MYO1E Antibody
-
中文名稱:MYO1E兔多克隆抗體
-
貨號:CSB-PA621526LA01HU
-
規格:¥440
-
圖片:
-
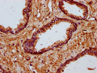
IHC image of CSB-PA621526LA01HU diluted at 1:700 and staining in paraffin-embedded human prostate tissue performed on a Leica BondTM system. After dewaxing and hydration, antigen retrieval was mediated by high pressure in a citrate buffer (pH 6.0). Section was blocked with 10% normal goat serum 30min at RT. Then primary antibody (1% BSA) was incubated at 4°C overnight. The primary is detected by a biotinylated secondary antibody and visualized using an HRP conjugated SP system.
-
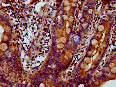
IHC image of CSB-PA621526LA01HU diluted at 1:700 and staining in paraffin-embedded human small intestine tissue performed on a Leica BondTM system. After dewaxing and hydration, antigen retrieval was mediated by high pressure in a citrate buffer (pH 6.0). Section was blocked with 10% normal goat serum 30min at RT. Then primary antibody (1% BSA) was incubated at 4°C overnight. The primary is detected by a biotinylated secondary antibody and visualized using an HRP conjugated SP system.
-
-
其他:
產品詳情
-
產品名稱:Rabbit anti-Homo sapiens (Human) MYO1E Polyclonal antibody
-
Uniprot No.:
-
基因名:MYO1E
-
別名:FSGS6 antibody; HuncM-IC antibody; MYO1C antibody; Myo1e antibody; MYO1E variant protein antibody; MYO1E_HUMAN antibody; Myosin heavy chain myr 3 antibody; Myosin IC, formerly antibody; Myosin IE antibody; Myosin-Ic antibody; Myr 3 antibody; Myr3 antibody; MYR5 antibody; Unconventional myosin 1E antibody; Unconventional myosin Ie antibody; Unconventional myosin-Ie antibody
-
宿主:Rabbit
-
反應種屬:Human
-
免疫原:Recombinant Human Unconventional myosin-Ie protein (62-189AA)
-
免疫原種屬:Homo sapiens (Human)
-
標記方式:Non-conjugated
本頁面中的產品,MYO1E Antibody (CSB-PA621526LA01HU),的標記方式是Non-conjugated。對于MYO1E Antibody,我們還提供其他標記。見下表:
-
克隆類型:Polyclonal
-
抗體亞型:IgG
-
純化方式:>95%, Protein G purified
-
濃度:It differs from different batches. Please contact us to confirm it.
-
保存緩沖液:Preservative: 0.03% Proclin 300
Constituents: 50% Glycerol, 0.01M PBS, pH 7.4 -
產品提供形式:Liquid
-
應用范圍:ELISA, IHC
-
推薦稀釋比:
Application Recommended Dilution IHC 1:500-1:1000 -
Protocols:
-
儲存條件:Upon receipt, store at -20°C or -80°C. Avoid repeated freeze.
-
貨期:Basically, we can dispatch the products out in 1-3 working days after receiving your orders. Delivery time maybe differs from different purchasing way or location, please kindly consult your local distributors for specific delivery time.
-
用途:For Research Use Only. Not for use in diagnostic or therapeutic procedures.
相關產品
靶點詳情
-
功能:Myosins are actin-based motor molecules with ATPase activity. Unconventional myosins serve in intracellular movements. Their highly divergent tails bind to membranous compartments, which are then moved relative to actin filaments. Binds to membranes containing anionic phospholipids via its tail domain. Required for normal morphology of the glomerular basement membrane, normal development of foot processes by kidney podocytes and normal kidney function. In dendritic cells, may control the movement of class II-containing cytoplasmic vesicles along the actin cytoskeleton by connecting them with the actin network via ARL14EP and ARL14.
-
基因功能參考文獻:
- our data suggests that MYO1E contributes to breast tumor malignancy and regulates the differentiation and proliferation state of breast tumor cells. PMID: 27329840
- The ERK signaling pathway thus promotes cell motility through regulation of the subcellular localization of Myo1E. PMID: 27502487
- Coinheritance of COL4A5 and MYO1E mutations accentuate the severity of kidney disease. PMID: 25739341
- Myo1e is a key component contributing to the functional integrity of podocytes. PMID: 23977349
- MYO1E mutations are not a major cause of Chinese familial Steroid-resistant nephrotic syndrome. PMID: 24750828
- Homozygosity mapping and exome sequencing in a consanguineous kindred identified MYO1E and NEIL1 as novel candidate genes for human autosomal recessive steroid-resistant nephrotic syndrome. PMID: 21697813
- MYO1E mutations are associated with childhood-onset, glucocorticoid-resistant focal segmental glomerulosclerosis. PMID: 21756023
- myo1e binds lipids through nonspecific electrostatic interactions rather than a stereospecific protein-phosphoinositide interaction. PMID: 20860408
- The kinetic mechanism of Myo1e (human myosin-IC). PMID: 11940582
- Two proteins with prominent functions in endocytosis, synaptojanin-1 and dynamin, bind to the SH3 domain of human Myo1E. PMID: 17257598
顯示更多
收起更多
-
相關疾病:Focal segmental glomerulosclerosis 6 (FSGS6)
-
亞細胞定位:Cytoplasm. Cytoplasm, cytoskeleton. Cytoplasmic vesicle. Cytoplasmic vesicle, clathrin-coated vesicle. Cell junction.
-
蛋白家族:TRAFAC class myosin-kinesin ATPase superfamily, Myosin family
-
組織特異性:Expressed in the immune system. In the kidney, predominantly expressed in the glomerulus, including podocytes.
-
數據庫鏈接:
Most popular with customers
-
-
YWHAB Recombinant Monoclonal Antibody
Applications: ELISA, WB, IHC, IF, FC
Species Reactivity: Human, Mouse, Rat
-
Phospho-YAP1 (S127) Recombinant Monoclonal Antibody
Applications: ELISA, WB, IHC
Species Reactivity: Human
-
-
-
-
-















