MT-ND1 Antibody
-
中文名稱:MT-ND1兔多克隆抗體
-
貨號:CSB-PA937549
-
規格:¥1100
-
圖片:
-
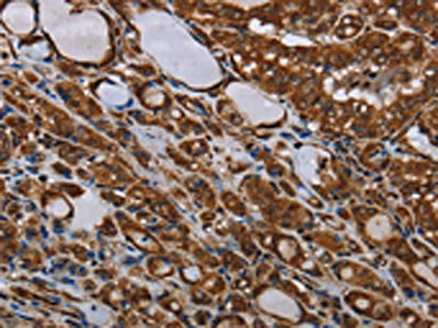
The image on the left is immunohistochemistry of paraffin-embedded Human thyroid cancer tissue using CSB-PA937549(MT-ND1 Antibody) at dilution 1/30, on the right is treated with synthetic peptide. (Original magnification: ×200)
-
The image on the left is immunohistochemistry of paraffin-embedded Human brain tissue using CSB-PA937549(MT-ND1 Antibody) at dilution 1/30, on the right is treated with synthetic peptide. (Original magnification: ×200)
-
-
其他:
產品詳情
-
Uniprot No.:
-
基因名:
-
別名:Complex I; subunit ND1 antibody; Mitochondrially encoded NADH dehydrogenase 1 antibody; MT-ND1 antibody; MTND1 antibody; NAD1 antibody; NADH dehydrogenase subunit 1 (complex I) antibody; NADH dehydrogenase subunit 1 antibody; NADH-ubiquinone oxidoreductase chain 1 antibody; NADH-ubiquinone oxidoreductase; subunit ND1 antibody; NADH1 antibody; ND1 antibody; NU1M_HUMAN antibody
-
宿主:Rabbit
-
反應種屬:Human,Mouse,Rat
-
免疫原:Synthetic peptide of Human MT-ND1
-
免疫原種屬:Homo sapiens (Human)
-
標記方式:Non-conjugated
-
抗體亞型:IgG
-
純化方式:Antigen affinity purification
-
濃度:It differs from different batches. Please contact us to confirm it.
-
保存緩沖液:-20°C, pH7.4 PBS, 0.05% NaN3, 40% Glycerol
-
產品提供形式:Liquid
-
應用范圍:ELISA,IHC
-
推薦稀釋比:
Application Recommended Dilution ELISA 1:2000-1:5000 IHC 1:50-1:200 -
Protocols:
-
儲存條件:Upon receipt, store at -20°C or -80°C. Avoid repeated freeze.
-
貨期:Basically, we can dispatch the products out in 1-3 working days after receiving your orders. Delivery time maybe differs from different purchasing way or location, please kindly consult your local distributors for specific delivery time.
-
用途:For Research Use Only. Not for use in diagnostic or therapeutic procedures.
相關產品
靶點詳情
-
功能:Core subunit of the mitochondrial membrane respiratory chain NADH dehydrogenase (Complex I) which catalyzes electron transfer from NADH through the respiratory chain, using ubiquinone as an electron acceptor. Essential for the catalytic activity and assembly of complex I.
