NEFH Antibody
-
中文名稱:NEFH兔多克隆抗體
-
貨號:CSB-PA015686LA01HU
-
規格:¥440
-
圖片:
-
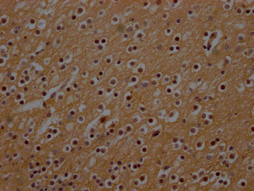
IHC image of CSB-PA015686LA01HU diluted at 1:300 and staining in paraffin-embedded human brain tissue performed on a Leica BondTM system. After dewaxing and hydration, antigen retrieval was mediated by high pressure in a citrate buffer (pH 6.0). Section was blocked with 10% normal goat serum 30min at RT. Then primary antibody (1% BSA) was incubated at 4°C overnight. The primary is detected by a Goat anti-rabbit polymer IgG labeled by HRP and visualized using 0.05% DAB.
-
Immunofluorescence staining of SH-SY5Y cells with CSB-PA015686LA01HU at 1:100, counter-stained with DAPI. The cells were fixed in 4% formaldehyde and blocked in 10% normal Goat Serum. The cells were then incubated with the antibody overnight at 4°C. The secondary antibody was Alexa Fluor 488-congugated AffiniPure Goat Anti-Rabbit IgG(H+L).
-
-
其他:
產品詳情
-
產品名稱:Rabbit anti-Homo sapiens (Human) NEFH Polyclonal antibody
-
Uniprot No.:
-
基因名:
-
別名:200 kDa neurofilament protein antibody; CMT2CC antibody; Nefh antibody; Neurofilament heavy polypeptide 200kDa antibody; Neurofilament heavy polypeptide antibody; Neurofilament triplet H protein antibody; NF H antibody; NF-H antibody; NFH antibody; NFH_HUMAN antibody
-
宿主:Rabbit
-
反應種屬:Human
-
免疫原:Recombinant Human Neurofilament heavy polypeptide protein (825-1003AA)
-
免疫原種屬:Homo sapiens (Human)
-
標記方式:Non-conjugated
本頁面中的產品,NEFH Antibody (CSB-PA015686LA01HU),的標記方式是Non-conjugated。對于NEFH Antibody,我們還提供其他標記。見下表:
-
克隆類型:Polyclonal
-
抗體亞型:IgG
-
純化方式:>95%, Protein G purified
-
濃度:It differs from different batches. Please contact us to confirm it.
-
保存緩沖液:Preservative: 0.03% Proclin 300
Constituents: 50% Glycerol, 0.01M PBS, PH 7.4 -
產品提供形式:Liquid
-
應用范圍:ELISA, IHC, IF
-
推薦稀釋比:
Application Recommended Dilution IHC 1:200-1:500 IF 1:100-1:500 -
Protocols:
-
儲存條件:Upon receipt, store at -20°C or -80°C. Avoid repeated freeze.
-
貨期:Basically, we can dispatch the products out in 1-3 working days after receiving your orders. Delivery time maybe differs from different purchasing way or location, please kindly consult your local distributors for specific delivery time.
-
用途:For Research Use Only. Not for use in diagnostic or therapeutic procedures.
相關產品
靶點詳情
-
功能:Neurofilaments usually contain three intermediate filament proteins: NEFL, NEFM, and NEFH which are involved in the maintenance of neuronal caliber. NEFH has an important function in mature axons that is not subserved by the two smaller NF proteins. May additionally cooperate with the neuronal intermediate filament proteins PRPH and INA to form neuronal filamentous networks.
-
基因功能參考文獻:
- In newborns undergoing cardiac surgery, phosphorylated axonal neurofilament heavy chain was decreased at 0 hours in both the cardiopulmonary bypass and deep hypothermic circulatory arrest groups compared to baseline. PMID: 29945509
- Phosphoneurofilament heavy chain level was higher in ALS patients than in controls PMID: 27538346
- Data suggest that high CSF NfH levels are an early predictor of later brain and spinal cord atrophy in multiple sclerosis patients. PMID: 27207456
- Findings in the dorsolateral prefrontal cortex in schizophrenia provide evidence of altered proteins involved in synaptic function (FABP4), cytoarchitecture organization (NEFH), and circadian molecular clock signaling (CSNK1E), which may be contributing to the cognitive and/or negative symptoms in this disorder. FABP4, CSNK1E and NEFH could become potentially useful biomarkers for schizophrenia. PMID: 27236410
- Unique deletions of two nucleotides causing frameshifts near the end of the NEFH coding sequence were identified in two Charcot-Marie-Tooth disease families. Using electroporation of chick embryo spinal cord, confirmed that NEFH mutants form aggregates in vivo and trigger apoptosis of spinal cord neurons. PMID: 28709447
- This study confirmed the general applicability of the monocentric obtained cut-off values for neurofilamens in ALS, especially for pNfH PMID: 27415180
- data support the use of Cebrospinal fluid phosphorylated NFH as a prognostic biomarker for amyotrophic lateral sclerosis. PMID: 28628244
- Study found a significant correlation between values of 8-hydroxy-2'-deoxyguanosine and phosphorylated NF-H only in clinically isolated syndrome group. While the plasma values of 8-hydroxy-2'-deoxyguanosine reflect the degree of acute demyelination in clinically isolated syndrome, phosphorylated NF-H values reflect that in relapsing-remitting multiple sclerosis. PMID: 27295058
- Results provide evidence that in particular pNfH can be used as a good diagnostic biomarker of ALS at the diagnostic stage. Moreover, results indicate that NfL may be useful in monitoring disease progression in a subset of patients. PMID: 28500227
