NEB Antibody
-
中文名稱:NEB兔多克隆抗體
-
貨號:CSB-PA324989LA01HU
-
規格:¥440
-
圖片:
-
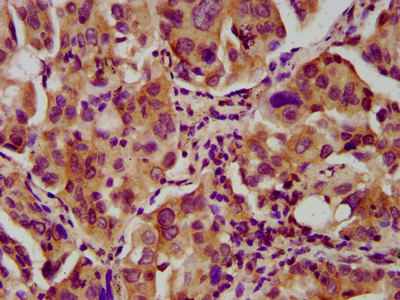
IHC image of CSB-PA324989LA01HU diluted at 1:600 and staining in paraffin-embedded human lung cancer performed on a Leica BondTM system. After dewaxing and hydration, antigen retrieval was mediated by high pressure in a citrate buffer (pH 6.0). Section was blocked with 10% normal goat serum 30min at RT. Then primary antibody (1% BSA) was incubated at 4°C overnight. The primary is detected by a biotinylated secondary antibody and visualized using an HRP conjugated SP system.
-
IHC image of CSB-PA324989LA01HU diluted at 1:600 and staining in paraffin-embedded human skeletal muscle tissue performed on a Leica BondTM system. After dewaxing and hydration, antigen retrieval was mediated by high pressure in a citrate buffer (pH 6.0). Section was blocked with 10% normal goat serum 30min at RT. Then primary antibody (1% BSA) was incubated at 4°C overnight. The primary is detected by a biotinylated secondary antibody and visualized using an HRP conjugated SP system.
-
Immunofluorescence staining of HepG2 cells with CSB-PA324989LA01HU at 1:200, counter-stained with DAPI. The cells were fixed in 4% formaldehyde, permeabilized using 0.2% Triton X-100 and blocked in 10% normal Goat Serum. The cells were then incubated with the antibody overnight at 4°C. The secondary antibody was Alexa Fluor 488-congugated AffiniPure Goat Anti-Rabbit IgG(H+L).
-
-
其他:
產品詳情
-
產品名稱:Rabbit anti-Homo sapiens (Human) NEB Polyclonal antibody
-
Uniprot No.:
-
基因名:NEB
-
別名:DKFZp686C1456 antibody; FLJ11505 antibody; FLJ36536 antibody; FLJ39568 antibody; FLJ39584 antibody; NEB 177D antibody; NEB antibody; NEB177D antibody; NEBU_HUMAN antibody; Nebulin antibody; NEM 2 antibody; NEM2 antibody
-
宿主:Rabbit
-
反應種屬:Human
-
免疫原:Recombinant Human Nebulin protein (245-373AA)
-
免疫原種屬:Homo sapiens (Human)
-
標記方式:Non-conjugated
本頁面中的產品,NEB Antibody (CSB-PA324989LA01HU),的標記方式是Non-conjugated。對于NEB Antibody,我們還提供其他標記。見下表:
-
克隆類型:Polyclonal
-
抗體亞型:IgG
-
純化方式:>95%, Protein G purified
-
濃度:It differs from different batches. Please contact us to confirm it.
-
保存緩沖液:Preservative: 0.03% Proclin 300
Constituents: 50% Glycerol, 0.01M PBS, pH 7.4 -
產品提供形式:Liquid
-
應用范圍:ELISA, IHC, IF
-
推薦稀釋比:
Application Recommended Dilution IHC 1:500-1:1000 IF 1:200-1:500 -
Protocols:
-
儲存條件:Upon receipt, store at -20°C or -80°C. Avoid repeated freeze.
-
貨期:Basically, we can dispatch the products out in 1-3 working days after receiving your orders. Delivery time maybe differs from different purchasing way or location, please kindly consult your local distributors for specific delivery time.
-
用途:For Research Use Only. Not for use in diagnostic or therapeutic procedures.
相關產品
靶點詳情
-
功能:This giant muscle protein may be involved in maintaining the structural integrity of sarcomeres and the membrane system associated with the myofibrils. Binds and stabilize F-actin.
