MTR Antibody
-
中文名稱:MTR兔多克隆抗體
-
貨號:CSB-PA859939LA01HU
-
規格:¥440
-
圖片:
-
Immunohistochemistry of paraffin-embedded human adrenal gland tissue using CSB-PA859939LA01HU at dilution of 1:100
-
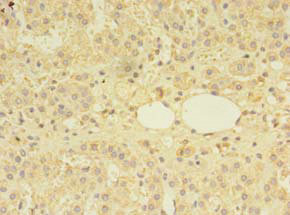
Immunohistochemistry of paraffin-embedded human pancreatic tissue using CSB-PA859939LA01HU at dilution of 1:100
-
Immunoprecipitating MTR in Hela whole cell lysate
Lane 1: Rabbit control IgG instead of CSB-PA859939LA01HU in Hela whole cell lysate. For western blotting, a HRP-conjugated Protein G antibody was used as the secondary antibody (1/2000)
Lane 2: CSB-PA859939LA01HU (8µg) + Hela whole cell lysate (500µg)
Lane 3: Hela whole cell lysate (10µg)
-
-
其他:
產品詳情
-
產品名稱:Rabbit anti-Homo sapiens (Human) MTR Polyclonal antibody
-
Uniprot No.:
-
基因名:MTR
-
別名:MTRMethionine synthase antibody; EC 2.1.1.13 antibody; 5-methyltetrahydrofolate--homocysteine methyltransferase antibody; Vitamin-B12 dependent methionine synthase antibody; MS antibody
-
宿主:Rabbit
-
反應種屬:Human
-
免疫原:Recombinant Human Methionine synthase protein (923-1265AA)
-
免疫原種屬:Homo sapiens (Human)
-
標記方式:Non-conjugated
本頁面中的產品,MTR Antibody (CSB-PA859939LA01HU),的標記方式是Non-conjugated。對于MTR Antibody,我們還提供其他標記。見下表:
-
克隆類型:Polyclonal
-
抗體亞型:IgG
-
純化方式:>95%, Protein G purified
-
濃度:It differs from different batches. Please contact us to confirm it.
-
保存緩沖液:Preservative: 0.03% Proclin 300
Constituents: 50% Glycerol, 0.01M PBS, PH 7.4 -
產品提供形式:Liquid
-
應用范圍:ELISA, IHC, IP
-
推薦稀釋比:
Application Recommended Dilution IHC 1:20-1:200 IP 1:200-1:2000 -
Protocols:
-
儲存條件:Upon receipt, store at -20°C or -80°C. Avoid repeated freeze.
-
貨期:Basically, we can dispatch the products out in 1-3 working days after receiving your orders. Delivery time maybe differs from different purchasing way or location, please kindly consult your local distributors for specific delivery time.
-
用途:For Research Use Only. Not for use in diagnostic or therapeutic procedures.
相關產品
靶點詳情
-
功能:Catalyzes the transfer of a methyl group from methylcob(III)alamin (MeCbl) to homocysteine, yielding enzyme-bound cob(I)alamin and methionine in the cytosol. MeCbl is an active form of cobalamin (vitamin B12) used as a cofactor for methionine biosynthesis. Cob(I)alamin form is regenerated to MeCbl by a transfer of a methyl group from 5-methyltetrahydrofolate. The processing of cobalamin in the cytosol occurs in a multiprotein complex composed of at least MMACHC, MMADHC, MTRR (methionine synthase reductase) and MTR which may contribute to shuttle safely and efficiently cobalamin towards MTR in order to produce methionine.
