NCAPD3 Antibody
-
中文名稱:NCAPD3兔多克隆抗體
-
貨號:CSB-PA874494
-
規格:¥1100
-
圖片:
-
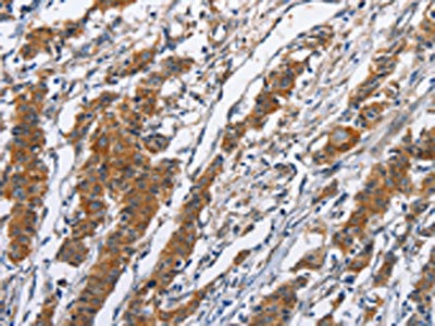
The image on the left is immunohistochemistry of paraffin-embedded Human gastic cancer tissue using CSB-PA874494(NCAPD3 Antibody) at dilution 1/50, on the right is treated with fusion protein. (Original magnification: ×200)
-
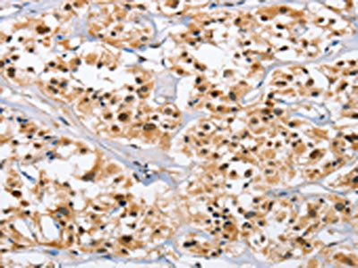
The image on the left is immunohistochemistry of paraffin-embedded Human thyroid cancer tissue using CSB-PA874494(NCAPD3 Antibody) at dilution 1/50, on the right is treated with fusion protein. (Original magnification: ×200)
-
-
其他:
產品詳情
-
Uniprot No.:
-
基因名:NCAPD3
-
別名:CAP D3 antibody; CAPD 3 antibody; CAPD3 antibody; CNDD3_HUMAN antibody; Condensin II complex subunit D3 antibody; Condensin-2 complex subunit D3 antibody; FLJ42888 antibody; hCAP-D3 antibody; Hcp 6 antibody; Hcp6 antibody; hHCP 6 antibody; hHCP6 antibody; KIAA0056 antibody; MGC104671 antibody; NCAPD 3 antibody; Ncapd3 antibody; Non SMC condensin II complex subunit D3 antibody; Non-SMC condensin II complex subunit D3 antibody; OTTHUMP00000235403 antibody; OTTHUMP00000235404 antibody
-
宿主:Rabbit
-
反應種屬:Human
-
免疫原:Fusion protein of Human NCAPD3
-
免疫原種屬:Homo sapiens (Human)
-
標記方式:Non-conjugated
-
抗體亞型:IgG
-
純化方式:Antigen affinity purification
-
濃度:It differs from different batches. Please contact us to confirm it.
-
保存緩沖液:-20°C, pH7.4 PBS, 0.05% NaN3, 40% Glycerol
-
產品提供形式:Liquid
-
應用范圍:ELISA,IHC
-
推薦稀釋比:
Application Recommended Dilution ELISA 1:2000-1:5000 IHC 1:50-1:200 -
Protocols:
-
儲存條件:Upon receipt, store at -20°C or -80°C. Avoid repeated freeze.
-
貨期:Basically, we can dispatch the products out in 1-3 working days after receiving your orders. Delivery time maybe differs from different purchasing way or location, please kindly consult your local distributors for specific delivery time.
-
用途:For Research Use Only. Not for use in diagnostic or therapeutic procedures.
相關產品
靶點詳情
-
功能:Regulatory subunit of the condensin-2 complex, a complex which establishes mitotic chromosome architecture and is involved in physical rigidity of the chromatid axis. May promote the resolution of double-strand DNA catenanes (intertwines) between sister chromatids. Condensin-mediated compaction likely increases tension in catenated sister chromatids, providing directionality for type II topoisomerase-mediated strand exchanges toward chromatid decatenation. Specifically required for decatenation of centromeric ultrafine DNA bridges during anaphase. Early in neurogenesis, may play an essential role to ensure accurate mitotic chromosome condensation in neuron stem cells, ultimately affecting neuron pool and cortex size.
-
基因功能參考文獻:
- Condensin II(CAP-D3 and CAP-H2) and GAIT subunits associate with L1 RNA in a co-dependent manner, independent of IFN-gamma. These findings suggest that cooperation between the Condensin II and GAIT complexes may facilitate a novel mechanism of L1 repression, thus contributing to the maintenance of genome stability in somatic cells PMID: 29028794
- CAP-D3 down-regulates transcription of genes that encode amino acid transporters (SLC7A5 and SLC3A2) to promote bacterial autophagy by colon epithelial cells. PMID: 25701737
- The initial phase of chromosome condensation requires Cdk1-mediated phosphorylation of the CAP-D3 subunit of condensin II. PMID: 21498573
- hCAP-D3 is a new biomarker for subtype-1 prostate tumors that improves prognostication. PMID: 18223322
- We show here that protein phosphatase 2A (PP2A), which interacts with condensin II but not condensin I, plays an essential role in targeting condensin II to chromosomes. PMID: 19915589
- The CAP-D3 subunit of the condensin II complex implicated in chromosome assembly and segeregation PMID: 14532007
顯示更多
收起更多
-
亞細胞定位:Nucleus.
-
數據庫鏈接:
Most popular with customers
-
-
YWHAB Recombinant Monoclonal Antibody
Applications: ELISA, WB, IHC, IF, FC
Species Reactivity: Human, Mouse, Rat
-
Phospho-YAP1 (S127) Recombinant Monoclonal Antibody
Applications: ELISA, WB, IHC
Species Reactivity: Human
-
-
-
-
-