-
基因功能參考文獻:
- NEB gene should be included in genetic panels for fetal akinesia/arthrogryposis multiplex congenital cases. PMID: 27933661
- We examined a Chinese strabismus pedigree with the parents unaffected and 2 offspring affected. Whole-exome sequencing and bioinformatics filtering identified 2 variants including Abelson helper integration site 1 (AHI1) gene and nebulin (NEB) gene. c.A914G mutation was found in nebulin (NEB) gene. PMID: 28391287
- Shorter than normal thin filament length contributes to the impaired force generation in patients with thin filament myopathy, but only in those who harbor specific mutations in NEB or ACTA1. PMID: 27074222
- New NEB mutations were found in 8 of 10 patients with nemaline myopathy. PMID: 27105866
- recurrent NEB TRI copy number variation was found in 13% of the families with nemaline myopathy and in 10% of the controls. PMID: 26197980
- Prominent foot-drop was associated with NEB gene mutations in three patients with core-rod myopathy. PMID: 26403434
- Identified two novel, compound-heterozygous variants in the nebulin gene after a 30 year clinical history, which cause a classical childhood type of nemaline myopathy. PMID: 25740301
- Since the patients are characterized by generalized muscle weakness together with neurodevelopmental phenotypes, it is suggested that NEB mutations could manifest more diverse phenotypes than those previously described. PMID: 25296583
- indicates that nebulin tolerates substantial changes in its amino acid sequence, providing an explanation as to why variants in such a large gene result in relatively rare disorders PMID: 25205138
- Mutations in NEB gene is associated with stress fracture. PMID: 25023003
- This study demonistrated that Muscle histopathology in nebulin-related nemaline myopathy: ultrastrastructural findings correlated to disease severity. PMID: 24725366
- We identify the SH3 domains of nebulin and nebulette as novel ligands of proline-rich regions of Xin and XIRP2 PMID: 23985323
- Data suggest that for some filament-forming desmin mutants, the molecular etiology of desminopathy results from subtle deficiencies in their association with nebulin, a major actin-binding filament protein of striated muscle. PMID: 23615443
- A nebulin-based nemaline myopathy model is characterized in transgenic mice following deletion of exon 55 in nebulin. PMID: 23715096
- Multiple isoforms of nebulin expressed in skeletal muscle and brain may have a role as actin filament stabilizer or length regulator in neurons of the human brain PMID: 22941678
- Ultrasonographic findings suggestive of a myopathy and a carrier state for the NEB exon 55 deletion in one of the parents should trigger a thorough investigation for nemaline. PMID: 22367672
- distal nemaline myopathy caused by four different compound heterozygous nebulin mutations PMID: 21724397
- The mechanics as well as the X-ray diffraction patterns of human membrane-permeabilized single muscle fibers expressing nebulin mutations are reported. PMID: 21350120
- Data revealed markedly reduced nebulin protein levels in muscle from nemaline myopathy patients, whereas levels of other thin filament-based proteins were not significantly altered. PMID: 19944167
- Nebulin regulates thin filament architecture by a mechanism that includes stabilizing the filaments and preventing actin depolymerization. PMID: 20498015
- SH3 domain of nebulin binds selectively to type II peptides: theoretical prediction and experimental validation PMID: 11851340
- Lack of the C-terminal domain of nebulin in a patient with nemaline myopathy. PMID: 11994971
- nebulin colocalizes with desmin in a Z-line-associated, striated pattern, thereby forming a lateral linkage system which contributes to maintain adjacent Z-lines in register as shown by immunofluorescence studies PMID: 12064939
- Mutations caused absence of the C-terminal part of nebulin resulting in severe congenital form of nemaline myopathy. PMID: 12207937
- Nebulin is targeted and oriented through titin and myopalladin signaling during sarcomere assembly PMID: 12482578
- 45 novel mutations within the nubulin gene are associated with nemaline myopathy. PMID: 16917880
- These data suggest that N-terminal superrepeat nebulin modules are incapable of supporting interactions with the cardiac myofilaments; whereas the C-terminal nebulin modules can. PMID: 17275809
- These data suggest a model in which archvillin attaches directly to the Z-line of skeletal muscle through an interaction with the nebulin C-terminus. PMID: 18639526
- In all but two of eight homozygous patients with nebulin mutations, the clinical picture was more severe than in typical nemaline myopathy. PMID: 19232495
- Nebulin is thought to serve as both a length-regulating protein ruler and calcium/calmodulin-mediated regulatory protein on the thin filaments of the skeletal muscle sarcomere. PMID: 11425319
顯示更多
收起更多
Most popular with customers
-
YWHAB Recombinant Monoclonal Antibody
Applications: ELISA, WB, IHC, IF, FC
Species Reactivity: Human, Mouse, Rat
-
Phospho-YAP1 (S127) Recombinant Monoclonal Antibody
Applications: ELISA, WB, IHC
Species Reactivity: Human
-
-
-
-
-
-















