NCK1 Antibody
-
中文名稱:NCK1兔多克隆抗體
-
貨號:CSB-PA056855
-
規格:¥1100
-
圖片:
-
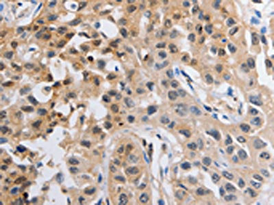
The image on the left is immunohistochemistry of paraffin-embedded Human lung cancer tissue using CSB-PA056855(NCK1 Antibody) at dilution 1/20, on the right is treated with fusion protein. (Original magnification: ×200)
-
The image on the left is immunohistochemistry of paraffin-embedded Human brain tissue using CSB-PA056855(NCK1 Antibody) at dilution 1/20, on the right is treated with fusion protein. (Original magnification: ×200)
-
Gel: 10%SDS-PAGE, Lysate: 40 μg, Lane: Hela cells, Primary antibody: CSB-PA056855(NCK1 Antibody) at dilution 1/350, Secondary antibody: Goat anti rabbit IgG at 1/8000 dilution, Exposure time: 1 minute
-
-
其他:
產品詳情
-
Uniprot No.:
-
基因名:
-
別名:Cytoplasmic protein NCK1 antibody; Melanoma Nck protein antibody; MGC12668 antibody; NCK 1 antibody; NCK adaptor protein 1 antibody; NCK alpha antibody; NCK antibody; NCK tyrosine kinase antibody; Nck-1 antibody; NCK1 antibody; NCK1_HUMAN antibody; NCKalpha antibody; Non catalytic region of tyrosine kinase antibody; SH2/SH3 adaptor protein NCK alpha antibody; SH2/SH3 adaptor protein NCK-alpha antibody
-
宿主:Rabbit
-
反應種屬:Human,Mouse
-
免疫原:Fusion protein of Human NCK1
-
免疫原種屬:Homo sapiens (Human)
-
標記方式:Non-conjugated
-
抗體亞型:IgG
-
純化方式:Antigen affinity purification
-
濃度:It differs from different batches. Please contact us to confirm it.
-
保存緩沖液:-20°C, pH7.4 PBS, 0.05% NaN3, 40% Glycerol
-
產品提供形式:Liquid
-
應用范圍:ELISA,WB,IHC
-
推薦稀釋比:
Application Recommended Dilution ELISA 1:2000-1:5000 WB 1:500-1:2000 IHC 1:10-1:50 -
Protocols:
-
儲存條件:Upon receipt, store at -20°C or -80°C. Avoid repeated freeze.
-
貨期:Basically, we can dispatch the products out in 1-3 working days after receiving your orders. Delivery time maybe differs from different purchasing way or location, please kindly consult your local distributors for specific delivery time.
-
用途:For Research Use Only. Not for use in diagnostic or therapeutic procedures.
相關產品
靶點詳情
-
功能:Adapter protein which associates with tyrosine-phosphorylated growth factor receptors, such as KDR and PDGFRB, or their cellular substrates. Maintains low levels of EIF2S1 phosphorylation by promoting its dephosphorylation by PP1. Plays a role in the DNA damage response, not in the detection of the damage by ATM/ATR, but for efficient activation of downstream effectors, such as that of CHEK2. Plays a role in ELK1-dependent transcriptional activation in response to activated Ras signaling. Modulates the activation of EIF2AK2/PKR by dsRNA. May play a role in cell adhesion and migration through interaction with ephrin receptors.
