NDE1 Antibody
-
中文名稱:NDE1兔多克隆抗體
-
貨號:CSB-PA889142DSR2HU
-
規格:¥440
-
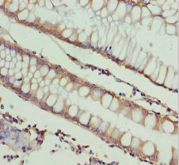
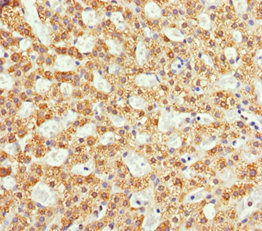
圖片:
-
其他:
產品詳情
-
產品名稱:Rabbit anti-Homo sapiens (Human) NDE1 Polyclonal antibody
-
Uniprot No.:
-
基因名:NDE1
-
別名:FLJ20101 antibody; HOM TES 87 antibody; LIS1 interacting protein NUDE1 rat homolog antibody; LIS1 interacting protein NUDE1 antibody; LIS4 antibody; NDE 1 antibody; NDE1 antibody; NDE1_HUMAN antibody; Nuclear distribution gene E homolog 1 antibody; Nuclear distribution protein nudE homolog 1 antibody; NUDE 1 antibody; NudE antibody; NudE nuclear distribution gene E homolog 1 (A. nidulans) antibody; NudE nuclear distribution gene E homolog 1 antibody; NUDE1 antibody
-
宿主:Rabbit
-
反應種屬:Human
-
免疫原:Recombinant Human Nuclear distribution protein nudE homolog 1 protein (1-110AA)
-
免疫原種屬:Homo sapiens (Human)
-
標記方式:Non-conjugated
-
克隆類型:Polyclonal
-
抗體亞型:IgG
-
純化方式:Antigen Affinity Purified
-
濃度:It differs from different batches. Please contact us to confirm it.
-
保存緩沖液:PBS with 0.02% sodium azide, 50% glycerol, pH7.3.
-
產品提供形式:Liquid
-
應用范圍:ELISA, IHC
-
推薦稀釋比:
Application Recommended Dilution IHC 1:20-1:200 -
Protocols:
-
儲存條件:Upon receipt, store at -20°C or -80°C. Avoid repeated freeze.
-
貨期:Basically, we can dispatch the products out in 1-3 working days after receiving your orders. Delivery time maybe differs from different purchasing way or location, please kindly consult your local distributors for specific delivery time.
-
用途:For Research Use Only. Not for use in diagnostic or therapeutic procedures.
相關產品
靶點詳情
-
功能:Required for centrosome duplication and formation and function of the mitotic spindle. Essential for the development of the cerebral cortex. May regulate the production of neurons by controlling the orientation of the mitotic spindle during division of cortical neuronal progenitors of the proliferative ventricular zone of the brain. Orientation of the division plane perpendicular to the layers of the cortex gives rise to two proliferative neuronal progenitors whereas parallel orientation of the division plane yields one proliferative neuronal progenitor and a post-mitotic neuron. A premature shift towards a neuronal fate within the progenitor population may result in an overall reduction in the final number of neurons and an increase in the number of neurons in the deeper layers of the cortex.
-
基因功能參考文獻:
- Our results show how evolutionary changes in cis as well as trans acting signals have played a fundamental role in determining NDE1 species specific splicing isoforms supporting the notion that alternative splicing plays a central role in human genome evolution, and possibly human cognitive predominance. PMID: 28266585
- the severity of NDE1-associated microcephaly results not from defects in mitosis, but rather the inability of neural progenitors to ever reach this stage PMID: 27553190
- Variation at the NDE1 locus may alter risk of mental illness, in part through modification of miR-484. NDE1 SNP rs2242549 associates with significant changes in gene expression of DISC1 network. PMID: 29142105
- NDE1/Lissencephaly 1 and dynactin complexes separately mediate two key components of T cell-focused secretion, namely translocation of the MTOC and lytic granules to the IS, respectively. PMID: 27534551
- Results indicate that the NAGK-dynein interaction with the involvements of Lis1 and NudE1 plays an important role in prophase nuclear envelope breakdown (NEB) and metaphase MT-KT attachment during eukaryotic cell division. PMID: 27646688
- Promoter system of NDE1, which produces three distinct transcripts, each encoding for the same full-length NDE1 protein (also known as NudE), was cloned and tested in human cell lines; results highlight and clone the promoter elements required to generate systems in which the NDE1 protein is exogenously expressed under its native promoter, providing a biologically relevant model of 16p13.11 duplication in mental illness PMID: 26975893
- Interaction between NDE1 and high birth weight was associated with increased susceptibility to schizophrenia. PMID: 26350705
- study strengthens the evidence for association between rare variants within NDE1 and schizophrenia, and may shed light into the molecular mechanisms underlying this severe psychiatric disorder. PMID: 25332407