-
基因功能參考文獻:
- Our study suggests to include haplogroup T as a possible genetic background influencing LHON penetrance and to consider the increase of mtDNA copy number as a protective factor from vision loss regardless the hetero/homoplasmic status of LHON primary mutations. PMID: 29774306
- the abnormal stable complex of FUS-R521C/PRMT1/Nd1-L mRNA could contribute to neurodegeneration upon oxidative stress. PMID: 28094300
- This review focuses on the role of mitochondrial genes in causing LHON and therapeutics available for treating the disease. A systematic search has been adopted in various databases using the keywords "LHON," "mitochondria," "ND1," "ND4," "ND6," and "therapy" and the following review on mitochondrial genetics. PMID: 29133631
- In this study, 27.5% mutation was detected in North Indian LHON families. These results suggest that m.G11778A mutation is more frequent in this population. The results of the present study are compatible with studies of an Asian population and Northern European population. PMID: 29133642
- The MT-ND1 m.3635G>A mutation has resulted in decreased efficiency of ATP synthesis. PMID: 27984598
- the MT-ND1 gene is a hot spot for mutations associated with LHON. PMID: 27177320
- The present systematic review and meta-analysis suggest that mtDNA T4216C variation is a contributory factor in susceptibility to Multiple Sclerosis PMID: 27457485
- ND1 genetic polymorphisms associated with breast cancer in Mizoram mongloid population. PMID: 25896597
- The m.3472T>C substitution in mtDNA could be associated with risk of Leber's hereditary optic neuropathy. It was also found that this mutation led to dysfunction of respiratory chain complex I and decreased membrane potential, but reactive oxygen species level in the cells was within normal range PMID: 27449621
- The present study revealed no association between MS and T4216C variation in the ND1 mtDNA gene in the Iranian population. PMID: 26201854
- The present analysis reveals a high number (358) of mtDNA alterations and a significant decrease in complex I activity in the FTLD population. PMID: 25871488
- MT-NDA1 new genetic mutation was found in patients with multiple congenital cardiac abnormalities. PMID: 25626582
- respiratory deficiency caused by the m.3635G>A mutation results in decreased efficiency of mitochondrial ATP synthesis; these mitochondrial dysfunctions caused an increase in production of reactive oxygen species in the mutant cybrids; data provide direct evidence for the m.3635G>A mutation leading to Leber's hereditary optic neuropathy PMID: 25194554
- ND1 T3866C mutation is associated with Chinese families with Leber's hereditary optic neuropathy. PMID: 25863085
- To investigate the pathophysiology of Leber's hereditary optic neuropathy (LHON), a cohort of 1164 Han Chinese subjects with LHON were screened for ND1 G3460A mutation. PMID: 24430572
- These results demonstrate that the energetic impairment caused by the almost homoplasmic m.3571insC mutation perturbs cellular metabolism leading to a decreased steady state level of components of very important mitochondrial NAD-dependent dehydrogenases. PMID: 24643264
- m.3460G>A/MT-ND1 mutation caused only a reduction in mitochondrial complex I(CI) activity, whereas the m.3571insC/MT-ND1 and the m.3243A>G/MT-TL1 mutations induced a severe structural and functional CI alteration. PMID: 24163135
- Novel mutations m.3959G>A and m.3995A>G in mitochondrial gene MT-ND1 associated with MELAS. PMID: 23834081
- In Sherpa people, 2 mutations are ND1 mutants. One of them was reported as the primary mutation for Leber's hereditary optic neuropathy suggesting a certain effect on Complex I function and might be important in the altitude adaptation for Sherpa people. PMID: 24002810
- we describe here a heteroplasmic mutation in the MT-ND1 gene that strongly suggest to cause epileptic encephalopathy: West syndrome (WS) patient with unidentified etiology that evolved to Lennox-Gastaut syndrome. PMID: 24105702
- A statistically significant association of the T4216C mutation in ND1 (p < 0.05) between patients suffering recurrent pregnancy loss and controls, which are 30% and 11%, respectively. PMID: 23464625
- BRN2 is a higher level regulator than ASCL1 and ND1 and BRN2 might be involved in aggressiveness of small cell lung cancer. PMID: 23530560
- These data suggest that the four early Complex I assembly factors have non-redundant functions in the assembly of a module that docks and stabilizes newly synthesized ND1. PMID: 22653752
- Studies indicate that NADH dehydrogenase subunit 1 (ND1) nucleotide 3394 T > C (Y30H) has been associated with Leber hereditary optic neuropathy and it reduces complex I activity and cellular respiration. PMID: 22517755
- Novel ND1 mutations responsible for maternally inherited nonsyndromic hearing loss PMID: 22241583