-
基因功能參考文獻:
- There was no difference in the Nck1 mRNA expression between the SLE patients and the healthy subjects. PMID: 29911835
- this study highlights an important role for Nck1 in fine-tuning IRE1alpha expression and signaling that regulate PTP1B expression and subsequent activation of the PI3K-Akt pathway in HepG2 cells. PMID: 28455143
- These findings suggest a novel STAT3 to NCK1 to PAK1/ERK signaling mechanism that is potentially critical for colorectal cancer metastasis and angiogenesis. PMID: 28455144
- Authors provide evidence that Nck is an upstream regulator of RhoA-dependent, MMP14-mediated breast carcinoma cell invasion. PMID: 28954862
- Nck1 and Nck2 Interact with WTIP. Nck1/2 integrates nephrin with the Hippo kinase cascade through association with the adaptor protein WTIP. PMID: 27033705
- Results demonstrate that Nck acts as an important hub integrating angiogenic cues with cytoskeletal changes that enable endothelial apical-basal polarization and lumen formation. PMID: 26157164
- the binding of Nck to the TCR requires partial phosphorylation of CD3epsilon, as it is based on two cooperating interactions. PMID: 26590318
- Nck was the most potent activator of N-WASP-driven actin assembly. PMID: 26554011
- TSAD binds to and co-localizes with Nck. Expression of TSAD increases both Nck-Lck and Nck-SLP-76 interaction in T cells. PMID: 26163016
- these data identify Nck as an important mediator of oxidative stress-induced inflammation and a potential therapeutic target for ischemia/reperfusion injury. PMID: 25714462
- Nck1 depletion induces activation of the PI3K/Akt pathway by attenuating PTP1B protein expression PMID: 25398386
- Tir-Intimin interaction recruits the Nck adaptor to a Tir tyrosine phosphorylated residue where it activates neural Wiskott-Aldrich syndrome protein (N-WASP). PMID: 25482634
- biochemical reconstitution on supported lipid bilayers of protein clusters containing the adhesion receptor Nephrin and its cytoplasmic partners, Nck and N-WASP, is reported. PMID: 25321392
- SDF1alpha-induced interaction of the adapter proteins Nck and HS1 facilitates actin polymerization and migration in T cells. PMID: 25359136
- These results identify a new domain of CE that is specific to its function in cytoplasmic capping, and a new role for Nck1 in regulating gene expression through its role as the scaffold for assembly of the cytoplasmic capping complex. PMID: 25137142
- Nck ubiquitylation might serve as a mechanism controlling Nck-mediated effector functions during cellular activation PMID: 25218436
- the present study characterized a novel Nck-1-ELMO1 interaction and defined a new role for Nck-1 in regulating Rac1 activity. PMID: 24928514
- Proteasomal degradation of Nck1 but not Nck2 regulates RhoA activation and actin dynamics. PMID: 24287595
- Our observations suggest that ITSN1 is an important general regulator of Cdc42-, Nck- and N-WASP-dependent actin polymerisation PMID: 24284073
- we have optimized the GST-Nck1-SH2 pull-down procedure to obtain tyrosine-phosphorylated proteins in tumor tissues PMID: 23426619
- Depletion of the adaptor protein NCK increases UV-induced p53 phosphorylation and promotes apoptosis. PMID: 24086708
- ADAP and Nck adapter proteins cooperatively facilitate T cell adhesion to the LFA-1 ligand ICAM-1. PMID: 24769494
- that Nck recruitment to the TCR is fundamental to mount an efficient T cell response in vivo, and that the Nck-CD3epsilon interaction may represent a target for pharmacological modulation of the immune response. PMID: 24470497
- OSU-03012 and lapatinib co-treatment is an effective combination therapy, which functions to enhance cell killing through the Nck1/eIF2 complex PMID: 23706161
- The study identifies Nck as a key coordinator of cytoskeletal changes that enable cell polarization and directional migration, which are crucial processes in development and disease. PMID: 23444376
- NCK1 plays a pivotal role in integrating endoplasmic reticulum stress signals on cancer cell survival. PMID: 23448571
- The results suggest that MNT, via interaction with Nck1, inhibits hepatoma cell migration. PMID: 22964333
- LRFN4 complexed with 14-3-3s and NCK1 to mediate elongation in monocytic cells via Rac-1-mediated actin cytoskeleton reorganization PMID: 22677168
