-
中文名稱:MT-CO2兔多克隆抗體
-
貨號:CSB-PA565356
-
規格:¥1100
-
圖片:
-
The image on the left is immunohistochemistry of paraffin-embedded Human liver cancer tissue using CSB-PA565356(MT-CO2 Antibody) at dilution 1/6, on the right is treated with synthetic peptide. (Original magnification: ×200)
-
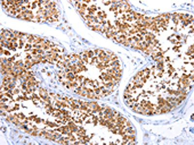
The image on the left is immunohistochemistry of paraffin-embedded Human testis tissue using CSB-PA565356(MT-CO2 Antibody) at dilution 1/6, on the right is treated with synthetic peptide. (Original magnification: ×200)
-
Gel: 10%SDS-PAGE, Lysate: 30 μg, Lane: Mouse heart tissue, Primary antibody: CSB-PA565356(MT-CO2 Antibody) at dilution 1/150, Secondary antibody: Goat anti rabbit IgG at 1/8000 dilution, Exposure time: 30 seconds
-
-
其他:
產品詳情
-
Uniprot No.:
-
基因名:
-
別名:MT-CO2; COII; COX2; COXII; MTCO2; Cytochrome c oxidase subunit 2; Cytochrome c oxidase polypeptide II
-
宿主:Rabbit
-
反應種屬:Human,Mouse,Rat
-
免疫原:Synthetic peptide of Human MT-CO2
-
免疫原種屬:Homo sapiens (Human)
-
標記方式:Non-conjugated
-
抗體亞型:IgG
-
純化方式:Antigen affinity purification
-
濃度:It differs from different batches. Please contact us to confirm it.
-
保存緩沖液:-20°C, pH7.4 PBS, 0.05% NaN3, 40% Glycerol
-
產品提供形式:Liquid
-
應用范圍:ELISA,WB,IHC
-
推薦稀釋比:
Application Recommended Dilution ELISA 1:2000-1:5000 WB 1:500-1:2000 IHC 1:10-1:50 -
Protocols:
-
儲存條件:Upon receipt, store at -20°C or -80°C. Avoid repeated freeze.
-
貨期:Basically, we can dispatch the products out in 1-3 working days after receiving your orders. Delivery time maybe differs from different purchasing way or location, please kindly consult your local distributors for specific delivery time.
-
用途:For Research Use Only. Not for use in diagnostic or therapeutic procedures.
引用文獻
- Chemical composition, nutritional profile and in vivo antioxidant properties of the cultivated mushroom Coprinus comatus N Stilinovi?,ROYAL SOCIETY OPEN SCIENCE,2020
相關產品
靶點詳情
-
功能:Component of the cytochrome c oxidase, the last enzyme in the mitochondrial electron transport chain which drives oxidative phosphorylation. The respiratory chain contains 3 multisubunit complexes succinate dehydrogenase (complex II, CII), ubiquinol-cytochrome c oxidoreductase (cytochrome b-c1 complex, complex III, CIII) and cytochrome c oxidase (complex IV, CIV), that cooperate to transfer electrons derived from NADH and succinate to molecular oxygen, creating an electrochemical gradient over the inner membrane that drives transmembrane transport and the ATP synthase. Cytochrome c oxidase is the component of the respiratory chain that catalyzes the reduction of oxygen to water. Electrons originating from reduced cytochrome c in the intermembrane space (IMS) are transferred via the dinuclear copper A center (CU(A)) of subunit 2 and heme A of subunit 1 to the active site in subunit 1, a binuclear center (BNC) formed by heme A3 and copper B (CU(B)). The BNC reduces molecular oxygen to 2 water molecules using 4 electrons from cytochrome c in the IMS and 4 protons from the mitochondrial matrix.
