NCF4 Antibody
-
中文名稱:NCF4兔多克隆抗體
-
貨號:CSB-PA617999LA01HU
-
規格:¥440
-
圖片:
-
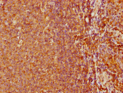
IHC image of CSB-PA617999LA01HU diluted at 1:500 and staining in paraffin-embedded human tonsil tissue performed on a Leica BondTM system. After dewaxing and hydration, antigen retrieval was mediated by high pressure in a citrate buffer (pH 6.0). Section was blocked with 10% normal goat serum 30min at RT. Then primary antibody (1% BSA) was incubated at 4°C overnight. The primary is detected by a biotinylated secondary antibody and visualized using an HRP conjugated SP system.
-
Immunofluorescence staining of MCF-7 cells with CSB-PA617999LA01HU at 1:166, counter-stained with DAPI. The cells were fixed in 4% formaldehyde, permeabilized using 0.2% Triton X-100 and blocked in 10% normal Goat Serum. The cells were then incubated with the antibody overnight at 4°C. The secondary antibody was Alexa Fluor 488-congugated AffiniPure Goat Anti-Rabbit IgG(H+L).
-
-
其他:
產品詳情
-
產品名稱:Rabbit anti-Homo sapiens (Human) NCF4 Polyclonal antibody
-
Uniprot No.:
-
基因名:
-
別名:CGD3 antibody; MGC3810 antibody; NCF 4 antibody; NCF antibody; NCF-4 antibody; Ncf4 antibody; NCF4_HUMAN antibody; Neutrophil cytosol factor 4 antibody; Neutrophil cytosolic factor 4 antibody; Neutrophil NADPH oxidase factor 4 antibody; p40-phox antibody; p40phox antibody; SH3 and PX domain-containing protein 4 antibody; SH3PXD4 antibody
-
宿主:Rabbit
-
反應種屬:Human
-
免疫原:Recombinant Human Neutrophil cytosol factor 4 protein (136-239AA)
-
免疫原種屬:Homo sapiens (Human)
-
標記方式:Non-conjugated
本頁面中的產品,NCF4 Antibody (CSB-PA617999LA01HU),的標記方式是Non-conjugated。對于NCF4 Antibody,我們還提供其他標記。見下表:
-
克隆類型:Polyclonal
-
抗體亞型:IgG
-
純化方式:>95%, Protein G purified
-
濃度:It differs from different batches. Please contact us to confirm it.
-
保存緩沖液:Preservative: 0.03% Proclin 300
Constituents: 50% Glycerol, 0.01M PBS, pH 7.4 -
產品提供形式:Liquid
-
應用范圍:ELISA, IHC, IF
-
推薦稀釋比:
Application Recommended Dilution IHC 1:500-1:1000 IF 1:50-1:200 -
Protocols:
-
儲存條件:Upon receipt, store at -20°C or -80°C. Avoid repeated freeze.
-
貨期:Basically, we can dispatch the products out in 1-3 working days after receiving your orders. Delivery time maybe differs from different purchasing way or location, please kindly consult your local distributors for specific delivery time.
-
用途:For Research Use Only. Not for use in diagnostic or therapeutic procedures.
相關產品
靶點詳情
-
功能:Component of the NADPH-oxidase, a multicomponent enzyme system responsible for the oxidative burst in which electrons are transported from NADPH to molecular oxygen, generating reactive oxidant intermediates. It may be important for the assembly and/or activation of the NADPH-oxidase complex.
