MSN Antibody
-
中文名稱:MSN兔多克隆抗體
-
貨號:CSB-PA063025
-
規格:¥1100
-
圖片:
-
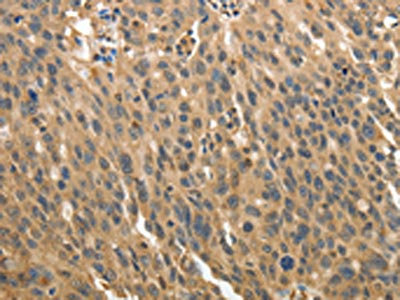
The image on the left is immunohistochemistry of paraffin-embedded Human thyroid cancer tissue using CSB-PA063025(MSN Antibody) at dilution 1/30, on the right is treated with fusion protein. (Original magnification: ×200)
-
The image on the left is immunohistochemistry of paraffin-embedded Human ovarian cancer tissue using CSB-PA063025(MSN Antibody) at dilution 1/30, on the right is treated with fusion protein. (Original magnification: ×200)
-
Gel: 10%SDS-PAGE, Lysate: 40 μg, Lane 1-2: 293T cells, A431 cells, Primary antibody: CSB-PA063025(MSN Antibody) at dilution 1/500, Secondary antibody: Goat anti rabbit IgG at 1/8000 dilution, Exposure time: 1 minute
-
-
其他:
產品詳情
-
Uniprot No.:
-
基因名:
-
別名:Epididymis luminal protein 70 antibody; HEL70 antibody; Membrane organizing extension spike protein antibody; Membrane-organizing extension spike protein antibody; MOES_HUMAN antibody; Moesin antibody; Moesin/anaplastic lymphoma kinase fusion protein antibody; Msn antibody; MSN/ALK fusion antibody
-
宿主:Rabbit
-
反應種屬:Human,Mouse,Rat
-
免疫原:Fusion protein of Human MSN
-
免疫原種屬:Homo sapiens (Human)
-
標記方式:Non-conjugated
-
抗體亞型:IgG
-
純化方式:Antigen affinity purification
-
濃度:It differs from different batches. Please contact us to confirm it.
-
保存緩沖液:-20°C, pH7.4 PBS, 0.05% NaN3, 40% Glycerol
-
產品提供形式:Liquid
-
應用范圍:ELISA,WB,IHC
-
推薦稀釋比:
Application Recommended Dilution ELISA 1:2000-1:5000 WB 1:500-1:2000 IHC 1:50-1:200 -
Protocols:
-
儲存條件:Upon receipt, store at -20°C or -80°C. Avoid repeated freeze.
-
貨期:Basically, we can dispatch the products out in 1-3 working days after receiving your orders. Delivery time maybe differs from different purchasing way or location, please kindly consult your local distributors for specific delivery time.
-
用途:For Research Use Only. Not for use in diagnostic or therapeutic procedures.
相關產品
靶點詳情
-
功能:Ezrin-radixin-moesin (ERM) family protein that connects the actin cytoskeleton to the plasma membrane and thereby regulates the structure and function of specific domains of the cell cortex. Tethers actin filaments by oscillating between a resting and an activated state providing transient interactions between moesin and the actin cytoskeleton. Once phosphorylated on its C-terminal threonine, moesin is activated leading to interaction with F-actin and cytoskeletal rearrangement. These rearrangements regulate many cellular processes, including cell shape determination, membrane transport, and signal transduction. The role of moesin is particularly important in immunity acting on both T and B-cells homeostasis and self-tolerance, regulating lymphocyte egress from lymphoid organs. Modulates phagolysosomal biogenesis in macrophages. Participates also in immunologic synapse formation.
