MSH2 Antibody
-
中文名稱:MSH2兔多克隆抗體
-
貨號:CSB-PA16889A0Rb
-
規格:¥440
-
圖片:
-
Western Blot
Positive WB detected in: Hela whole cell lysate, NIH/3T3 whole cell lysate, A549 whole cell lysate, HEK293 whole cell lysate
All lanes: MSH2 antibody at 2μg/ml
Secondary
Goat polyclonal to rabbit IgG at 1/50000 dilution
Predicted band size: 105, 98 kDa
Observed band size: 105, 98 kDa -
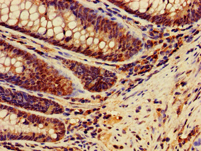
IHC image of CSB-PA16889A0Rb diluted at 1:400 and staining in paraffin-embedded human colon cancer performed on a Leica BondTM system. After dewaxing and hydration, antigen retrieval was mediated by high pressure in a citrate buffer (pH 6.0). Section was blocked with 10% normal goat serum 30min at RT. Then primary antibody (1% BSA) was incubated at 4°C overnight. The primary is detected by a biotinylated secondary antibody and visualized using an HRP conjugated SP system.
-
Immunoprecipitating MSH2 in 293 whole cell lysate
Lane 1: Rabbit control IgG instead of CSB-PA16889A0Rb in 293 whole cell lysate. For western blotting, a HRP-conjugated Protein G antibody was used as the secondary antibody (1/2000)
Lane 2: CSB-PA16889A0Rb (6μg) + 293 whole cell lysate (1mg)
Lane 3: 293 whole cell lysate (20μg)
-
-
其他:
產品詳情
-
產品名稱:Rabbit anti-Homo sapiens (Human) MSH2 Polyclonal antibody
-
Uniprot No.:
-
基因名:
-
別名:BAT26 antibody; COCA 1 antibody; COCA1 antibody; DNA mismatch repair protein Msh2 antibody; FCC 1 antibody; FCC1 antibody; hMSH2 antibody; HNPCC 1 antibody; HNPCC antibody; HNPCC1 antibody; LCFS2 antibody; MSH 2 antibody; Msh2 antibody; MSH2_HUMAN antibody; MutS homolog 2 antibody; MutS homolog 2 colon cancer nonpolyposis type 1 antibody; MutS protein homolog 2 antibody
-
宿主:Rabbit
-
反應種屬:Human, Mouse
-
免疫原:Recombinant Human DNA mismatch repair protein Msh2 protein (2-254AA)
-
免疫原種屬:Homo sapiens (Human)
-
標記方式:Non-conjugated
本頁面中的產品,MSH2 Antibody (CSB-PA16889A0Rb),的標記方式是Non-conjugated。對于MSH2 Antibody,我們還提供其他標記。見下表:
-
克隆類型:Polyclonal
-
抗體亞型:IgG
-
純化方式:>95%, Protein G purified
-
濃度:It differs from different batches. Please contact us to confirm it.
-
保存緩沖液:Preservative: 0.03% Proclin 300
Constituents: 50% Glycerol, 0.01M PBS, pH 7.4 -
產品提供形式:Liquid
-
應用范圍:ELISA, WB, IHC, IP
-
推薦稀釋比:
Application Recommended Dilution WB 1:500-1:5000 IHC 1:200-1:500 IP 1:200-1:2000 -
Protocols:
-
儲存條件:Upon receipt, store at -20°C or -80°C. Avoid repeated freeze.
-
貨期:Basically, we can dispatch the products out in 1-3 working days after receiving your orders. Delivery time maybe differs from different purchasing way or location, please kindly consult your local distributors for specific delivery time.
-
用途:For Research Use Only. Not for use in diagnostic or therapeutic procedures.
相關產品
靶點詳情
-
功能:Component of the post-replicative DNA mismatch repair system (MMR). Forms two different heterodimers: MutS alpha (MSH2-MSH6 heterodimer) and MutS beta (MSH2-MSH3 heterodimer) which binds to DNA mismatches thereby initiating DNA repair. When bound, heterodimers bend the DNA helix and shields approximately 20 base pairs. MutS alpha recognizes single base mismatches and dinucleotide insertion-deletion loops (IDL) in the DNA. MutS beta recognizes larger insertion-deletion loops up to 13 nucleotides long. After mismatch binding, MutS alpha or beta forms a ternary complex with the MutL alpha heterodimer, which is thought to be responsible for directing the downstream MMR events, including strand discrimination, excision, and resynthesis. Recruits DNA helicase MCM9 to chromatin which unwinds the mismatch containing DNA strand. ATP binding and hydrolysis play a pivotal role in mismatch repair functions. The ATPase activity associated with MutS alpha regulates binding similar to a molecular switch: mismatched DNA provokes ADP-->ATP exchange, resulting in a discernible conformational transition that converts MutS alpha into a sliding clamp capable of hydrolysis-independent diffusion along the DNA backbone. This transition is crucial for mismatch repair. MutS alpha may also play a role in DNA homologous recombination repair. In melanocytes may modulate both UV-B-induced cell cycle regulation and apoptosis.
