MYOZ1 Antibody
-
中文名稱:MYOZ1兔多克隆抗體
-
貨號:CSB-PA554071
-
規格:¥1100
-
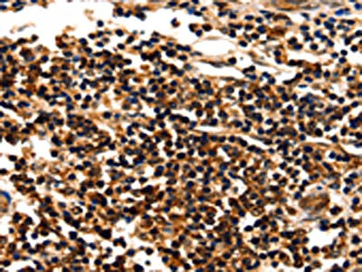
圖片:
-
The image on the left is immunohistochemistry of paraffin-embedded Human liver cancer tissue using CSB-PA554071(MYOZ1 Antibody) at dilution 1/25, on the right is treated with fusion protein. (Original magnification: ×200)
-
Gel: 10+12%SDS-PAGE, Lysate: 40 μg, Lane: Mouse muscle tissue, Primary antibody: CSB-PA554071(MYOZ1 Antibody) at dilution 1/500, Secondary antibody: Goat anti rabbit IgG at 1/8000 dilution, Exposure time: 1 second
-
-
其他:
產品詳情
-
Uniprot No.:
-
基因名:MYOZ1
-
別名:actinin- and telethonin-binding protein antibody; Calsarcin 2 antibody; Calsarcin-2 antibody; CS 2 antibody; FATZ antibody; Filamin, actinin and telethonin binding protein antibody; Filamin- antibody; MYOZ antibody; MYOZ1 antibody; MYOZ1_HUMAN antibody; Myozenin-1 antibody; Protein FATZ antibody
-
宿主:Rabbit
-
反應種屬:Human,Mouse
-
免疫原:Fusion protein of Human MYOZ1
-
免疫原種屬:Homo sapiens (Human)
-
標記方式:Non-conjugated
-
抗體亞型:IgG
-
純化方式:Antigen affinity purification
-
濃度:It differs from different batches. Please contact us to confirm it.
-
保存緩沖液:-20°C, pH7.4 PBS, 0.05% NaN3, 40% Glycerol
-
產品提供形式:Liquid
-
應用范圍:ELISA,WB,IHC
-
推薦稀釋比:
Application Recommended Dilution ELISA 1:2000-1:5000 WB 1:500-1:2000 IHC 1:25-1:100 -
Protocols:
-
儲存條件:Upon receipt, store at -20°C or -80°C. Avoid repeated freeze.
-
貨期:Basically, we can dispatch the products out in 1-3 working days after receiving your orders. Delivery time maybe differs from different purchasing way or location, please kindly consult your local distributors for specific delivery time.
-
用途:For Research Use Only. Not for use in diagnostic or therapeutic procedures.
相關產品
靶點詳情
-
功能:Myozenins may serve as intracellular binding proteins involved in linking Z-disk proteins such as alpha-actinin, gamma-filamin, TCAP/telethonin, LDB3/ZASP and localizing calcineurin signaling to the sarcomere. Plays an important role in the modulation of calcineurin signaling. May play a role in myofibrillogenesis.
-
基因功能參考文獻:
- Our results implicate MYOZ1 as the causative gene at the chromosome 10q22 locus for AF. PMID: 24177373
- Our findings provide evidence for a novel connection between the Z-disc protein calsarcin-2 and the sarcolemma via filamins and beta1 integrins. PMID: 16076904
- Mutations in PDLIM3 and MYOZ1, encoding myocyte Z line proteins, do not play any significant role in the genetic etiology of idiopathic DCM. PMID: 17254821
- A large number of variations were found in many of the genes (myozenin 1, gamma-filamin, kinectin-1) in patients with limb-girdle muscular dystrophies and controls. PMID: 19472918
-
亞細胞定位:Nucleus. Cell projection, pseudopodium. Note=Localized to the nucleus and pseudopodia of undifferentiated cells and detected throughout the myotubes of differentiated cells. Colocalizes with ACTN2, FLNC and MYOT at the Z-lines of skeletal muscle.
-
蛋白家族:Myozenin family
-
組織特異性:Expressed primarily in skeletal muscle. Detected at lower levels in heart, prostate and pancreas.
-
數據庫鏈接:
Most popular with customers
-
-
YWHAB Recombinant Monoclonal Antibody
Applications: ELISA, WB, IHC, IF, FC
Species Reactivity: Human, Mouse, Rat
-
Phospho-YAP1 (S127) Recombinant Monoclonal Antibody
Applications: ELISA, WB, IHC
Species Reactivity: Human
-
-
-
-
-