-
基因功能參考文獻:
- These results suggested that strong moesin expression by malignant cells may help to determine patients with oral squamous cell carcinoma and poor prognosis. PMID: 29310601
- Up-regulation of moesin expression in glioblastoma cells resulted in more aggressive orthotopic glioblastoma growth in nude mice. PMID: 29848673
- In lip squamous carcinoma, moesin expression was strong at the invasive tumor front and weak/negative in differentiated cells. There was no association between moesin expression and the clinicopathological variables, but high moesin was associated with lower 5- and 10-year overall and disease-free survival rates. Moesin may participate in oral carcinogenesis. PMID: 29715096
- This review focuses on the role of moesin in microvascular permeability and angiogenesis, and on the involvement of Src and ROS in endothelial barrier disruption. PMID: 28129474
- CPI-17 drives Ras activity and tumorigenesis in melanomas in a two-fold way; inactivation of the tumor suppressor merlin and activation of the growth promoting ERM family. PMID: 27793041
- The authors demonstrated that the expression of MSN in glioma specimens were negatively correlated with miR-200c expression, and MSN overexpression rescued the phenotype about cell proliferation and invasion induced by miR-200c. PMID: 28529643
- The expression pattern and subcellular localization of ezrin and moesin correlate with clinicopathological variables such as patients' age, tumor grade and hormonal status. PMID: 28624994
- Moesin and merlin regulate urokinase receptor-dependent endothelial cell migration, adhesion and angiogenesis PMID: 28473293
- The results reveal a supportive role of ERMs in cortical activities during cytokinesis, and also provide insight into the selective mechanism that preferentially associates cytokinesis-relevant proteins with the division site. PMID: 28889652
- These results indicate that loss of miR-200c, as a consequence of p53 mutation, can upregulate Moesin oncogene and thus promote carcinogenesis in breast cancer PMID: 28933253
- the administration of 10(-6) M retinoic acid (10-20 min) induces the activation of the migration-related proteins Moesin, FAK, and Paxillin in T-47D breast cancer cells. PMID: 27130522
- Up-regulation of moesin expression in glioblastoma cells correlated with increases in cell proliferation, invasion and migration, suggesting moesin's role in glioblastoma progression. PMID: 28476784
- this study identifies X-linked primary immunodeficiency associated with hemizygous mutations in the moesin gene PMID: 27405666
- These results of this study may pave the way for exploiting moesin as a novel target for intervention in muscular dystrophy. PMID: 28082118
- The present study showed over-expression of ezrin and moesin in colorectal carcinoma PMID: 27042764
- These results indicate that the Thr 558 phosphorylation in moesin mediates endothelial angiogenesis. Advanced glycation end products promoted human umbilical vein endothelial cell angiogenesis by inducing moesin phosphorylation via RhoA/ROCK pathway. PMID: 26956714
- Phospho-Ezrin/Radixin/Moesin (ERM) inhibit cell adhesion, and therefore, dephosphorylation of ERM proteins is essential for cell adhesion.Phospho-ERM induce formation and/or maintenance of spherical cell shape. PMID: 26555866
- Moesin was required in HMGB1-induced F-actin rearrangement, hyperpermeability, and inflammatory responses. HMGB1 increased Thr558 phosphorylation of moesin. Moesin was elevated in sepsis. PMID: 25947626
- results indicate Moesin may regulate cell motility through its interactions with MT1-MMP and E-cadherin/p120-catenin adhesion complex and cytoplasmic expression of Moesin correlates with nodal metastasis and poor prognosis of OSCCs PMID: 26194050
- Intracellular sphingosine kinase 2-derived sphingosine-1-phosphate mediates epidermal growth factor-induced ezrin-radixin-moesin phosphorylation and cancer cell invasion. PMID: 26209696
- Moesin might be involved in renal fibrosis and its effects could be related to interacting with E-Cadherin. PMID: 25406076
- Ezrin, radixin and moesin are unlikely targets for autoantibodies in demyelinating neuropathies. PMID: 25286001
- Ezrin and moesin expression is related to LSCC invasion and metastasis, and may be important molecular markers for predicting prognosis and therapeutic targets in LSCC patients PMID: 25299115
- Data show that silencing ezrin-radixin-moesin (ERM) protein expression ablates deleted in colorectal carcinoma protein (DCC)-protein kinase A (PKA) interaction and specifically blocks netrin-induced PKA activity and phosphorylation. PMID: 25575591