-
基因功能參考文獻:
- NCF4 polymorphism was associated with Crohn's disease, but not ulcerative colitis in Caucasian--{REVIEW} PMID: 26289093
- NCF4 may induce ex- pression of NADPH oxidase enzymes, such as p67phox, p47phox, p22phox and NOX2, which lead to increased ROS levels. PMID: 24378533
- Germline variation in NCF4, an innate immunity gene, is associated with an increased risk of colorectal cancer. PMID: 23982929
- The contribution of the functionally relevant NADPH polymorphisms rs1883112 and rs4673 to anthracycline-related heart lesions provides a plausible explanation for their modulation of cardiotoxicity. PMID: 23576480
- Constitutive and inducible intracellular production of reactive oxygen species (ROS) is higher in B cells expressing functional p40phox, supporting a direct role for p40phox in regulating B cell intracellular ROS generation. PMID: 22984083
- Genome-wide association studies-reported associations between the NELL1, NCF4, and FAM92B genes and susceptibility to Crohn's disease could not be replicated in Canadian children and young adults. PMID: 21472827
- Younger age at diagnosis, complicated disease behavior, and ileal disease location are risk factors for perianal CD. First report of an association of the NCF4 gene with perianal disease. PMID: 22158027
- cooperation of p40(phox) with p47(phox) for Nox2-based NADPH oxidase activation during Fcgamma receptor (FcgammaR)-mediated phagocytosis PMID: 21956105
- Results demonstrate that PBEF can prime for PMN respiratory burst activity by promoting p40 and p47 translocation to the membrane. PMID: 21518975
- no association between SNP rs4821544 and the presence of granulomas in Crohn's disease PMID: 21122541
- cytosolic localisation depends on direct interaction with F-actin PMID: 20637895
- All mutations and some polymorphisms identified in the NCF4 gene in the autosomal forms of chronic granulomatous disease are listed. Review. PMID: 20167518
- p40(phox) functions primarily to regulate Fc gamma receptor-induced NADPH oxidase activity rather than assembly, and stimulates superoxide production via a phosphatidylinositol-3-phosphate signal that increases after phagosome internalization. PMID: 18711001
- Involvement of protein kinase D in Fc gamma-receptor activation of the NADPH oxidase in neutrophils PMID: 11903052
- Multiple PU.1 sites cooperate in the regulation of p40(phox) transcription during granulocytic differentiation of myeloid cells. PMID: 12036891
- p40phox and p47phox PX domains interact with PI-containing membranes PMID: 12556460
- A model is proposed in which phosphorylation of p40PHOX on threonine 154 leads to an inhibitory conformation that shifts the balance toward an inhibitory role and blocks NADPH oxidase activation. PMID: 15035643
- review of p40phox role in NADPH oxidase dynamics and possible non-NADPH oxidase processes in phagocytic and non-phagocytic cells PMID: 16102984
- This study identifies a role for p40(phox) and PI(3)P in coupling FcgammaR-mediated phagocytosis to activation of the NADPH oxidase. PMID: 16880255
- analysis of the dual regulatory mechanism through the PX domain of p40(phox): its interaction with the actin cytoskeleton may stabilize NADPH oxidase in resting cells, and binding of PtdIns (3)P potentiates superoxide production upon agonist stimulation PMID: 17698849
- In Swedish men with rheumatoid arthritis there were several single nucleotide polymorphisms identified in NCF4. PMID: 17897462
- This study has confirmed NCF4 and IRGM are risk factors for ileal Crohn's disease in New Zealand Caucasians. PMID: 18580884
- Class III PI3K Vps34 is responsible for the synthesis of PtdIns(3)P on phagosomes containing either S aureus or E coli. PtdIns(3)P binding to p40(phox) is important for CD18-dependent activation oxidase activation in response to S aureus and E coli PMID: 18755982
- regulates activity of NADPH oxidase which generates superoxide production in neutrophils. (review) PMID: 18807499
- p40(phox) binding to PtdIns(3)P is essential for phagocytosis-induced oxidant production in human neutrophils and its absence can be associated with disease. PMID: 19692703
顯示更多
收起更多
-
相關疾病:Granulomatous disease, chronic, cytochrome-b-positive 3, autosomal recessive (CGD3)
-
亞細胞定位:Cytoplasm, cytosol. Endosome membrane; Peripheral membrane protein; Cytoplasmic side. Membrane; Peripheral membrane protein.
-
組織特異性:Expression is restricted to hematopoietic cells.
-
數據庫鏈接:
Most popular with customers
-
-
YWHAB Recombinant Monoclonal Antibody
Applications: ELISA, WB, IHC, IF, FC
Species Reactivity: Human, Mouse, Rat
-
Phospho-YAP1 (S127) Recombinant Monoclonal Antibody
Applications: ELISA, WB, IHC
Species Reactivity: Human
-
-
-
-
-