- Level of neurofilament heavy chain and light chains were significantly elevated in the cerebrospinal fluid of Amyotrophic Lateral Sclerosis (ALS) patients compared to healthy controls/controls without parenchymal central nervous system involvement and ALS mimic disease patients. PMID: 27732645
- Study found a significant increase of pNF-H levels in both plasma and CSF in amyotrophic lateral sclerosis patients PMID: 27423602
- Studied diagnostic Value of Serum Levels of GFAP, pNF-H, and NSE Compared With Clinical Findings in Severity Assessment of Human Traumatic Spinal Cord Injury. PMID: 25341992
- This study demonstrated that Higher NF-L concentrations (beta = -0.26) were associated with functional decline in patients with vascular burden. PMID: 25633679
- Phospho-NFH levels were significantly higher in amyotrophic lateral sclerosis patients in comparison with controls, in particular in fast progressors. PMID: 25261856
- Data identified NEFH methylation as a candidate epigenetic marker for prognosis of RCC patients as well as prediction of anti-vascular endothelial growth factor-based therapy response. PMID: 24464810
- pNFL-H may be useful in determining which individuals require CT imaging to assess the severity of their injury PMID: 25192482
- Subconcussive repetitive trauma in amateur boxing causes a mild traumatic brain injury that may be diagnosed by CSF analysis of expressed pNFH, even without unconsciousness or concussion symptoms. PMID: 24260563
- Absence of axonal neurofilaments in NFH-LacZ transgenic mice compromises axonal regeneration. PMID: 23079625
- In conclusion, pNfH represents a promising candidate for inclusion in a panel of diagnostic and prognostic biomarkers. PMID: 23134506
- CSF and intrathecal levels and CSF/serum ratios of anti-NFH antibodies were increased in the CIS patients early developing multiple sclerosis. PMID: 23632043
- These data support further study of pNF-H in CSF, serum and plasma as a potential amyotrophic lateral sclerosis biomarker PMID: 23117489
- NF-H levels increase significantly faster in children who have a worse Glasgow Outcome Scale following traumatic brain injury, or died. PMID: 21976236
- significant in vivo information on the pathophysiology of stroke may be obtained by the determination of NfH(SMI35). PMID: 21792676
- Serum neurofilament protein H levels were significantly elevated in stroke patients compared to healthy controls. PMID: 21349546
- Data suggest that a deficiency of cellular neuroprotective mechanisms (decrease of sAPP) is linked to progressive neuro-axonal damage (increase of NfH(SMI35)) and to progression of disease. PMID: 21858182
- Data show that RNA interference-mediated knockdown of NEFH accelerated ESCC cell growth in culture and increased tumorigenicity in vivo. PMID: 20140245
- NEFH is phosphorylated at serine 493 by GSK3b PMID: 12130654
- NEFH gene is involved in the pathogenesis of sporadic motor neuron disease PMID: 14722583
- mutations in neurofilaments are possible risk factors that may contribute to pathogenesis in amyotrophic lateral sclerosis in conjunction with one or more additional genetic or environmental factors, but are not significant primary causes PMID: 16084104
- A subgroup of FTD patients had remarkably high CSF levels of NfH. The degree of NfH phosphorylation was increased in FTD compared to both other groups. PMID: 17290105
- Isomerization of lys-ser-pro repeat residues that are abundant in NF-H tail domains by Pin1 can regulate NF-H phosphorylation. PMID: 17626162
- analysis of major neurofilament subunit NF-H levels in blood and cerebrospinal fluid differentiates between patients with poor and favorable outcomes. PMID: 18319731
- Pin1 as a possible modulator of stress-induced NF-H phosphorylation as seen in neurodegenerative disorders like AD and amyotrophic lateral sclerosis PMID: 18635547
- Elevated pNF-H released into the serum of some affected Leber hereditary optic neuropathy patients may suggest that axonal degeneration occurs at some point after loss of visual function. PMID: 19104679
- cerebrospinal fluid phosphorylated forms of neurofilament heavy subunit are not molecular markers of axonal damage for HTLV-1-associated myelopathy/tropical spastic paraparesis (HAM/TSP) probably due to the slow progression of this disease. PMID: 19678766
顯示更多
收起更多
-
相關疾?。?/div>Amyotrophic lateral sclerosis (ALS); Charcot-Marie-Tooth disease 2CC (CMT2CC)亞細胞定位:Cytoplasm, cytoskeleton. Cell projection, axon.蛋白家族:Intermediate filament family數據庫鏈接:
Most popular with customers
-
-
YWHAB Recombinant Monoclonal Antibody
Applications: ELISA, WB, IHC, IF, FC
Species Reactivity: Human, Mouse, Rat
-
Phospho-YAP1 (S127) Recombinant Monoclonal Antibody
Applications: ELISA, WB, IHC
Species Reactivity: Human
-
-
-
-
-















