NAIF1 Antibody
-
中文名稱:NAIF1兔多克隆抗體
-
貨號:CSB-PA089095
-
規格:¥1100
-
圖片:
-
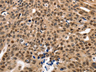
The image on the left is immunohistochemistry of paraffin-embedded Human ovarian cancer tissue using CSB-PA089095(NAIF1 Antibody) at dilution 1/60, on the right is treated with fusion protein. (Original magnification: ×200)
-
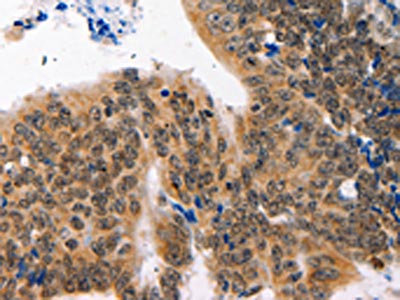
The image on the left is immunohistochemistry of paraffin-embedded Human colon cancer tissue using CSB-PA089095(NAIF1 Antibody) at dilution 1/60, on the right is treated with fusion protein. (Original magnification: ×200)
-
Gel: 12%SDS-PAGE, Lysate: 30 μg, Lane: 293T cells, Primary antibody: CSB-PA089095(NAIF1 Antibody) at dilution 1/750, Secondary antibody: Goat anti rabbit IgG at 1/8000 dilution, Exposure time: 1 minute
-
-
其他:
產品詳情
-
Uniprot No.:
-
基因名:NAIF1
-
別名:bA379C10.2 antibody; C9orf90 antibody; chromosome 9 open reading frame 90 antibody; Naif1 antibody; NAIF1_HUMAN antibody; Nuclear apoptosis-inducing factor 1 antibody; RP11-379C10.2 antibody
-
宿主:Rabbit
-
反應種屬:Human,Mouse
-
免疫原:Fusion protein of Human NAIF1
-
免疫原種屬:Homo sapiens (Human)
-
標記方式:Non-conjugated
-
抗體亞型:IgG
-
純化方式:Antigen affinity purification
-
濃度:It differs from different batches. Please contact us to confirm it.
-
保存緩沖液:-20°C, pH7.4 PBS, 0.05% NaN3, 40% Glycerol
-
產品提供形式:Liquid
-
應用范圍:ELISA,WB,IHC
-
推薦稀釋比:
Application Recommended Dilution ELISA 1:2000-1:5000 WB 1:500-1:2000 IHC 1:50-1:200 -
Protocols:
-
儲存條件:Upon receipt, store at -20°C or -80°C. Avoid repeated freeze.
-
貨期:Basically, we can dispatch the products out in 1-3 working days after receiving your orders. Delivery time maybe differs from different purchasing way or location, please kindly consult your local distributors for specific delivery time.
-
用途:For Research Use Only. Not for use in diagnostic or therapeutic procedures.
相關產品
靶點詳情
-
功能:Induces apoptosis.
-
基因功能參考文獻:
- MiR-24 acted as an oncomir, at least partially through regulation of its functional target NAIF1 in non-small cell lung cancer. PMID: 25725584
- NAIF1 plays a role in regulating cellular migration and invasion through the MAPK pathways and may function as a tumor suppressor in the progression of gastric carcinoma. PMID: 25432142
- NAIF1 is down-regulated in gastric cancer. PMID: 21286669
- NAIF1 (C9orf90)is a nuclear protein that induces apoptosis when overexpressed PMID: 16378748
- The functions of two transposon-derived human proteins: HARBI1, a domesticated transposase-derived protein, and NAIF1, which contains a trihelix motif similar to that described in the Myb-like protein, was investigated. PMID: 18339812
顯示更多
收起更多
-
亞細胞定位:Nucleus.
-
蛋白家族:NAIF1 family
-
組織特異性:Widely expressed.
-
數據庫鏈接:
Most popular with customers
-
-
YWHAB Recombinant Monoclonal Antibody
Applications: ELISA, WB, IHC, IF, FC
Species Reactivity: Human, Mouse, Rat
-
Phospho-YAP1 (S127) Recombinant Monoclonal Antibody
Applications: ELISA, WB, IHC
Species Reactivity: Human
-
-
-
-
-















