NDNL2 Antibody
-
中文名稱:NDNL2兔多克隆抗體
-
貨號:CSB-PA977374
-
規格:¥1100
-
圖片:
-
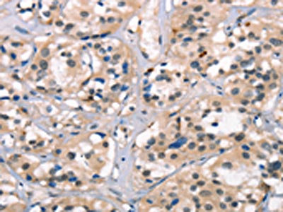
The image on the left is immunohistochemistry of paraffin-embedded Human gastic cancer tissue using CSB-PA977374(NDNL2 Antibody) at dilution 1/40, on the right is treated with synthetic peptide. (Original magnification: ×200)
-
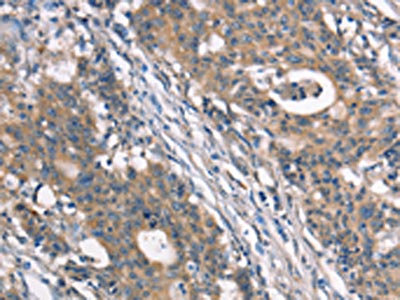
The image on the left is immunohistochemistry of paraffin-embedded Human thyroid cancer tissue using CSB-PA977374(NDNL2 Antibody) at dilution 1/40, on the right is treated with synthetic peptide. (Original magnification: ×200)
-
Gel: 10%SDS-PAGE, Lysate: 40 μg, Lane 1-3: Mouse liver tissue, A172 cells, human prostate tissue, Primary antibody: CSB-PA977374(NDNL2 Antibody) at dilution 1/1500, Secondary antibody: Goat anti rabbit IgG at 1/8000 dilution, Exposure time: 1 minute
-
-
其他:
產品詳情
-
Uniprot No.:
-
基因名:NSMCE3
-
別名:NSMCE3 antibody; HCA4 antibody; MAGEG1 antibody; NDNL2 antibody; Non-structural maintenance of chromosomes element 3 homolog antibody; Non-SMC element 3 homolog antibody; Hepatocellular carcinoma-associated protein 4 antibody; MAGE-G1 antigen antibody; Melanoma-associated antigen G1 antibody; Necdin-like protein 2 antibody
-
宿主:Rabbit
-
反應種屬:Human,Mouse
-
免疫原:Synthetic peptide of Human NDNL2
-
免疫原種屬:Homo sapiens (Human)
-
標記方式:Non-conjugated
-
抗體亞型:IgG
-
純化方式:Antigen affinity purification
-
濃度:It differs from different batches. Please contact us to confirm it.
-
保存緩沖液:-20°C, pH7.4 PBS, 0.05% NaN3, 40% Glycerol
-
產品提供形式:Liquid
-
應用范圍:ELISA,WB,IHC
-
推薦稀釋比:
Application Recommended Dilution ELISA 1:2000-1:5000 WB 1:500-1:2000 IHC 1:25-1:100 -
Protocols:
-
儲存條件:Upon receipt, store at -20°C or -80°C. Avoid repeated freeze.
-
貨期:Basically, we can dispatch the products out in 1-3 working days after receiving your orders. Delivery time maybe differs from different purchasing way or location, please kindly consult your local distributors for specific delivery time.
-
用途:For Research Use Only. Not for use in diagnostic or therapeutic procedures.
相關產品
靶點詳情
-
功能:Component of the SMC5-SMC6 complex, a complex involved in repair of DNA double-strand breaks by homologous recombination. The complex may promote sister chromatid homologous recombination by recruiting the SMC1-SMC3 cohesin complex to double-strand breaks. The complex is required for telomere maintenance via recombination in ALT (alternative lengthening of telomeres) cell lines and mediates sumoylation of shelterin complex (telosome) components which is proposed to lead to shelterin complex disassembly in ALT-associated PML bodies (APBs). In vitro enhances ubiquitin ligase activity of NSMCE1. Proposed to act through recruitment and/or stabilization of the Ubl-conjugating enzyme (E2) at the E3:substrate complex. May be a growth suppressor that facilitates the entry of the cell into cell cycle arrest.
-
基因功能參考文獻:
- NSMCE3 (also known as NDNL2) gene encodes a subunit of the SMC5/6 complex that is essential for DNA damage response and chromosome segregation PMID: 27427983
- gene expression, imprinting, and chromosome mapping of NDNL2 PMID: 11782285
- The four non-SMC components of the human complex were identified and characterized and it was demonstrated that the MAGEG1 protein is part of this complex. PMID: 18086888
-
相關疾病:Lung disease, immunodeficiency, and chromosome breakage syndrome (LICS)
-
亞細胞定位:Cytoplasm. Nucleus. Chromosome, telomere.
-
組織特異性:Ubiquitous.
-
數據庫鏈接:
Most popular with customers
-
YWHAB Recombinant Monoclonal Antibody
Applications: ELISA, WB, IHC, IF, FC
Species Reactivity: Human, Mouse, Rat
-
Phospho-YAP1 (S127) Recombinant Monoclonal Antibody
Applications: ELISA, WB, IHC
Species Reactivity: Human
-
-
-
-
-
-