-
基因功能參考文獻:
- 12 articles were included in this study. The pooled results did not reveal a significant association of the MTR A2756G polymorphism with Nonsyndromic Cleft Lip With or Without Cleft Palate risk (G vs. A: OR = 0.95, 95% CI = 0.82-1.11, p = 0.55). PMID: 30004262
- GG homozygous and G alleles of methionine synthase A2756G polymorphism were not associated with risks of non-Hodgkin lymphoma (NHL), Hodgkin lymphoma (HL), the subtype of NHL including the diffuse large B-cell lymphoma and follicular lymphoma. PMID: 28742198
- Data indicate that two noncoding 5-methyltetrahydrofolate-homocysteine methyltransferase (MTR) variants, rs28372871 and rs1131450 were independently associated with a significantly increased risk of prostate cancer (PCa). PMID: 27808252
- no difference in genotype frequencies between pre-eclampsia patients and controls PMID: 27806663
- Based on the results, an MTRA2756G polymorphism which changes activity and stability of the methionine synthase associated with prostate cancer in men. PMID: 28724269
- MTR CpG sites were hypermethylated in preterm placenta. Methylated CpG sites were negatively associated with maternal plasma vitamin B12 levels. PMID: 28617183
- MS A2756G polymorphism may not be a risk factor for hematological cancer. PMID: 29310321
- MTHFR A1298C and MS A2756G polymorphisms may be unrelated to male infertility. PMID: 28081209
- People with late-life depression carrying MTR2756 AA genotype have higher risk of cognitive impairment than those carrying G allele. PMID: 27111719
- Data suggest that the MTR-A2756G polymorphism is associated with male infertility risk. PMID: 26905524
- MTR A2756G single nucleotide polymorphism is significantly associated with gastric cancer risk in Korea. PMID: 26833750
- There was a significant positive correlation between serum concentrations of vitamin B12 and regional GM (grey matter ) volume in APOE epsilon4 carriers with AD but not in non-carriers. PMID: 25919635
- According to our results, the MTR A2756G polymorphism was associated with the risk of retinoblastoma in Iranian patients. PMID: 26595280
- MTR genetic polymorphisms are risk factor for predicting cardiovascular manifestations in Marfan syndrome. PMID: 26063524
- no association of rs1805087 with non-obstructive azoospermia PMID: 26196053
- Data suggest impaired folate metabolism down-regulates placenta trophoblast proliferation, viability, invasive capacity, and progesterone secretion; silencing MTR gene down-regulates cell proliferation and up-regulates progesterone secretion. PMID: 26299783
- Studies do not indicate a major role of the 5-methyltetrahydrofolate-homocysteine methyltransferase (MTR) rs1805087 A> G polymorphism in modulating non-Hodgkin lymphoma (NHL) risk. PMID: 24956146
- An increase of placental mRNA levels in the pre-eclampsia group was observed for MTR and cystathionine gamma-lyase. PMID: 25801727
- Methionine synthase (MTR) and methionine synthase reductase (MTRR) polymorphisms were significantly associated with the increased neural tube defects risk in a Chinese population. PMID: 26334892
- In summary, hyperhomocysteinemia was related with increased risk of decline in executive functioning, complex attention, cognitive flexibility, and memory in postmenopausal women. PMID: 25822709
- Results show that an association of the G-allele of the methionine synthase variant c.2756A>G (D919G) with global DNA methylation. PMID: 25531253
- Our results show that elevated homocysteine plasma level may characterize schizophrenia patients' male siblings. PMID: 24051177
- results suggest that methionine synthase in the villous trophoblast participates in the metabolism of homocysteine by using folate PMID: 25277375
- our study provides evidence suggesting that MTR A2756G is associated with a reduced risk of developing childhood ALL. PMID: 23906019
- 5-methyltetrahydrofolate-homocysteine methyltransferase gene polymorphism does not have modification effects on the risk of CRC. PMID: 25077679
- Genetic association replicative and exploratory studies identify SNPs in ADA and MTR highly associated with isolated Neural tube defects (NTD)and SNP in ARID1A and ALDH1A2 associated with NTDs in whites and African Americans respectively. PMID: 25293959
- Our findings suggest a causal role for maternal homocysteine (1-C metabolism) in fetal growth PMID: 25052622
