NEUROG2 Antibody
-
中文名稱:NEUROG2兔多克隆抗體
-
貨號:CSB-PA248806
-
規格:¥1100
-
圖片:
-
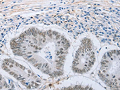
The image on the left is immunohistochemistry of paraffin-embedded Human colon cancer tissue using CSB-PA248806(NEUROG2 Antibody) at dilution 1/15, on the right is treated with synthetic peptide. (Original magnification: ×200)
-
The image on the left is immunohistochemistry of paraffin-embedded Human liver cancer tissue using CSB-PA248806(NEUROG2 Antibody) at dilution 1/15, on the right is treated with synthetic peptide. (Original magnification: ×200)
-
-
其他:
產品詳情
-
Uniprot No.:
-
基因名:NEUROG2
-
別名:Atoh 4 antibody; Atoh4 antibody; bHLHa8 antibody; Class A basic helix-loop-helix protein 8 antibody; Math 4A antibody; Math4A antibody; MGC antibody; MGC46562 antibody; NEUROG 2 antibody; NEUROG2 antibody; Neurogenin-2 antibody; Neurogenin2 antibody; NGN 2 antibody; NGN-2 antibody; NGN2 antibody; NGN2_HUMAN antibody; Protein atonal homolog 4 antibody
-
宿主:Rabbit
-
反應種屬:Human
-
免疫原:Synthetic peptide of Human NEUROG2
-
免疫原種屬:Homo sapiens (Human)
-
標記方式:Non-conjugated
-
抗體亞型:IgG
-
純化方式:Antigen affinity purification
-
濃度:It differs from different batches. Please contact us to confirm it.
-
保存緩沖液:-20°C, pH7.4 PBS, 0.05% NaN3, 40% Glycerol
-
產品提供形式:Liquid
-
應用范圍:ELISA,IHC
-
推薦稀釋比:
Application Recommended Dilution ELISA 1:1000-1:2000 IHC 1:15-1:50 -
Protocols:
-
儲存條件:Upon receipt, store at -20°C or -80°C. Avoid repeated freeze.
-
貨期:Basically, we can dispatch the products out in 1-3 working days after receiving your orders. Delivery time maybe differs from different purchasing way or location, please kindly consult your local distributors for specific delivery time.
-
用途:For Research Use Only. Not for use in diagnostic or therapeutic procedures.
相關產品
靶點詳情
-
功能:Transcriptional regulator. Involved in neuronal differentiation. Activates transcription by binding to the E box (5'-CANNTG-3').
-
基因功能參考文獻:
- Study shows neurogenin 2 enhances the generation of patient-specific induced neuronal cells. PMID: 25912433
- Results show that neurogenin-1 and -2 drive homogeneous differentiation of human stem cells into bipolar neurons in 4 days in defined media. PMID: 25403753
- human embryonic progenitors expressing neurogenin-2 stimulate axonal sprouting and improve motor recovery after severe spinal cord injury PMID: 21209909
- Novel compound heterozygous variants (Gly56Arg and Asp206Glu) were found in a 91-year normal male, suggesting that mutations in the coding region of the NEUROG2 gene play little or no role in the development of PD. PMID: 19879328
- expression of Ngn2 during the differentiation of neuronl human embryo stem cells. PMID: 17784840
- Rat and mouse species-dependent differences of Nurr1 and Ngn2 actions in dopamine neuron differentiation. PMID: 18242186
顯示更多
收起更多
-
亞細胞定位:Nucleus.
-
數據庫鏈接:
Most popular with customers
-
-
YWHAB Recombinant Monoclonal Antibody
Applications: ELISA, WB, IHC, IF, FC
Species Reactivity: Human, Mouse, Rat
-
Phospho-YAP1 (S127) Recombinant Monoclonal Antibody
Applications: ELISA, WB, IHC
Species Reactivity: Human
-
-
-
-
-















