MUC6 Antibody
-
中文名稱:MUC6兔多克隆抗體
-
貨號:CSB-PA058161
-
規格:¥1100
-
圖片:
-
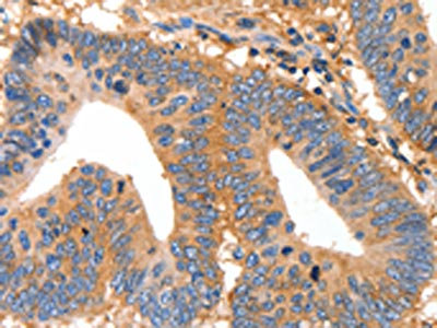
The image on the left is immunohistochemistry of paraffin-embedded Human colon cancer tissue using CSB-PA058161(MUC6 Antibody) at dilution 1/25, on the right is treated with synthetic peptide. (Original magnification: ×200)
-
The image on the left is immunohistochemistry of paraffin-embedded Human tonsil tissue using CSB-PA058161(MUC6 Antibody) at dilution 1/25, on the right is treated with synthetic peptide. (Original magnification: ×200)
-
-
其他:
產品詳情
-
Uniprot No.:
-
基因名:
-
別名:Gastric mucin 6 antibody; Gastric Mucin antibody; Gastric mucin-6 antibody; MUC 6 antibody; MUC-6 antibody; Muc6 antibody; MUC6 Fragment antibody; MUC6 mucin antibody; MUC6 mucin Fragment antibody; MUC6_HUMAN antibody; Mucin 6 antibody; Mucin 6 gastric antibody; Mucin 6 oligomeric mucus/gel forming antibody; Mucin glycoprotein Fragment antibody; Mucin-6 antibody; Secretory mucin MUC6 Fragment antibody
-
宿主:Rabbit
-
反應種屬:Human
-
免疫原:Synthetic peptide of Human MUC6
-
免疫原種屬:Homo sapiens (Human)
-
標記方式:Non-conjugated
-
抗體亞型:IgG
-
純化方式:Antigen affinity purification
-
濃度:It differs from different batches. Please contact us to confirm it.
-
保存緩沖液:-20°C, pH7.4 PBS, 0.05% NaN3, 40% Glycerol
-
產品提供形式:Liquid
-
應用范圍:ELISA,IHC
-
推薦稀釋比:
Application Recommended Dilution ELISA 1:1000-1:5000 IHC 1:25-1:100 -
Protocols:
-
儲存條件:Upon receipt, store at -20°C or -80°C. Avoid repeated freeze.
-
貨期:Basically, we can dispatch the products out in 1-3 working days after receiving your orders. Delivery time maybe differs from different purchasing way or location, please kindly consult your local distributors for specific delivery time.
-
用途:For Research Use Only. Not for use in diagnostic or therapeutic procedures.
相關產品
靶點詳情
-
功能:May provide a mechanism for modulation of the composition of the protective mucus layer related to acid secretion or the presence of bacteria and noxious agents in the lumen. Plays an important role in the cytoprotection of epithelial surfaces and are used as tumor markers in a variety of cancers. May play a role in epithelial organogenesis.
-
基因功能參考文獻:
- The expression of MUC5AC, MUC2, and MUC6 mRNA in CagA-transfected AGS cells at an NH concentration of 15 mM was significantly higher than that at 0 mM, and decreased at higher concentrations. H. pylori may affect the expression of MUC5AC, MUC2, MUC5B, and MUC6 in AGS cells via CagA and/or NH, but not E-cadherin. PMID: 29869461
- decreased expression of alphaGlcNAc relative to MUC6 occurs early and marks the initiation of tumor progression to pancreatic cancer. PMID: 28685935
- In ovarian mucinous tumors, MUC6 expression changes with the progression of benign to borderline and malignant tumours PMID: 25298197
- Human TTF2 is a lectin that binds alpha-GlcNAc-capped mucin 6 g with antibiotic activity against Helicobacter pylori. PMID: 25124036
- High MUC6 expression is associated with gastric carcinoma. PMID: 23828549
- A significant association between short rare MUC6-MS5 alleles (7, 9 repeats) and the occurrence of rectal cancer. PMID: 23054008
- No significant association was found with variants in the MUC6 gene and evolution of gastric cancer precursor lesions. PMID: 22402132
- It is concluded that the expression pattern of secreted mucins including MUC2 and MUC6 is altered in gastric carcinoma. PMID: 20878553
- results suggest that MUC6 may inhibit invasion of tumor cells through the basement membrane of the pancreatic duct and slow the development of infiltrating carcinoma. PMID: 21851820
- use of MUC6 to differentiate hyperplastic polyps from sessile serrated adenoma/polyps (SSA/P) or SSA/P with dysplasia in individual cases is not reliable because of a lack of specificity. PMID: 21490447
- Tn glycosylation of the MUC6 protein modulates its immunogenicity and promotes the induction of Th17-biased T cell responses. PMID: 21193402
- Positive immunoreactivity for MUC6 appears to be a complementary marker for malignant transformation of gastric epithelial neoplasia PMID: 20602200
- The short rare MUC6-minisatellite5 alleles may be related to cancer development by the regulation of MUC6 expression. PMID: 20506113
- MUC6 expression is strongly associated with proximal location of serrated polyps, but only has modest utility as a tissue biomarker for sessile serrated adenoma. PMID: 19855374
- Expression of MUC6 in oncocytic/pancreatobiliary-type neoplasms but not in villous/intestinal-type neoplasms supports the presence of a pyloropancreatic pathway distinct from the MUC2/CDX2 expressing intestinal pathway in intraductal papillary neoplasia. PMID: 20139757
- Data suggest that MUC6 is expressed in tissues other than stomach and pancreas and that the tandem repeat shows greater variation that previously reported. PMID: 15716126
- Our results suggest that MUC6 transcription is regulated by NFkappaB and Sp family members. PMID: 15979574
- MUC6-positive tumours were significantly associated with higher frequencies of the gains of 20q13.2, compared with MUC6-negative tumours (71.4 vs 30.0%, P=0.0349). PMID: 16447040
- Down-regulation of MUC6 may contribute to malignant transformation of gastric epithelial cells and underlie the molecular bases of growth, invasion, metastasis and differentiation of gastric carcinoma. PMID: 16807756
- Short MUC6 alleles are associated with H pylori infection. PMID: 17009402
- Downregulation of MUC6 is associated with disease progression to adenocarcinoma of the esophagus PMID: 17401217
- Report MUC6 expression/pathological features of adenomatous and foveolar gastric epithelial dysplasia. PMID: 18300795
- MUC6 was found to have 100% specificity in distinguishing sessile serrated adenoma from hyperplastic polyp PMID: 18360351
- Mucin 6 in seminal plasma may therefore interfere with the sexual transmission of HIV-1 by binding to DC-SIGN. PMID: 19682628
顯示更多
收起更多
-
亞細胞定位:Secreted.
-
組織特異性:Expressed in the regenerative zone of gastric antrum, gastric body mucosa and gastric incisura mucosa. Expressed in the deeper mucous glands of gastric antrum. Overexpressed in Helicobacter pylori infected gastric epithelium. Highly expressed in duodenal
-
數據庫鏈接:
Most popular with customers
-
-
YWHAB Recombinant Monoclonal Antibody
Applications: ELISA, WB, IHC, IF, FC
Species Reactivity: Human, Mouse, Rat
-
Phospho-YAP1 (S127) Recombinant Monoclonal Antibody
Applications: ELISA, WB, IHC
Species Reactivity: Human
-
-
-
-
-















