NDN Antibody
-
中文名稱:NDN兔多克隆抗體
-
貨號:CSB-PA859515LA01HU
-
規格:¥440
-
圖片:
-
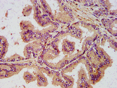
IHC image of CSB-PA859515LA01HU diluted at 1:400 and staining in paraffin-embedded human prostate tissue performed on a Leica BondTM system. After dewaxing and hydration, antigen retrieval was mediated by high pressure in a citrate buffer (pH 6.0). Section was blocked with 10% normal goat serum 30min at RT. Then primary antibody (1% BSA) was incubated at 4°C overnight. The primary is detected by a biotinylated secondary antibody and visualized using an HRP conjugated SP system.
-
Immunofluorescence staining of Hela cells with CSB-PA859515LA01HU at 1:133, counter-stained with DAPI. The cells were fixed in 4% formaldehyde, permeabilized using 0.2% Triton X-100 and blocked in 10% normal Goat Serum. The cells were then incubated with the antibody overnight at 4°C. The secondary antibody was Alexa Fluor 488-congugated AffiniPure Goat Anti-Rabbit IgG(H+L).
-
-
其他:
產品詳情
-
產品名稱:Rabbit anti-Homo sapiens (Human) NDN Polyclonal antibody
-
Uniprot No.:
-
基因名:NDN
-
別名:HsT16328 antibody; NDN antibody; NECD_HUMAN antibody; Necdin antibody; Necdin homolog antibody; Necdin MAGE family member antibody; necdin related protein antibody; PWCR antibody
-
宿主:Rabbit
-
反應種屬:Human
-
免疫原:Recombinant Human Necdin protein (1-98AA)
-
免疫原種屬:Homo sapiens (Human)
-
標記方式:Non-conjugated
本頁面中的產品,NDN Antibody (CSB-PA859515LA01HU),的標記方式是Non-conjugated。對于NDN Antibody,我們還提供其他標記。見下表:
-
克隆類型:Polyclonal
-
抗體亞型:IgG
-
純化方式:>95%, Protein G purified
-
濃度:It differs from different batches. Please contact us to confirm it.
-
保存緩沖液:Preservative: 0.03% Proclin 300
Constituents: 50% Glycerol, 0.01M PBS, pH 7.4 -
產品提供形式:Liquid
-
應用范圍:ELISA, IHC, IF
-
推薦稀釋比:
Application Recommended Dilution IHC 1:200-1:500 IF 1:50-1:200 -
Protocols:
-
儲存條件:Upon receipt, store at -20°C or -80°C. Avoid repeated freeze.
-
貨期:Basically, we can dispatch the products out in 1-3 working days after receiving your orders. Delivery time maybe differs from different purchasing way or location, please kindly consult your local distributors for specific delivery time.
-
用途:For Research Use Only. Not for use in diagnostic or therapeutic procedures.
相關產品
靶點詳情
-
功能:Growth suppressor that facilitates the entry of the cell into cell cycle arrest. Functionally similar to the retinoblastoma protein it binds to and represses the activity of cell-cycle-promoting proteins such as SV40 large T antigen, adenovirus E1A, and the transcription factor E2F. Necdin also interacts with p53 and works in an additive manner to inhibit cell growth. Functions also as transcription factor and binds directly to specific guanosine-rich DNA sequences.
