MSMO1 Antibody
-
中文名稱:MSMO1兔多克隆抗體
-
貨號:CSB-PA972591
-
規格:¥1100
-
圖片:
-
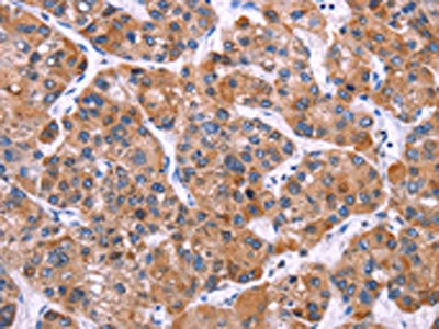
The image on the left is immunohistochemistry of paraffin-embedded Human liver cancer tissue using CSB-PA972591(MSMO1 Antibody) at dilution 1/40, on the right is treated with synthetic peptide. (Original magnification: ×200)
-
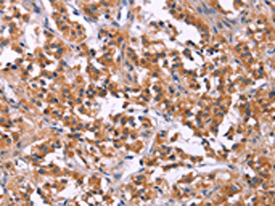
The image on the left is immunohistochemistry of paraffin-embedded Human thyroid cancer tissue using CSB-PA972591(MSMO1 Antibody) at dilution 1/40, on the right is treated with synthetic peptide. (Original magnification: ×200)
-
-
其他:
產品詳情
-
Uniprot No.:
-
基因名:MSMO1
-
別名:MSMO1; DESP4; ERG25; SC4MOL; Methylsterol monooxygenase 1; C-4 methylsterol oxidase; Sterol-C4-methyl oxidase
-
宿主:Rabbit
-
反應種屬:Human
-
免疫原:Synthetic peptide of Human MSMO1
-
免疫原種屬:Homo sapiens (Human)
-
標記方式:Non-conjugated
-
抗體亞型:IgG
-
純化方式:Antigen affinity purification
-
濃度:It differs from different batches. Please contact us to confirm it.
-
保存緩沖液:-20°C, pH7.4 PBS, 0.05% NaN3, 40% Glycerol
-
產品提供形式:Liquid
-
應用范圍:ELISA,IHC
-
推薦稀釋比:
Application Recommended Dilution ELISA 1:2000-1:5000 IHC 1:50-1:200 -
Protocols:
-
儲存條件:Upon receipt, store at -20°C or -80°C. Avoid repeated freeze.
-
貨期:Basically, we can dispatch the products out in 1-3 working days after receiving your orders. Delivery time maybe differs from different purchasing way or location, please kindly consult your local distributors for specific delivery time.
-
用途:For Research Use Only. Not for use in diagnostic or therapeutic procedures.
相關產品
靶點詳情
-
功能:Catalyzes the three-step monooxygenation required for the demethylation of 4,4-dimethyl and 4alpha-methylsterols, which can be subsequently metabolized to cholesterol. Also involved in drug metabolism, as it can metabolize eldecalcitol (ED-71 or 1alpha,25-dihydroxy-2beta-(3-hydroxypropoxy)-cholecalciferol), a second-generation vitamin D analog, into 1alpha,2beta,25-trihydroxy vitamin D3; this reaction occurs via enzymatic hydroxylation and spontaneous O-dehydroxypropylation.
-
基因功能參考文獻:
- SC4MOL is situated within the psoriasis susceptibility locus PSORS9, and may be a genetic risk factor for common skin conditions. [review] PMID: 24144731
- variants in/near SC4MOL, were associated with FI and IR in this cohort of African Amer PMID: 22791750
- human SC4MOL encodes a methyl sterol oxidase that may have a role in psoriasiform dermatitis, microcephaly, and developmental delay PMID: 21285510
-
相關疾病:Microcephaly, congenital cataract, and psoriasiform dermatitis (MCCPD)
-
亞細胞定位:Endoplasmic reticulum membrane; Multi-pass membrane protein.
-
蛋白家族:Sterol desaturase family
-
數據庫鏈接:
Most popular with customers
-
-
YWHAB Recombinant Monoclonal Antibody
Applications: ELISA, WB, IHC, IF, FC
Species Reactivity: Human, Mouse, Rat
-
Phospho-YAP1 (S127) Recombinant Monoclonal Antibody
Applications: ELISA, WB, IHC
Species Reactivity: Human
-
-
-
-
-















