NEK1 Antibody
-
中文名稱:NEK1兔多克隆抗體
-
貨號:CSB-PA836281LA01HU
-
規格:¥440
-
圖片:
-
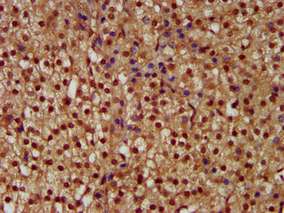
IHC image of CSB-PA836281LA01HU diluted at 1:300 and staining in paraffin-embedded human adrenal gland tissue performed on a Leica BondTM system. After dewaxing and hydration, antigen retrieval was mediated by high pressure in a citrate buffer (pH 6.0). Section was blocked with 10% normal goat serum 30min at RT. Then primary antibody (1% BSA) was incubated at 4°C overnight. The primary is detected by a biotinylated secondary antibody and visualized using an HRP conjugated SP system.
-
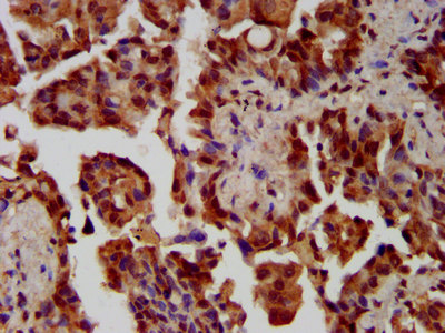
IHC image of CSB-PA836281LA01HU diluted at 1:300 and staining in paraffin-embedded human lung cancer performed on a Leica BondTM system. After dewaxing and hydration, antigen retrieval was mediated by high pressure in a citrate buffer (pH 6.0). Section was blocked with 10% normal goat serum 30min at RT. Then primary antibody (1% BSA) was incubated at 4°C overnight. The primary is detected by a biotinylated secondary antibody and visualized using an HRP conjugated SP system.
-
Immunofluorescence staining of Hela cells with CSB-PA836281LA01HU at 1:100, counter-stained with DAPI. The cells were fixed in 4% formaldehyde, permeabilized using 0.2% Triton X-100 and blocked in 10% normal Goat Serum. The cells were then incubated with the antibody overnight at 4°C. The secondary antibody was Alexa Fluor 488-congugated AffiniPure Goat Anti-Rabbit IgG(H+L).
-
-
其他:
產品詳情
-
產品名稱:Rabbit anti-Homo sapiens (Human) NEK1 Polyclonal antibody
-
Uniprot No.:
-
基因名:NEK1
-
別名:DKFZp686D06121 antibody; DKFZp686K12169 antibody; kat antibody; KIAA1901 antibody; MGC138800 antibody; MGC189817 antibody; NEK1 antibody; NEK1_HUMAN antibody; Never in mitosis A-related kinase 1 antibody; Never in mitosis gene A-related kinase 1 antibody; NIMA (never in mitosis gene a)-related kinase 1 antibody; NIMA-related kinase 1 antibody; NimA-related protein kinase 1 antibody; NY-REN-55 antibody; OTTHUMP00000219432 antibody; OTTHUMP00000219433 antibody; OTTHUMP00000219434 antibody; OTTHUMP00000219435 antibody; Protein-serine/threonine kinase antibody; Renal carcinoma antigen NY-REN-55 antibody; Serine/threonine-protein kinase Nek1 antibody; SRPS2 antibody; SRPS2A antibody; SRTD6 antibody
-
宿主:Rabbit
-
反應種屬:Human
-
免疫原:Recombinant Human Serine/threonine-protein kinase Nek1 protein (626-809AA)
-
免疫原種屬:Homo sapiens (Human)
-
標記方式:Non-conjugated
本頁面中的產品,NEK1 Antibody (CSB-PA836281LA01HU),的標記方式是Non-conjugated。對于NEK1 Antibody,我們還提供其他標記。見下表:
-
克隆類型:Polyclonal
-
抗體亞型:IgG
-
純化方式:>95%, Protein G purified
-
濃度:It differs from different batches. Please contact us to confirm it.
-
保存緩沖液:Preservative: 0.03% Proclin 300
Constituents: 50% Glycerol, 0.01M PBS, pH 7.4 -
產品提供形式:Liquid
-
應用范圍:ELISA, IHC, IF
-
推薦稀釋比:
Application Recommended Dilution IHC 1:200-1:500 IF 1:50-1:200 -
Protocols:
-
儲存條件:Upon receipt, store at -20°C or -80°C. Avoid repeated freeze.
-
貨期:Basically, we can dispatch the products out in 1-3 working days after receiving your orders. Delivery time maybe differs from different purchasing way or location, please kindly consult your local distributors for specific delivery time.
-
用途:For Research Use Only. Not for use in diagnostic or therapeutic procedures.
相關產品
靶點詳情
-
功能:Phosphorylates serines and threonines, but also appears to possess tyrosine kinase activity. Involved in DNA damage checkpoint control and for proper DNA damage repair. In response to injury that includes DNA damage, NEK1 phosphorylates VDAC1 to limit mitochondrial cell death. May be implicated in the control of meiosis. Involved in cilium assembly.