- This meta-analysis demonstrated a suggestive result that the A66G variant in MTRR, but not the A2756G in MTR, may be associated with the increase of congenital heart disease risks. PMID: 24595101
- found limited evidence that the maternal MTR rs1804742 appeared to interact with higher folic acid levels to influence childhood acute lymphoblastic leukemia risk PMID: 24087922
- Results show that regulatory variants of the MTR gene increase CHD risk by reducing MTR expression and inducing the homocysteine accumulation and elevation. PMID: 23798577
- Trend analyses also revealed the marginally significant lower risk of chronic kidney disease with increasing number of MTR A2756G G allele. PMID: 23595572
- Present data do not support a role for MTR 2756A>G as independent maternal risk factor for a Down syndrome birth. PMID: 24150725
- data suggest that the interaction of methionine synthase with MMACHC may play a role in the regulation of the cellular processing of cobalamins that is required for cobalamin cofactor synthesis PMID: 23825108
- No association between MS A2756G polymorphism and cervical cancer was detected in the worldwide population. PMID: 23864153
- [meta-analysis] MTR A2756G polymorphisms are not associated with risks for neural tube defects in Caucasian children. PMID: 23425389
- There was a significant association of breast cancer risk with MTR 2756 GG and AA polymorphism. PMID: 24166605
- A review of the influences of genetic polymorphisms in methionine synthase on the occurrence of adverse effects from methotrexate therapy. PMID: 23986219
- MTR 2756 AA genotypes were associated with higher Hcy concentrations (16.6 and 10.1 mumol/L; p<0.05) compared to subjects harboring the MTHFR 677 CT/CC and the MTR 2756 AG genotypes (10.5, 9.7 and 9.5 mumol/L, respectively). PMID: 23954866
- MTR SNPs do not appear to play a major role in lymphoma susceptibility in a Spanish population. PMID: 23818366
- This meta-analysis suggests that there is no significant association between the MTR A2756G polymorphism and digestive system cancer risk. PMID: 23613867
- findings suggest that MTR A2756G polymorphism is not associated with altered susceptibility to breast cancer, while the observed decreased risk in Caucasians PMID: 23845785
- MTR A2756G polymorphism is not associated with CRC/CRA susceptibility and that gene-environment interaction may exist. PMID: 23593229
- Methionine synthase 2756AA genotype and 2756A-TS 6-bp allele combination are predisposing factors for recurrent pregnancy loss in a sample of South Korean women. PMID: 23415967
- no associations between the MTR A2756G polymorphism and neural tube defects risk were found in meta-analysis of genetic models PMID: 23438943
- no significant association was found between TYMS or the MTR polymorphisms and the risk of primary liver cancer PMID: 21956592
- meta-analysis indicated that MTRR A66G polymorphism, but not MTR A2756G, is significantly associated with maternal risk for neural tube defects in Caucasians PMID: 23266814
- These findings indicate that locus A2756G in the MTR gene may play a role in susceptibility to congenital anomalies of the cardiovascular system in West Siberia. PMID: 22855024
- an increase in the risk of colorectal adenomas associated with methionine synthase 2756GG genotype PMID: 22407825
- No statistically significant association with prostate cancer was detected for the polymorphic locus A2756G of methionine synthase gene. PMID: 22803112
- We found weak evidence of a recessive effect of the G allele in MTR A2756G (odds ratio, 1.61 [95% confidence interval, 0.98-2.66]; p=0.06)and risk for coronaryh artery diseae. PMID: 22339686
顯示更多
收起更多
-
相關疾病:Homocystinuria-megaloblastic anemia, cblG complementation type (HMAG); Neural tube defects, folate-sensitive (NTDFS)
-
亞細胞定位:Cytoplasm.
-
蛋白家族:Vitamin-B12 dependent methionine synthase family
-
組織特異性:Widely expressed. Expressed at the highest levels in pancreas, heart, brain, skeletal muscle and placenta. Expressed at lower levels in lung, liver and kidney.
-
數據庫鏈接:
Most popular with customers
-
-
YWHAB Recombinant Monoclonal Antibody
Applications: ELISA, WB, IHC, IF, FC
Species Reactivity: Human, Mouse, Rat
-
Phospho-YAP1 (S127) Recombinant Monoclonal Antibody
Applications: ELISA, WB, IHC
Species Reactivity: Human
-
-
-
-
-