- both moesin-mediated inhibition and its localized deactivation by myosin phosphatase are essential for neutrophil polarization and effective neutrophil tracking of pathogens. PMID: 25601651
- STIP1 and moesin may be novel and differential sero-diagnostic markers for psoriasis vulgaris and psoriatic arthritis PMID: 25010044
- present findings suggest that moesin is characteristically overexpressed and activated in adenomyosis, and that moesin activation may be related to extension of adenomyosis in the myometrium. PMID: 24698421
- Moesin was shown to be directly targeted by miR-200b; in breast cancer cell lines and patient samples, its expression is inversely correlated with miR-200 expression, and high levels of moesin were associated with poor relapse-free survival. PMID: 24037528
- Moesin expression and CD44 expression might be useful markers of poor prognosis in gastric adenocarcinoma. PMID: 23889297
- VIP regulates CFTR membrane expression and function in Calu-3 cells by increasing its interaction with NHERF1 and P-ERM in a VPAC1- and PKCepsilon-dependent manner. PMID: 24788249
- Talin has a role in regulating moesin-NHE-1 recruitment to invadopodia in breast cancer PMID: 24891603
- Phosphorylation of moesin at Thr558 by JNK is important for podosome rosette formation. PMID: 24127566
- Testosterone induces actin cytoskeleton remodeling by regulating ROCK-2/moesin expression and activation. PMID: 24065547
- The aim of this study was to examine the expression of ERM (ezrin, moesin) and Rho (RhoA, RhoB and Cdc42) proteins in breast cancer (BC) patients. PMID: 23420497
- important role of ezrin-moesin-radixin proteins during HCV infection at the postentry level and highlight possible novel targets for HCV treatment. PMID: 23703860
- Molecular basis for the moesin/l-selectin/CaM ternary complex; an important role for phospholipids in modulating l-selectin function and shedding. PMID: 23796515
- ERM proteins play important differential roles in the thrombin-induced modulation of EC permeability, with moesin promoting barrier dysfunction and radixin opposing it. PMID: 23729486
- These results suggest moesin protein involved in the genesis and progression of astrocytomas PMID: 23315217
- Data suggest that P-glycoprotein associate with the F-actin cytoskeleton through ezrin/radixin/moesin (ERM) in CCR9/CCL25 induced multidrug resistance of acute T-lymphocytic leukemia (T-ALL) cells. PMID: 23326330
- Control of adipogenesis by ezrin, radixin and moesin-dependent biomechanics remodeling. PMID: 23116763
- Moesin is a glioma progression marker that induces proliferation and Wnt/beta-catenin pathway activation via interaction with CD44. PMID: 23221384
- Ezrin/radixin/moesin are required for the purinergic P2X7 receptor (P2X7R)-dependent processing of the amyloid precursor protein. PMID: 22891241
- These results offer biological evidence of moesin as an EMT marker, support the association between moesin, Snail and EMT and suggest a role for moesin in breast cancer prognostication. PMID: 22439598
- role of CCM3 and ezrin/radixin/moesin family of proteins in cell's response to oxidative stress PMID: 22291017
- Ano1, ezrin, and moesin/radixin colocalize apically in salivary gland epithelial cells, and overexpression of moesin and Ano1 in HEK cells alters the subcellular localization of both proteins PMID: 22685202
- Both moesin and KRT17 demonstrated a tendency of increased expression as pT stage advanced. PMID: 22076435
- increased moesin expression promotes EMT by regulating adhesion and contractile elements for changes in actin filament organization. PMID: 22031288
- Activation of moesin, a protein that links actin cytoskeleton to the plasma membrane, occurs by phosphatidylinositol 4,5-bisphosphate (PIP2) binding sequentially to two sites and releasing an autoinhibitory linker. PMID: 22433855
- Results confirm the involvement of RhoA/ROCK pathway and subsequent moesin Thr558 phosphorylation in advanced glycation endproduct-mediated endothelial dysfunction. PMID: 22251897
- Knockdown of moesin did not influence the expression or function of P-gp PMID: 21837648
顯示更多
收起更多
-
相關疾病:Immunodeficiency 50 (IMD50)
-
亞細胞定位:Cell membrane; Peripheral membrane protein; Cytoplasmic side. Cytoplasm, cytoskeleton. Apical cell membrane; Peripheral membrane protein; Cytoplasmic side. Cell projection, microvillus membrane; Peripheral membrane protein; Cytoplasmic side. Cell projection, microvillus.
-
組織特異性:In all tissues and cultured cells studied.
-
數據庫鏈接:
Most popular with customers
-
-
YWHAB Recombinant Monoclonal Antibody
Applications: ELISA, WB, IHC, IF, FC
Species Reactivity: Human, Mouse, Rat
-
Phospho-YAP1 (S127) Recombinant Monoclonal Antibody
Applications: ELISA, WB, IHC
Species Reactivity: Human
-
-
-
-
-















