NEK8 Antibody
-
中文名稱:NEK8兔多克隆抗體
-
貨號:CSB-PA200941
-
規格:¥1100
-
圖片:
-
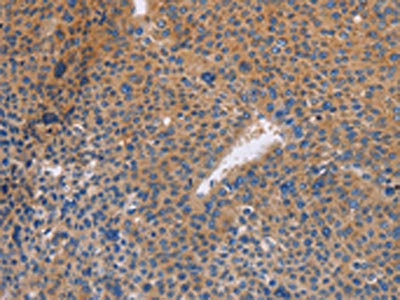
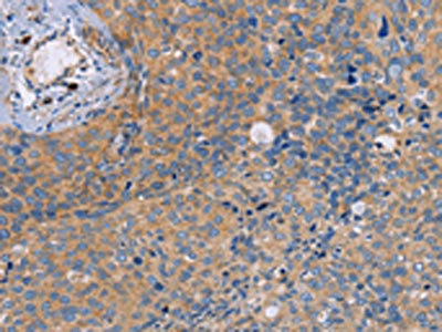
The image on the left is immunohistochemistry of paraffin-embedded Human liver cancer tissue using CSB-PA200941(NEK8 Antibody) at dilution 1/30, on the right is treated with fusion protein. (Original magnification: ×200)
-
The image on the left is immunohistochemistry of paraffin-embedded Human cervical cancer tissue using CSB-PA200941(NEK8 Antibody) at dilution 1/30, on the right is treated with fusion protein. (Original magnification: ×200)
-
-
其他:
產品詳情
-
Uniprot No.:
-
基因名:NEK8
-
別名:JCK antibody; NEK 8 antibody; NEK12A antibody; NEK8 antibody; NEK8_HUMAN antibody; Nephrocystin 9 antibody; Never in mitosis A-related kinase 8 antibody; NIMA (never in mitosis gene a) related kinase 8 antibody; NIMA related kinase 8 antibody; NIMA-family kinase NEK8 antibody; NIMA-related kinase 12a antibody; Nima-related protein kinase 12a antibody; NimA-related protein kinase 8 antibody; NPHP9 antibody; Serine/threonine-protein kinase Nek8 antibody
-
宿主:Rabbit
-
反應種屬:Human,Mouse,Rat
-
免疫原:Fusion protein of Human NEK8
-
免疫原種屬:Homo sapiens (Human)
-
標記方式:Non-conjugated
-
抗體亞型:IgG
-
純化方式:Antigen affinity purification
-
濃度:It differs from different batches. Please contact us to confirm it.
-
保存緩沖液:-20°C, pH7.4 PBS, 0.05% NaN3, 40% Glycerol
-
產品提供形式:Liquid
-
應用范圍:ELISA,IHC
-
推薦稀釋比:
Application Recommended Dilution ELISA 1:1000-1:5000 IHC 1:50-1:200 -
Protocols:
-
儲存條件:Upon receipt, store at -20°C or -80°C. Avoid repeated freeze.
-
貨期:Basically, we can dispatch the products out in 1-3 working days after receiving your orders. Delivery time maybe differs from different purchasing way or location, please kindly consult your local distributors for specific delivery time.
-
用途:For Research Use Only. Not for use in diagnostic or therapeutic procedures.
相關產品
靶點詳情
-
功能:Required for renal tubular integrity. May regulate local cytoskeletal structure in kidney tubule epithelial cells. May regulate ciliary biogenesis through targeting of proteins to the cilia. Plays a role in organogenesis and is involved in the regulation of the Hippo signaling pathway.
-
基因功能參考文獻:
- NEK8 plays a critical role in replication fork stability through its regulation of the DNA repair and replication fork protection protein RAD51. PMID: 27892797
- The mutations: c.2069_2070insC variant (p.Ter693LeufsTer86), and a c.1043C>T variant (p.Thr348Met) in RCC1 domain of NEK8 in two brothers with cardiac, renal, and hepatic anomalies PMID: 26697755
- our study demonstrates that NEK8 human mutations cause major organ developmental defects due to altered ciliogenesis and cell differentiation/proliferation through deregulation of the Hippo pathway PMID: 26967905
- NEK8 may be a new target gene of HIFs; pVHL can down-regulate NEK8 via HIFs to maintain the primary cilia structure in human renal cancer cells PMID: 25451921
- NEK8 is essential for organ development and that the complete loss of NEK8 perturbs multiple signalling pathways resulting in a severe early embryonic phenotype. PMID: 23418306
- Mutation in NEK8 is associated with renal ciliopathies PMID: 23973373
- ANKS6 as a new NPHP family member that assembles a distinct module of nephronophthisis-associated proteins, encompassing NEK8, INVS and NPHP3. PMID: 23793029
- NPHP9 promotes signalling through the transcriptional co-activator TAZ. PMID: 23026745
- study finds that induction of ciliogenesis upon cell cycle exit is accompanied by both activation and proteasomal degradation of Nek8, and that activation is dependent upon phosphorylation within the catalytic domain PMID: 22106379
- Observational study of gene-disease association. (HuGE Navigator) PMID: 21068128
- Data demonstrate for the first time that Nek8 is a novel tumor associated gene, and shares considerable sequence homology with the Nek family of protein kinases and may be involved in G(2)/M progression. PMID: 15019993
- mutations cause nephronophthisis; mutant forms show defects in ciliary localization PMID: 18199800
- characterization of the proteome in mice that have a double point mutation in the related gene. PMID: 15872312
顯示更多
收起更多
-
相關疾病:Nephronophthisis 9 (NPHP9); Renal-hepatic-pancreatic dysplasia 2 (RHPD2)
-
亞細胞定位:Cytoplasm. Cytoplasm, cytoskeleton. Cell projection, cilium. Cytoplasm, cytoskeleton, microtubule organizing center, centrosome.
-
蛋白家族:Protein kinase superfamily, NEK Ser/Thr protein kinase family, NIMA subfamily
-
組織特異性:Highest expression in thyroid, adrenal gland and skin. Low levels in spleen, colon and uterus. Overexpressed in breast tumors, with highest expression in infiltrating ductal carcinomas and moderate levels in mucinous adenocarcinoma.
-
數據庫鏈接:
Most popular with customers
-
-
YWHAB Recombinant Monoclonal Antibody
Applications: ELISA, WB, IHC, IF, FC
Species Reactivity: Human, Mouse, Rat
-
Phospho-YAP1 (S127) Recombinant Monoclonal Antibody
Applications: ELISA, WB, IHC
Species Reactivity: Human
-
-
-
-
-















