NDC1 Antibody
-
中文名稱:NDC1兔多克隆抗體
-
貨號:CSB-PA874808LA01HU
-
規格:¥440
-
圖片:
-
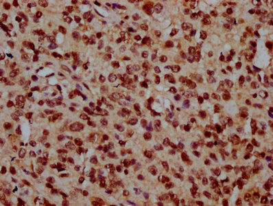
IHC image of CSB-PA874808LA01HU diluted at 1:300 and staining in paraffin-embedded human glioma performed on a Leica BondTM system. After dewaxing and hydration, antigen retrieval was mediated by high pressure in a citrate buffer (pH 6.0). Section was blocked with 10% normal goat serum 30min at RT. Then primary antibody (1% BSA) was incubated at 4°C overnight. The primary is detected by a biotinylated secondary antibody and visualized using an HRP conjugated SP system.
-
-
其他:
產品詳情
-
產品名稱:Rabbit anti-Homo sapiens (Human) NDC1 Polyclonal antibody
-
Uniprot No.:
-
基因名:NDC1
-
別名:NDC1; TMEM48; Nucleoporin NDC1; hNDC1; Transmembrane protein 48
-
宿主:Rabbit
-
反應種屬:Human
-
免疫原:Recombinant Human Nucleoporin NDC1 protein (385-517AA)
-
免疫原種屬:Homo sapiens (Human)
-
標記方式:Non-conjugated
本頁面中的產品,NDC1 Antibody (CSB-PA874808LA01HU),的標記方式是Non-conjugated。對于NDC1 Antibody,我們還提供其他標記。見下表:
-
克隆類型:Polyclonal
-
抗體亞型:IgG
-
純化方式:>95%, Protein G purified
-
濃度:It differs from different batches. Please contact us to confirm it.
-
保存緩沖液:Preservative: 0.03% Proclin 300
Constituents: 50% Glycerol, 0.01M PBS, pH 7.4 -
產品提供形式:Liquid
-
應用范圍:ELISA, IHC
-
推薦稀釋比:
Application Recommended Dilution IHC 1:200-1:500 -
Protocols:
-
儲存條件:Upon receipt, store at -20°C or -80°C. Avoid repeated freeze.
-
貨期:Basically, we can dispatch the products out in 1-3 working days after receiving your orders. Delivery time maybe differs from different purchasing way or location, please kindly consult your local distributors for specific delivery time.
-
用途:For Research Use Only. Not for use in diagnostic or therapeutic procedures.
相關產品
靶點詳情
-
功能:Component of the nuclear pore complex (NPC), which plays a key role in de novo assembly and insertion of NPC in the nuclear envelope. Required for NPC and nuclear envelope assembly, possibly by forming a link between the nuclear envelope membrane and soluble nucleoporins, thereby anchoring the NPC in the membrane.
-
基因功能參考文獻:
- miR-421 can suppress TMEM48 so that leads the non-small cancer cell lines (A549) to apoptosis. PMID: 29906465
- In mature human spermatozoa, SEPT12 and NDC1 are majorly colocalized in the centrosome regions; however, NDC1 is only slightly co-expressed with SEPT12 at the annulus of the sperm tail. PMID: 27854341
- The biological relevance of TMEM48 in NSCLC progression. PMID: 26392108
- Human homologue NDC1/NET3 contains three FG repeats in the C-terminus, a feature of many nuclear pore proteins. PMID: 16779818
- NDC1-mediated localization of ALADIN to nuclear pore complexes is essential for selective nuclear protein import; abrogation of the interaction between ALADIN and NDC1 may be important for the development of triple-A syndrome. PMID: 19703420
- ALADIN is anchored in the nuclear envelope via NDC1 and that this interaction gets lost, if ALADIN is mutated. PMID: 19782045
顯示更多
收起更多
-
亞細胞定位:Nucleus, nuclear pore complex. Nucleus membrane; Multi-pass membrane protein. Note=Central core structure of the nuclear pore complex.
-
蛋白家族:NDC1 family
-
數據庫鏈接:
Most popular with customers
-
-
YWHAB Recombinant Monoclonal Antibody
Applications: ELISA, WB, IHC, IF, FC
Species Reactivity: Human, Mouse, Rat
-
Phospho-YAP1 (S127) Recombinant Monoclonal Antibody
Applications: ELISA, WB, IHC
Species Reactivity: Human
-
-
-
-
-