- In all, m.3376G>A perturbs ubiquinone binding, a phenomenon found in LHON, and decreases the activity of fully assembled complex I as in MELAS. PMID: 22079202
- the antitumorigenic and antimetastatic effects of high loads of MTND1 m.3571insC, following tumors complex I disassembly, define a novel threshold-regulated class of cancer genes PMID: 21852384
- It is concluded that left ventricular hypertrabeculation/noncompaction may be associated with the known homoplasmic m.3308T>C mutation in the ND1 gene. PMID: 21625124
- Three mutations in the Mitochondrial Subunit ND1 gene from primary colorectal tumour tissues were likely to alter the structure and function of the ND1 protein PMID: 21329181
- these results suggest that the MT-ND1 and MT-ND5 genes are mutational hotspots for Chinese families with suspected LHON lacking the common primary mutations. PMID: 20643099
- Substitutions of a highly conserved Met31 in ND1 caused by rare mitochondrial single nucleotide polymorphisms (mtSNP) A3397G and T3398C were identified from two left ventricular noncompaction patients. PMID: 20211276
- NADH dehydrogenase domain activity of NDH-1 with either one or both mutations was markedly decreased suggesting that m.4216T>C and m.3866T>C may have an effect on the structural integrity of complex I. PMID: 20197120
- The 3316 G-->A mutation in mitochondrial ND1 gene might be related to the down-regulated expression of mitochondrial protein and the diabetes mellitus pathogenesis. PMID: 20137661
- T3866C mutation in ND1 is associated with Leber's hereditary optic neuropathy and limbs abnormity claudication. PMID: 20176558
- After adjustment for full-thickness burn size, inhalation injury, age, and sex, carriage of the ND1 4216C allele was associated with complicated sepsis, relative to carriers of the T allele. PMID: 19487983
- Novel mitochondrial DNA mutations in Parkinson's disease. we report novel homoplasmic base changes. We were unable to detect heteroplasmic base changes. PMID: 12111463
- presence of the A3796G mutation increases the risk of developing adult-onset dystonia. PMID: 12756609
- The expression of MTDN1 was studied in blood platelets during aging. There was increased genetic transcription. PMID: 14759509
- Both mRNA and protein levels of the 24-kDa and 51-kDa subunits of complex I were significantly decreased in the prefrontal cortex, but increased in the ventral parietooccipital cortices of schizophrenia patients compared with normal control subjects. PMID: 15038995
- three novel mutations causing MELAS syndrome PMID: 15466014
- A novel mitochondrial DNA (mtDNA) transition (3733G-->A) inducing the E143 K amino acid change at a very conserved site of the ND1 was identified in a family with six maternally related individuals with Leber's hereditary optic neuropathy (LHON) PMID: 15505787
- This study has found alterations in two AD patients: one had two already known mtDNA modifications (3197 T-C and 3338 T-C) and the other a novel transition (3199 T-C). PMID: 15860916
- The mutations G3460A and G11778A in the mitochondrial genes MTND1 and MTND4, known to be causative for LHON. PMID: 16137960
- results suggest that the mutations of T3394C and A14693G may contribute to genetic predisposition to type 2 diabetes mellitus, with the T16189C variant being associated with insulin resistance PMID: 16414144
- mtDNA C3310T mutation in NADH dehydrogenase 1 may be a pathogenic mutation of maternally inherited type 2 diabetes mellitus and hypertrophic cardiomyopathy in the proband and the family. PMID: 16828917
- Therefore, the tRNA(Glu) A14693G mutation may have a potential modifier role in the phenotypic manifestation of the primary LHON-associated G3460A mutation in this Chinese family. PMID: 17434142
- Mutation in ND1 protein is associated with non-arteritic anterior ischemic optic neuropathy PMID: 17454741
- the 3697G>A/ND1 mitochondrial DNA mutation causes the LHON and spastic dystonia phenotype in the same family PMID: 17562939
- suggested the involvement of other modifier factors in the pathogenesis of hypertension associated with this ND1 T3308C mutation PMID: 18194667
- The cause of the observed association between resting metabolic rate and the ND1 polymorphism is not related to in vitro mitochondrial function. PMID: 18239645
顯示更多
收起更多
-
相關疾病:Leber hereditary optic neuropathy (LHON); Mitochondrial encephalomyopathy with lactic acidosis and stroke-like episodes syndrome (MELAS); Alzheimer disease mitochondrial (AD-MT); Diabetes mellitus, non-insulin-dependent (NIDDM); Mitochondrial complex I deficiency (MT-C1D)
-
亞細胞定位:Mitochondrion inner membrane; Multi-pass membrane protein.
-
蛋白家族:Complex I subunit 1 family
-
數據庫鏈接:
Most popular with customers
-
-
YWHAB Recombinant Monoclonal Antibody
Applications: ELISA, WB, IHC, IF, FC
Species Reactivity: Human, Mouse, Rat
-
Phospho-YAP1 (S127) Recombinant Monoclonal Antibody
Applications: ELISA, WB, IHC
Species Reactivity: Human
-
-
-
-
-















