NDUFA6 Antibody
-
中文名稱:NDUFA6兔多克隆抗體
-
貨號:CSB-PA015631EA01HU
-
規格:¥440
-
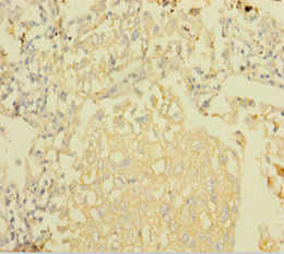
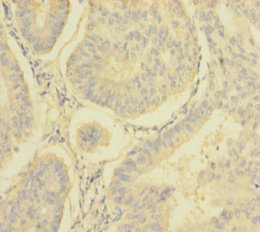
圖片:
-
其他:
產品詳情
-
產品名稱:Rabbit anti-Homo sapiens (Human) NDUFA6 Polyclonal antibody
-
Uniprot No.:
-
基因名:
-
別名:B14 antibody; CI-B14 antibody; complex I B14 subunit antibody; Complex I-B14 antibody; LYR motif-containing protein 6 antibody; LYRM6 antibody; NADH dehydrogenase (ubiquinone) 1 alpha subcomplex, 6 (14kD, B14) antibody; NADH dehydrogenase (ubiquinone) 1 alpha subcomplex, 6, 14kDa antibody; NADH dehydrogenase [ubiquinone] 1 alpha subcomplex subunit 6 antibody; NADH-ubiquinone oxidoreductase 1 alpha subcomplex, 6 antibody; NADH-ubiquinone oxidoreductase B14 subunit antibody; NADHB14 antibody; NDUA6_HUMAN antibody; NDUFA6 antibody
-
宿主:Rabbit
-
反應種屬:Human
-
免疫原:Recombinant Human NADH dehydrogenase [ubiquinone] 1 alpha subcomplex subunit 6 protein (27-154AA)
-
免疫原種屬:Homo sapiens (Human)
-
標記方式:Non-conjugated
本頁面中的產品,NDUFA6 Antibody (CSB-PA015631EA01HU),的標記方式是Non-conjugated。對于NDUFA6 Antibody,我們還提供其他標記。見下表:
-
克隆類型:Polyclonal
-
抗體亞型:IgG
-
純化方式:>95%, Protein G purified
-
濃度:It differs from different batches. Please contact us to confirm it.
-
保存緩沖液:Preservative: 0.03% Proclin 300
Constituents: 50% Glycerol, 0.01M PBS, PH 7.4 -
產品提供形式:Liquid
-
應用范圍:ELISA, IHC
-
推薦稀釋比:
Application Recommended Dilution IHC 1:20-1:200 -
Protocols:
-
儲存條件:Upon receipt, store at -20°C or -80°C. Avoid repeated freeze.
-
貨期:Basically, we can dispatch the products out in 1-3 working days after receiving your orders. Delivery time maybe differs from different purchasing way or location, please kindly consult your local distributors for specific delivery time.
-
用途:For Research Use Only. Not for use in diagnostic or therapeutic procedures.
相關產品
靶點詳情
-
功能:Accessory subunit of the mitochondrial membrane respiratory chain NADH dehydrogenase (Complex I), that is believed to be not involved in catalysis. Required for proper complex I assembly. Complex I functions in the transfer of electrons from NADH to the respiratory chain. The immediate electron acceptor for the enzyme is believed to be ubiquinone.
-
亞細胞定位:Mitochondrion inner membrane; Peripheral membrane protein; Matrix side.
-
蛋白家族:Complex I LYR family
-
數據庫鏈接:
Most popular with customers
-
-
YWHAB Recombinant Monoclonal Antibody
Applications: ELISA, WB, IHC, IF, FC
Species Reactivity: Human, Mouse, Rat
-
Phospho-YAP1 (S127) Recombinant Monoclonal Antibody
Applications: ELISA, WB, IHC
Species Reactivity: Human
-
-
-
-
-