-
基因功能參考文獻:
- Study shows that higher COX-2 and ALOX5 expression in colorectal cancer (CRC) tissues was correlated with poorer prognosis in patients with CRC. Also, MiR-216a-3p was shown to directly bind to there 3'-UTR and inversely regulates their protein levels modulating CRC cell proliferation. PMID: 28786533
- Data suggest that mutations in MT-CO2 and MT-ND5 can be involved in MIDD (maternally inherited diabetes and deafness); a Tunisian family (mother, daughter, son) with clinical features of MIDD associated with retinopathy exhibit mutations in MT-CO2 (m.8241T>G - p. F219C) and MT-ND5 (m.13276G>A - p. M314V); these two mutations could explain retinopathy in some family members. (MT-ND5 = NADH dehydrogenase subunit 5) PMID: 27422531
- Results demonstrates that the presence of high levels of COX-2 is associated with poor prognosis for breast cancer patients and predicts bigger tumor size and lymph node metastasis. [metastasis] PMID: 27999206
- results demonstrated that XRCC5 promoted colon cancer growth by cooperating with p300 to regulate COX-2 expression, and suggested that the XRCC5/p300/COX-2 signaling pathway was a potential target in the treatment of colon cancers PMID: 29049411
- inhibitory effects of 17-AAG on PGE2 levels in HT-29 colorectal cancer cells were mediated through modulating COX-2 and 15-PGDH expression. PMID: 27075590
- The sequencing analysis revealed the presence of 17 variants, mostly causing non-synonymous changes in conserved amino acid residues, typically distributed in the MT-CO2 gene of MUTYH-associated polyposis patients (P < 0.0001), who frequently carried the hot spot m.7763G>A variant. PMID: 26138249
- Results find that COA6 associates with COX2 and is crucial for its maturation and complex IV biogenesis. Also, COA6 interacts with the copper chaperone SCO1 which indicates that COA6 is intrinsically involved in the copper delivery process for COX2. PMID: 26160915
- Mutational analysis show a novel MTCO2 mutation 8249G>A pathogenic variation in Tunisian patients with mitochondrial myopathy. PMID: 23841600
- We also detected in 4 asthenospermic patients a double novels mutations, the first was found in COXII gene (m.8021 G/A) that was absent in normospermic infertile men. PMID: 24931671
- The presence of a non-synonymous variation in the COII strongly correlated with poor survival in patients with cytogenetically normal acute myeloid leukemia. PMID: 23826975
- Protein modeling revealed loss of function mutations of ND6 and COX-II proteins in malignant vs benign tumors PMID: 24061460
- COX-2 expression played an essential role in the proliferation and metastasis of tongue cancer. PMID: 21069476
- Novel COII mutations responsible for maternally inherited nonsyndromic hearing loss PMID: 22241583
- The apoptotic index of pulmonary vascular endothelial cells was negatively correlated with COXII expression in patients with chronic obstructive pulmonary disease. PMID: 21092633
- This protein has been found differentially expressed in thalami from patients with schizophrenia. PMID: 20471030
- COX-II is induced in HIV infected apoptotic T-cells. PMID: 19771519
- Ageing muscle: clonal expansions of mitochondrial DNA point mutations and deletions cause focal impairment of mitochondrial function. PMID: 12031622
- the expression of mitochondria-encoded COXII is HRG-responsive. The levels of ErbB2 expression are decisive for the diverse biological activities of HRG. PMID: 12115729
- frequency of occurrence of mtDNA with the COII/tRNA(Lys) intergenic 9-bp deletion polymorphism in patients with myoclonic epilepsy with ragged-red fibers or mitochondrial encephalomyopathy syndrome is higher than that of healthy subjects PMID: 15965049
- Mutations in mtDNA-encoded cytochrome c oxidase subunit II genes causing isolated myopathy or severe encephalomyopathy. PMID: 16288875
- DNA hypermethylation of the COX-2 gene may be a potential prognostic marker in early stage cervical cancer. PMID: 17578348
- a fraction of Sco1 physically associates with the cytochrome c oxidase complex in human muscle mitochondria, suggesting a possible direct relationship between CcO and the regulation of cellular copper homeostasis PMID: 19295170
- SCO2 acts upstream of SCO1, and that it is indispensable for CO II synthesis. PMID: 19336478
- CoxII can be phosphorylated by EGFR and c-Src, and EGF stimulation reduces Cox activity and cellular ATP, an event that is dependent in large part on EGFR localized to the mitochondria. PMID: 19840943
- Observational study of gene-environment interaction and pharmacogenomic / toxicogenomic. (HuGE Navigator) PMID: 12732844
顯示更多
收起更多
-
相關疾病:Mitochondrial complex IV deficiency (MT-C4D)
-
亞細胞定位:Mitochondrion inner membrane; Multi-pass membrane protein.
-
蛋白家族:Cytochrome c oxidase subunit 2 family
-
數據庫鏈接:
Most popular with customers
-
-
YWHAB Recombinant Monoclonal Antibody
Applications: ELISA, WB, IHC, IF, FC
Species Reactivity: Human, Mouse, Rat
-
Phospho-YAP1 (S127) Recombinant Monoclonal Antibody
Applications: ELISA, WB, IHC
Species Reactivity: Human
-
-
-
-
-