- These data show that cell cycle-dependent mechanisms can control ciliary length through a CDK5-FBW7-NDE1 pathway. PMID: 26206584
- study provided comprehensive documentation of the expression patterns of Nde1 and Ndel1 in cultured cells as well as in mouse and human brains, and also highlighting that dosage effects of these two proteins might contribute to some cases of mental disorder PMID: 24785679
- Description of a severe microcephaly syndrome where an autosomal recessive condition combines an inherited segmental duplication mediated deletion with a mutation in the NDE1 gene within the non-deleted homolog. PMID: 23704059
- In three related patients with microhydranencephaly, a homozygous deletion that encompasses NDE1 exon 2 containing the initiation codon was identified. PMID: 22526350
- analysis of mixed NDE1-NDEL1 complexes demonstrates that NDE1 and NDEL1 can interact directly. PMID: 22843697
- Mutually exclusive cytoplasmic dynein regulation by NudE-Lis1 and dynactin. PMID: 21911489
- NDE1 mutations cause a severe microlissencephaly syndrome. Patient's NDE1 proteins are unstable, cannot bind cytoplasmic dynein, and do not localize properly to the centrosome. PMID: 21529751
- NDE1 deficiency causes both a severe failure of neurogenesis and a deficiency in cortical lamination PMID: 21529752
- The NDE1 gene is disrupted by the inv(16) in 90% of cases with CBFB-MYH11-positive acute myeloid leukemia. PMID: 20072148
- NDE1 and NDEL1 act upstream of LIS1 in dynein recruitment, and/or activation, on the membrane. PMID: 20048338
- LIS1 deficiency adversely affects the migration and differentiation of DCX- and Reelin-positive neurons. PMID: 12427674
- study of the properties of NudE in mitosis; comparative studies suggest that NudE is functionally related to its paralog, Nudel PMID: 12556484
- Nudel is seen to differentially associate with mitochondrial markers in comparison to DISC1. Disruption of the cytoskeleton results in colocalization of Nudel and mitochondrial markers--the first observation of such a direct relationship. PMID: 15797709
- findings indicate that Nde1 can form a protein complex with Su48 in the centrosome and plays an important role for successful mitosis PMID: 16682949
- Two additional loci displayed an evidence of linkage (LOD > 3) and included a locus on 16p13, proximal to the gene encoding NDE1, which has been shown to biologically interact with DISC1. PMID: 17185386
- required for kinetochore localization of dynein; suppression of Nde1 inhibits metaphase chromosome alignment and activates the spindle checkpoint PMID: 17600710
- We failed to find the association between the NDE1 gene and schizophrenia in the Japanese population. PMID: 18178387
- These findings reveal a novel regulatory mechanism of vimentin transport during neurite extension that may have implications in diseases featuring transport/trafficking defects and impaired regeneration. PMID: 18303022
- NO direct relationship between NDE1 genotype and schizophrenia. PMID: 18469341
- NDE1, NDEL1 and LIS1, together with their binding partner dynein, associate with DISC1, PDE4B and PDE4D within the cell, and provide evidence that this complex is present at the centrosome. PMID: 18983980
顯示更多
收起更多
-
相關疾?。?/div>Lissencephaly 4 (LIS4); Microhydranencephaly (MHAC)亞細胞定位:Cytoplasm, cytoskeleton. Cytoplasm, cytoskeleton, microtubule organizing center, centrosome. Chromosome, centromere, kinetochore. Cytoplasm, cytoskeleton, spindle. Cleavage furrow. Note=Localizes to the interphase and S phase centrosome. During mitosis, partially associated with the mitotic spindle. Concentrates at the plus ends of microtubules coincident with kinetochores in metaphase and anaphase in a CENPF-dependent manner. Also localizes to the cleavage furrow during cytokinesis. manner. Also localizes to the cleavage furrow during cytokinesis.蛋白家族:NudE family組織特異性:Expressed in the neuroepithelium throughout the developing brain, including the cerebral cortex and cerebellum.數據庫鏈接:
Most popular with customers
-
-
YWHAB Recombinant Monoclonal Antibody
Applications: ELISA, WB, IHC, IF, FC
Species Reactivity: Human, Mouse, Rat
-
Phospho-YAP1 (S127) Recombinant Monoclonal Antibody
Applications: ELISA, WB, IHC
Species Reactivity: Human
-
-
-
-
-