-
基因功能參考文獻:
- the single-nucleotide polymorphism rs850807, which is putatively functional and linked with MAGEL2 and NDN Genetic variation in rs850807 was strongly and exclusively associated with the ideas of reference subscale of the schizophrenia spectrum, which is best typified as paranoia PMID: 29343559
- this study shows that hypermethylation of NDN promotes cell proliferation by activating the Wnt signaling pathway in colorectal cancer PMID: 28521288
- One candidate variant was located in an alpha helix of Necdin (NDN), phased to the paternally inherited allele. NDN is maternally imprinted within the 15q11.2 Prader-Willi Syndrome (PWS) region PMID: 28213671
- NDN is an imprinted tumor suppressor gene which affects cancer cell motility, invasion and growth and that its loss of function in ovarian cancer can be caused by both genetic and epigenetic mechanisms. PMID: 26689988
- Germline single nucleotide polymorphism in necdin gene is associated with breast cancer. PMID: 26384308
- NDN and CD1A are novel prognostic methylation markers in patients with head and neck squamous carcinomas PMID: 26518708
- Necdin expression declined during replicative aging of IMR90 primary human fibroblasts or after induction of premature senescence.Showed that in normal human cells, Necdin expression mimicked the effect of p53 inactivation by increasing radioresistance. PMID: 22691188
- Hypermethylation and mutation of necdin is associated with neoplasms. PMID: 23549060
- necdin exerts its pro-survival activity by counteracting the action of the pro-apoptotic protein Cell Cycle Apoptosis Regulatory Protein (CCAR1/CARP1) PMID: 22905258
- necdin has multiple roles within protein complexes in different subcellular compartments, and indicate that it can utilize multiple karyopherin-dependent pathways to modulate its localization. PMID: 22442722
- In pre-adipocytes, necdin over-expression inhibits adipogenesis, while reducing necdin levels enhances adipogenic differentiation in tissue culture cell PMID: 22305984
- Necdin, a negative growth regulator,identified as a novel STAT3 target gene, whose expression is down-regulated at the mRNA and protein levels when STAT3 is constitutively active. PMID: 22046235
- Necdin is implicated through the TNF-receptor 1 pathway in the developmental death of motoneuron PMID: 21912643
- rare variant of necdin (p.V318A) was described in a family with Kallmann syndrome Familial segregation and in vitro analysis suggested that this non-synonymous variant did not have a direct causative role in hypogonadism phenotype. PMID: 21543378
- Data suggest that the effects of necdin deletion on the developing nervous system may depend on the relative expression of p75NTR and TrkA in the cells of particular regions of the nervous system. PMID: 21150695
- Necdin is a key protein regulating polarization of the cytoskeleton and myosin activation during development. PMID: 20665884
- The necdin gene is imprinted, with preferential expression from the paternal allele in human and mouse. PMID: 9302265
- the constitutively up-regulated expression of pre-IL-1 alpha in the nuclei of systemic sclerosis (SSc) fibroblasts up-regulates proliferation and matrix production of SSC fibroblasts through binding necdin PMID: 12913118
- Tissue-specific gene expression regulation and imprinted epigenetic modifications of the human NDN gene. PMID: 15247330
- Necdin can be a novel negative regulator of HIF-1alpha stability via the direct interaction. PMID: 15978586
- Lack of Necdin expression induces perinatal serotonergic alterations that affect the maturation and function of the respiratory network, inducing breathing deficits in mice and probably in Prader-Willi patients. PMID: 18272695
- Data suggest that Nogo-A is a novel necdin binding protein and inhibits necdin-accelerated neuronal neurite outgrowth by sequestering necdin in the cytoplasm. PMID: 19386232
- regulates neuronal development. (review) PMID: 19517793
- Confirmation of NDN as a tumor suppressor may have implications for monitoring of PWS patients and could present a novel cancer therapeutic target PMID: 19626646
顯示更多
收起更多
-
亞細胞定位:Perikaryon. Nucleus. Note=Neural perikarya, translocates to the nucleus of postmitotic neurons and interacts with the nuclear matrix.
-
組織特異性:Almost ubiquitous. Detected in fetal brain, lung, liver and kidney; in adult heart, brain, placenta, lung, liver, skeletal muscle, kidney, pancreas, spleen, thymus, prostate, testis, ovary, small intestine and colon. Not detected in peripheral blood leuko
-
數據庫鏈接:
Most popular with customers
-
-
YWHAB Recombinant Monoclonal Antibody
Applications: ELISA, WB, IHC, IF, FC
Species Reactivity: Human, Mouse, Rat
-
Phospho-YAP1 (S127) Recombinant Monoclonal Antibody
Applications: ELISA, WB, IHC
Species Reactivity: Human
-
-
-
-
-















