MYL3 Antibody
-
中文名稱:MYL3兔多克隆抗體
-
貨號:CSB-PA249474
-
規格:¥1100
-
圖片:
-
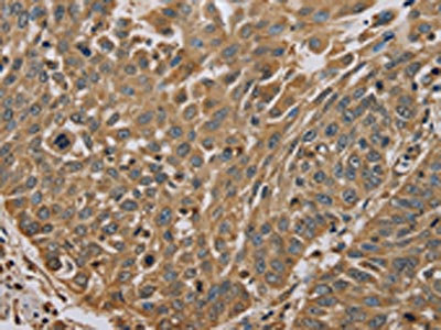
The image on the left is immunohistochemistry of paraffin-embedded Human lung cancer tissue using CSB-PA249474(MYL3 Antibody) at dilution 1/45, on the right is treated with fusion protein. (Original magnification: ×200)
-
The image on the left is immunohistochemistry of paraffin-embedded Human liver cancer tissue using CSB-PA249474(MYL3 Antibody) at dilution 1/45, on the right is treated with fusion protein. (Original magnification: ×200)
-
Gel: 10%SDS-PAGE, Lysate: 40 μg, Lane: Mouse heart tissue, Primary antibody: CSB-PA249474(MYL3 Antibody) at dilution 1/650, Secondary antibody: Goat anti rabbit IgG at 1/8000 dilution, Exposure time: 10 seconds
-
-
其他:
產品詳情
-
Uniprot No.:
-
基因名:
-
別名:Cardiac myosin light chain 1 antibody; CMH8 antibody; CMLC1 antibody; ELC of myosin antibody; Essential light chain of myosin antibody; MLC1SB antibody; MLC1V antibody; MYL3 antibody; MYL3_HUMAN antibody; Myosin light chain 1 antibody; Myosin light chain 1 slow twitch muscle B/ventricular isoform antibody; Myosin light chain 1 slow, B antibody; Myosin light chain 3 antibody; Myosin, light chain 1, ventricular antibody; myosin, light chain 3, alkali, ventricular, skeletal, slow antibody; myosin, light polypeptide 3, alkali antibody; myosin, light polypeptide 3, alkali, ventricular, skeletal, slow antibody; OTTHUMP00000165922 antibody; Slow skeletal ventricular myosin alkali light chain 3 antibody; slow-twitch muscle B/ventricular isoform antibody; Ventricular/slow twitch myosin alkali light chain antibody; VLC1 antibody
-
宿主:Rabbit
-
反應種屬:Human,Mouse,Rat
-
免疫原:Fusion protein of Human MYL3
-
免疫原種屬:Homo sapiens (Human)
-
標記方式:Non-conjugated
-
抗體亞型:IgG
-
純化方式:Antigen affinity purification
-
濃度:It differs from different batches. Please contact us to confirm it.
-
保存緩沖液:-20°C, pH7.4 PBS, 0.05% NaN3, 40% Glycerol
-
產品提供形式:Liquid
-
應用范圍:ELISA,WB,IHC
-
推薦稀釋比:
Application Recommended Dilution ELISA 1:2000-1:10000 WB 1:1000-1:5000 IHC 1:50-1:200 -
Protocols:
-
儲存條件:Upon receipt, store at -20°C or -80°C. Avoid repeated freeze.
-
貨期:Basically, we can dispatch the products out in 1-3 working days after receiving your orders. Delivery time maybe differs from different purchasing way or location, please kindly consult your local distributors for specific delivery time.
-
用途:For Research Use Only. Not for use in diagnostic or therapeutic procedures.
相關產品
靶點詳情
-
功能:Regulatory light chain of myosin. Does not bind calcium.
-
基因功能參考文獻:
- In Familial Hypertrophic Cardiomyopathy, the MYL3 Arg94His variant was associated with high disease penetrance and substantial interventricular septal hypertrophy PMID: 26443374
- N-fragment is the binding domain of human ventricular LC1, whereas the C-fragment serves as a functional domain, which may be more involved in the modulation of the actin-activated ATPase activity of myosin PMID: 14516912
- Cell-permeable peptide containing the 15 amino acid N-terminal peptide from human ventricular light chain-1 (VLC-1) enhanced myocardial contractility. PMID: 17717642
-
相關疾病:Cardiomyopathy, familial hypertrophic 8 (CMH8)
-
數據庫鏈接:
Most popular with customers
-
-
YWHAB Recombinant Monoclonal Antibody
Applications: ELISA, WB, IHC, IF, FC
Species Reactivity: Human, Mouse, Rat
-
Phospho-YAP1 (S127) Recombinant Monoclonal Antibody
Applications: ELISA, WB, IHC
Species Reactivity: Human
-
-
-
-
-















