MT-CYB Antibody
-
中文名稱:MT-CYB兔多克隆抗體
-
貨號:CSB-PA214597
-
規格:¥1100
-
圖片:
-
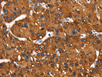
The image on the left is immunohistochemistry of paraffin-embedded Human liver cancer tissue using CSB-PA214597(MT-CYB Antibody) at dilution 1/50, on the right is treated with synthetic peptide. (Original magnification: ×200)
-
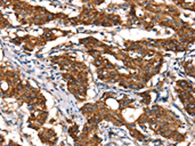
The image on the left is immunohistochemistry of paraffin-embedded Human gastric cancer tissue using CSB-PA214597(MT-CYB Antibody) at dilution 1/50, on the right is treated with synthetic peptide. (Original magnification: ×200)
-
-
其他:
產品詳情
-
Uniprot No.:
-
基因名:
-
別名:COB antibody; Complex III subunit 3 antibody; Complex III subunit III antibody; CYB_HUMAN antibody; CYTB antibody; Cytochrome b antibody; Cytochrome b c1 complex subunit 3 antibody; Cytochrome b-c1 complex subunit 3 antibody; Mitochondrially encoded cytochrome b antibody; MT-CYB antibody; MTCYB antibody; Ubiquinol cytochrome c reductase complex cytochrome b subunit antibody; Ubiquinol-cytochrome-c reductase complex cytochrome b subunit antibody
-
宿主:Rabbit
-
反應種屬:Human
-
免疫原:Synthetic peptide of Human MT-CYB
-
免疫原種屬:Homo sapiens (Human)
-
標記方式:Non-conjugated
-
抗體亞型:IgG
-
純化方式:Antigen affinity purification
-
濃度:It differs from different batches. Please contact us to confirm it.
-
保存緩沖液:-20°C, pH7.4 PBS, 0.05% NaN3, 40% Glycerol
-
產品提供形式:Liquid
-
應用范圍:ELISA,IHC
-
推薦稀釋比:
Application Recommended Dilution ELISA 1:2000-1:5000 IHC 1:50-1:200 -
Protocols:
-
儲存條件:Upon receipt, store at -20°C or -80°C. Avoid repeated freeze.
-
貨期:Basically, we can dispatch the products out in 1-3 working days after receiving your orders. Delivery time maybe differs from different purchasing way or location, please kindly consult your local distributors for specific delivery time.
-
用途:For Research Use Only. Not for use in diagnostic or therapeutic procedures.
相關產品
靶點詳情
-
功能:Component of the ubiquinol-cytochrome c reductase complex (complex III or cytochrome b-c1 complex) that is part of the mitochondrial respiratory chain. The b-c1 complex mediates electron transfer from ubiquinol to cytochrome c. Contributes to the generation of a proton gradient across the mitochondrial membrane that is then used for ATP synthesis.
-
基因功能參考文獻:
- The heteroplasmy level of some mutations in gene MT-CYB among women with asymptomatic atherosclerosis PMID: 29368910
- The effects of mutation in mitochondrially encoded cytochrome b are reviewed. PMID: 28132468
- Mitochondrial mutation m.15804T>C in the mtCYB gene in a family with fibromyalgia is associated with NLRP3-inflammasome activation. PMID: 26566881
- These results indicate that miR-151a-5p may participate in the regulation of cellular respiration and ATP production through targeting Cytb. PMID: 26626315
- The polymorphisms of CYTB as a very useful DNA marker were significantly different between different geographical Uyghur PMID: 24103151
- Significant elevation of ERalpha and MTCYB transcript levels in premenopausal leiomyomas and its association with ERalpha, -397 CC genotype suggests the mitochondrial-mediated role of estrogen as the promoter of leiomyoma tumorigenesis. PMID: 21506659
- mitocryptide-2 (MCT-2) and its human homolog hMCT-2 are cryptides that activate neutrophils PMID: 19342687
- The other proband had a non-synonymous G15221A mutation in the cytochrome b gene. PMID: 12031626
- In a mitochondrial myopathy patient, a novel stop-codon mutation (G15761A) was found in the mitochondrial DNA (mtDNA)-encoded cytochrome b gene, resulting in loss of the last 41 amino acids of the protein and complex III deficiency PMID: 12686403
- clinical/phenotypic variability of the G15498A mutation in mitochondrial DNA PMID: 14735157
- biochemical and molecular genetic studies of a patient with both muscle and brain involvement and a severe reduction in the activities of both complexes I and III in skeletal muscle due to a novel mutation in the MTCYB gene PMID: 16008558
- caspase 8-dependent cleavage of mitochondrial Cyt b and translocation of its C-terminal half into the cytoplasm occurred during FAS-induced apoptosis in both chicken and human cells PMID: 18796602
- CytbI7T has a role in longevity related to caloric restriction PMID: 19503808
- The m.15635T>C transition (S297P) was carried by a newborn who presented with a polyvisceral failure. PMID: 19563916
- cytochrome B gene mutation induces mitochondrial proliferation and prevents apoptosis in human uroepithelial SV-HUC-1 cells. PMID: 19569044
顯示更多
收起更多
-
相關疾?。?/div>Cardiomyopathy, infantile histiocytoid (CMIH); Leber hereditary optic neuropathy (LHON)亞細胞定位:Mitochondrion inner membrane; Multi-pass membrane protein.蛋白家族:Cytochrome b family數據庫鏈接:
Most popular with customers
-
-
YWHAB Recombinant Monoclonal Antibody
Applications: ELISA, WB, IHC, IF, FC
Species Reactivity: Human, Mouse, Rat
-
Phospho-YAP1 (S127) Recombinant Monoclonal Antibody
Applications: ELISA, WB, IHC
Species Reactivity: Human
-
-
-
-
-