- both T cell activation and the association between SLP-76 and Nck. After T cell receptor stimulation, SLP-76 was phosphorylated, which enabled the binding of Nck. PMID: 22534133
- The results indicate that the density of Nck molecules in aggregates is a critical determinant of actin polymerization. PMID: 22613834
- the negative loop on p38 is mediated by c-ABL phosphorylation at tyrosine 105 of the adaptor protein NCK1, while the phosphorylation at tyrosine 209 of GRB2 down-modulates ERK1/2 and JNKs signaling. PMID: 22327338
- Decreased Nck1 protein in Jurkat T cells resulted in an impairment of TCR-CD3-mediated activation involving a defective Erk phosphorylation pathway. PMID: 22132889
- Adapter protein Nck sequesters PAK1 in the cytoplasm and that coexpression of both PAK1 and Nck inhibits the amplifying effect of PRL-induced PAK1 on cyclin D1 promoter activity. PMID: 21719533
- Nck1 association with RasGAP depends on cell adhesion to the substrate. PMID: 21664272
- Studies reveal for the first time that the adaptor protein Dock/Nck attenuates insulin signalling by recruiting PTP61F/PTP1B to its substrate, the IR. PMID: 21707536
- Nck1 is an adaptor protein composed of 3 N-terminal SH3 domains followed by a unique Cterminal SH2 domain. It plays a role in cell migration, cell adhesion, actin polymerization, stress responses and cell survival. It is implicated in melanoma. Review. PMID: 21880263
- Nck1 activates RasGAP by direct binding in the substrate-attached but not in the suspended cells. PMID: 21664272
- a functional cooperation between Nck and ADAP in stabilizing the recruitment of WASp to SLP76 regulates actin rearrangement. PMID: 21536650
- Nck1 specifically localizes to invadopodia, but not to podosomes formed in macrophages or degradative structures formed in Src-transformed fibroblasts and PMA-stimulated endothelial cells. PMID: 20850195
- Mass spectrometry analysis revealed a group of Nck1 SH2 domain-binding proteins that were differentially expressed in HCC. One of these proteins, dermcidin (DCD). PMID: 21397687
- Results define the composition, stoichiometry and specificity of interactions in the SLP-76, Nck and VAV1 complex, which is crucial for regulation of the actin machinery after T-cell activation. PMID: 20562827
- The novel ponsin isoform and its interaction with Nck1/2 provide exciting insight into the convergence of signalling pathways at the costameres, and its crucial role for skeletal muscle differentiation and re-generation. PMID: 20129698
- The results show that Bcr-Abl regulates the actin cytoskeleton and non-apoptotic membrane blebbing via a GADS/Slp-76/Nck1 adaptor protein pathway. PMID: 20079431
- Modulation of protein translation by Nck-1. PMID: 11959995
- Grb2 and Nck act cooperatively to promote actin-based motility of vaccinia virus PMID: 12007418
- The association of NCK with Wiskott-Aldrich syndrome protein is associated with cell migration in stromal cell-derived factor-1alpha-stimulated Jurkat cells PMID: 12135674
- Mechanism of regulation of WAVE1-induced actin nucleation by Rac1 and Nck: we propose that Rac1 and Nck cause dissociation of the WAVE1 complex, which releases active WAVE1-HSPC300 and leads to actin nucleation. PMID: 12181570
- the interaction of the betaPIX.WASP.SPIN90 complex with Nck is crucial for stable cell adhesion and can be dynamically modulated by SPIN90 phosphorylation that is dependent on cell adhesion and ERK activation PMID: 14559906
- Data show that clustering of Nck by a 12-residue Tir phosphopeptide is sufficient to trigger localized actin assembly. PMID: 14757753
- Nck and Crk mediate distinct VEGF-induced signaling pathways that serve overlapping functions in cell migration. PMID: 15051508
顯示更多
收起更多
-
亞細胞定位:Cytoplasm. Endoplasmic reticulum. Nucleus. Note=Mostly cytoplasmic, but shuttles between the cytoplasm and the nucleus. Import into the nucleus requires the interaction with SOCS7. Predominantly nuclear following genotoxic stresses, such as UV irradiation, hydroxyurea or mitomycin C treatments.
-
數據庫鏈接:
Most popular with customers
-
-
Phospho-YAP1 (S127) Recombinant Monoclonal Antibody
Applications: ELISA, WB, IHC
Species Reactivity: Human
-
-
-
-
-
-