-
基因功能參考文獻:
- We provide novel evidence for association of NEK1 with ALS in Chinese, reporting variants in these genes not previously found in Europeans. PMID: 29149916
- NEK1 variants may modify disease presentation of driving mutations. PMID: 28935222
- Following DNA damage, addition of the TLK1 inhibitor, THD, or overexpression of NEK1-T141A mutant impaired ATR and Chk1 activation, indicating the existence of a TLK1>NEK1>ATR>Chk1 pathway. Indeed, overexpression of the NEK1-T141A mutant resulted in an altered cell cycle response after exposure of cells to oxidative stress, including bypass of G1 arrest and implementation of an intra S-phase checkpoint. PMID: 28426283
- This study shown that the NEK1 is a novel in patient with familial amyotrophic lateral sclerosis. PMID: 26945885
- Mutation in NEK1 gene is associated with amyotrophic lateral sclerosis. PMID: 27455347
- Nek1 phosphorylates Rad54 and regulates Rad51 removal to orchestrate homologous recombination and replication fork stability. PMID: 27264870
- Compound heterozygous variants in NEK1 were identified in two brothers with Mohr syndrome. The nonsense variant c.1226G>A, p.(Trp409*), results in nonsense-associated alternative splicing. Ciliation in patient fibroblasts is drastically reduced. PMID: 27530628
- The skeletal phenotype of our patient was milder than those of previously reported cases with NEK1 mutations and those with axial SMD harboring C21orf2 mutations. Phenotypes associated with NEK1 mutations are variable and the phenotype-genotype corelation in skeletal ciliopathies is challenging PMID: 28123176
- Nek1 overexpression in gliomas was correlated with the proliferation marker (Ki-67), tumor grade, Karnofsky performance scale (KPS) and more importantly, patients' poor survival. Further studies showed that Nek1 expression level was also increased in multiple glioma cell lines (U251-MG, U87-MG, U118, H4 and U373). PMID: 27251576
- C21ORF2 functions in the same pathway as NEK1 in DNA damage repair. PMID: 26290490
- Nek1 may facilitate S-phase progression by interacting with Ku80 and regulating chromatin loading of replication factors. PMID: 23851348
- Nek1 may suppress cilia by phosphorylating pVHL, which is critical to microtubule stabilization and ciliary stability. PMID: 23255108
- as an ATR-associated kinase, Nek1 enhances the stability and activity of ATR-ATRIP before DNA damage, priming ATR-ATRIP for a robust DNA damage response PMID: 23345434
- The present case provides evidence for a correlation of NEK1 mutation with short rib-polydactyly syndrome type II (Majewski. PMID: 22482978
- This study confirms that NEK1 is one gene causing SRP type II but also reports mutations in DYNC2H1, expanding the phenotypic spectrum of DYNC2H1 mutations. PMID: 22499340
- results demonstrate that Nek1 is important for proper checkpoint control and characterize for the first time a DNA damage response that does not directly involve one of the known upstream mediator kinases, ATM or ATR PMID: 21301226
- absence of functional full-length NEK1 severely reduces cilia number and alters ciliar morphology in vivo. PMID: 21211617
- Nek1 is involved in the beginning of the cellular response to genotoxic stress and plays an important role in preventing cell death induced by DNA damage. PMID: 20501547
- Data report that NEK1 and CLASP2 colocalize with FEZ1 in a perinuclear region in mammalian cells, and observed that coiled-coil interactions occur between FEZ1/CLASP2 and FEZ1/NEK1 in vitro. PMID: 19924516
- these data provide a mechanism to explain how Nek1 regulates cell death by affecting the opening and closing of VDAC1. PMID: 20230784
- Mapping studies of NEK1 regulatory domain indicate interaction with most of the proteins known to take part in etiology of polycystic kidney disease, in double-strand DNA break repair at the G2/M cell-cycle transition phase, or in neural cell development. PMID: 14690447
- Nek1 may function as a kinase early in the DNA damage response pathway. PMID: 15604234
- These data show that Nek1 is important for efficient DNA damage checkpoint control and for proper DNA damage repair. PMID: 18843199
顯示更多
收起更多
-
相關疾病:Short-rib thoracic dysplasia 6 with or without polydactyly (SRTD6)
-
亞細胞定位:Nucleus. Cytoplasm, cytoskeleton, microtubule organizing center, centrosome. Cytoplasm.
-
蛋白家族:Protein kinase superfamily, NEK Ser/Thr protein kinase family, NIMA subfamily
-
組織特異性:High fetal expression in the brain and kidney.
-
數據庫鏈接:
Most popular with customers
-
-
YWHAB Recombinant Monoclonal Antibody
Applications: ELISA, WB, IHC, IF, FC
Species Reactivity: Human, Mouse, Rat
-
Phospho-YAP1 (S127) Recombinant Monoclonal Antibody
Applications: ELISA, WB, IHC
Species Reactivity: Human
-
-
-
-
-















