pH7.4 PBS, 0.05% NaN3, 40% Glycerol
-
產品提供形式:Liquid
-
應用范圍:ELISA,IHC
-
推薦稀釋比:
Application Recommended Dilution ELISA 1:2000-1:10000 IHC 1:100-1:300 -
Protocols:
-
儲存條件:Upon receipt, store at -20°C or -80°C. Avoid repeated freeze.
-
貨期:Basically, we can dispatch the products out in 1-3 working days after receiving your orders. Delivery time maybe differs from different purchasing way or location, please kindly consult your local distributors for specific delivery time.
-
用途:For Research Use Only. Not for use in diagnostic or therapeutic procedures.
相關產品
靶點詳情
-
功能:Acts as a regulator of transcriptional activation. Plays a role in the inducible expression of cytokine genes in T-cells, especially in the induction of the IL-2. Along with NFATC4, involved in embryonic heart development.
-
基因功能參考文獻:
- MicroRNA-214 regulates immunity-related genes in bovine mammary epithelial cells by targeting NFATc3 and TRA PMID: 28627449
- The NFATc3 first induced the expression of its interaction partner FosB before forming the heterodimeric NFATc3-FosB transcription factor complex, which bound the proximal AP-1 site in the TF gene promoter and activated TF expression. PMID: 28724635
- we found that VIP inhibits NFAT nuclear translocation in primary human pulmonary artery smooth muscle cells (PASMC). Early activation of NFATc3 in IPF patients may contribute to disease progression and the increase in VIP expression could be a protective compensatory mechanism PMID: 28125639
- the transcription factor NFATC3 binds to IRF7 and functions synergistically to enhance IRF7-mediated IFN expression in Plasmacytoid dendritic cells. PMID: 27697837
- Calcineurin together with its upstream molecule, calpain 2, and its downstream effector, NFAT-c3, might contribute to the development of atrial fibrillation in patients with heart valve disease and diabetes. PMID: 27123462
- NFATc3 interacted in a SUMO-dependent manner with Trim17, an E3 ubiquitin ligase necessary for neuronal apoptosis PMID: 25215946
- Suggest nuclear NF-AT3 and NF-AT4 participates in atrial structural remodeling, and that PICP and TGF-beta1 levels may be sensitive serum biomarkers to estimate atrial structural remodeling with atrial fibrillation. PMID: 25422138
- Microvesicles from tumor cells transferred TrpC5 to endothelial cells, inducing the expression of P-glycoprotein by activation of the transcription factor NFATc3 (nuclear factor of activated T cells isoform c3). PMID: 24582564
- AP-1 and NFAT4 complex promotes miR-23a expression. PMID: 23929433
- The closely related transcription factors NFAT1 and NFAT4 possess distinct nuclear localization dynamics in response to cell stimulation. PMID: 23219532
- Data indicate that NFATc3 undergoes rapid dephosphorylation and nuclear translocation that are essentially complete within 20 min, although NFATc4 remains phosphorylated and localized to the cytosol. PMID: 22977251
- Abeta-activated NFAT4 proteins were associated with astrocytic BACE1 gene expression via direct interaction with the BACE1 promoter region. PMID: 22846573
- The authors report that NFAT4 and NF-kappaB interact at the KB element to co-operatively activate both human polyomavirus JC early and late transcription and viral DNA replication. PMID: 22749879
- NFATc3 is specifically required for IL2 and cyclooxygenase-2 (COX2) gene expression in T cells and for T-cell proliferation and NFATc3 regulates COX2 in endothelial cells PMID: 21642596
- transactivation activity and role in inducing differentiation of CD4(+)CD8(+) T cells PMID: 11997392
- NFAT and thyroid transcription factor-1 have roles in regulating transcription of the surfactant protein D gene PMID: 15173172
- NFATc3 is negatively regulated by class II histone deacetylases through the DnaJ (heat shock protein-40) superfamily member Mrj PMID: 16260608
- We found that [Ca(2+)](i) oscillations were associated with NFAT translocation into the nucleus in undifferentiated hMSCs. As the hMSCs differentiated to adipocytes, the [Ca(2+)](i) oscillations disappeared and the translocation of NFAT ceased. PMID: 16445977
- Calcium signaling and the activation of NFAT in glial cells are required for JC Virus infection of the CNS. PMID: 17035332
- CHP2 has a role in tumorigenesis and as an activator of the calcineurin/NFAT signaling pathway PMID: 18815128
顯示更多
收起更多
-
亞細胞定位:Cytoplasm. Nucleus. Note=Cytoplasmic for the phosphorylated form and nuclear after activation that is controlled by calcineurin-mediated dephosphorylation. Rapid nuclear exit of NFATC is thought to be one mechanism by which cells distinguish between sustained and transient calcium signals. The subcellular localization of NFATC plays a key role in the regulation of gene transcription.
-
組織特異性:Isoform 1 is predominantly expressed in thymus and is also found in peripheral blood leukocytes and kidney. Isoform 2 is predominantly expressed in skeletal muscle and is also found in thymus, kidney, testis, spleen, prostate, ovary, small intestine, hear
-
數據庫鏈接:
Most popular with customers
-
Phospho-YAP1 (S127) Recombinant Monoclonal Antibody
Applications: ELISA, WB, IHC
Species Reactivity: Human
-
-
-
-
-
-
-
VDAC1 Recombinant Monoclonal Antibody
Applications: ELISA, WB, IHC
Species Reactivity: Human, Mouse, Rat