-
基因功能參考文獻:
- Single-Nucleotide Polymorphisms of the MSH2 is associated with Basal Cell Carcinoma. PMID: 28667494
- MSH2-MSH3 not only stimulates pol beta to copy through the repeats but also enhances formation of the flap precursor for expansion. PMID: 27546332
- SNP Rs2303428 of MSH2 is associated with hepatocellular carcinoma prognosis in a Chinese population. PMID: 29874113
- An increased risk of breast cancer in MSH2 mutation carriers was demonstrated in a Canadian familial cancer registry. PMID: 28779004
- Loss of MSH2 protein is correlated with MSH2 inactivation, hypermutation, and higher tumor-infiltrating lymphocyte density, and appears most common among very high-grade primary tumors, for which routine screening may be warranted if validated in additional cohorts. PMID: 28790115
- Immunohistochemistry revealed loss of expression of proteins MSH2 and MSH6, strongly suggesting a diagnosis of MTS. PMID: 28256262
- Authors revealed a novel pathologic mutation on the MSH2 gene (G504 splicing) that associates with Lynch syndrome. Systematical comparison of the mutation landscape revealed that multiple cancers in the proband were evolutionarily independent. PMID: 28974240
- Expression of MSH6 and MSH2 was positively associated with tumor volume doubling time. Gene expression was positively associated with ATR expression. Reduction of MSH6 and MSH2 expression at the messenger RNA and protein levels could be involved in direct Pituitary Adenoma proliferation by promoting cell-cycle progression or decreasing the rate of apoptosis through interference with the function of the ATR-Chk1 pathway. PMID: 29342268
- Altered MSH2 expression detected in sporadic colon tumors pointing to its role in colorectal tumorigenesis PMID: 29715107
- MSH2 rs2303425 Polymorphism is Associated with Early-Onset Breast Cancer. PMID: 26975740
- Five out of twelve patients with defects in either of MSH2, RAD50 and NBN genes suffered from rare life-threatening AE, more frequently than in control group (p = 0.0005). When all detected variants were taken into account, the majority of patients (8 out of 15) suffered from life-threatening toxicity during chemotherapy. PMID: 28376765
- MSH2 inversion of exons 1-7 was found in four probands previously suspected to have Lynch syndrome based on family history and tumor testing PMID: 28004223
- Loss of MSH2 expression is associated with colorectal carcinoma. PMID: 28651545
- Findings indicate that carriers of the MSH5 rs707939 T allele, the MSH2 rs6544991 C allele, the MSH3 rs6151627 and rs6151670 G alleles, and the MSH3 rs7709909 T allele have poor toxicity tolerance to platinum-based chemotherapy in non-small cell lung cancer patients. PMID: 28093084
- MSH2 mutations contribute to colorectal cancer susceptibility in Algerian families with suspected Lynch syndrome. PMID: 27468915
- The data suggest that EZH2-H3K27me3 regulatory mechanism dynamically changes the expression levels of DNA mismatch repair gene MutS homolog 2, through epigenetic mark H3K27me3. PMID: 27036951
- In path_MSH2 10-year survival was 84%, relative incidence of subsequent cancer compared with incidence of first cancer was slightly but insignificantly higher than cancer incidence in patients with Lynch syndrome without previous cancer. PMID: 27261338
- Here we demonstrate that in silico saturation mutagenesis and biophysical calculations of the structural stability of the human mismatch repair protein MSH2 correlate with cellular protein levels, turnover and function. Of 24 different MSH2 variants, some of which are linked to Lynch syndrome, a destabilization of as little as 3 kcal/mol is sufficient to cause rapid degradation via the ubiquitin-proteasome pathway. PMID: 28422960
- human Pol alpha interacts with MSH2-MSH6 complex PMID: 27805738
- unlike MutSbeta, MutSalpha may also act to protect against repeat contractions in the Fmr1 gene PMID: 27427765
- A total of 201 unique disease-predisposing mismatch repair gene mutations were identified in 369 Lynch syndrome families. These mutations affected MLH1 in 40%, MSH2 in 36%, MSH6 in 18% and PMS2 in 6% of the families. PMID: 27601186
- There is a positive correlation between the expressions of hMSH2 and hMSH6 between males (RHO=0.673 and p=0.001) and females with colorectal adenocarcinoma. PMID: 27459116
- Individuals with Lynch syndrome and double-mutants in MSH6 and MSH2 had normal MSH2 expression, whereas MSH6 immunoexpression was lost in all evaluable cases. PMID: 26446363
- high expression of the MutSalpha complex was an independent prognostic factor for poor overall survival PMID: 27258499
- Upon stratifying the GEE model, reductions in ATM and MSH2 expression levels was heightened among women with an extended family history (FH) of breast cancer. Reduced expression of ATM and MSH2 compromises DNA repair capacity and, thereby, increases breast cancer prevalence. PMID: 27466510
- Alterations in p53 and p21 expression suggest that these proteins are involved in lower lip carcinogenesis. Moreover, p53 and hMSH2 seem to be interrelated in early events of this process. PMID: 26842232
- screen was able to distinguish weak and strong pathogenic variants from polymorphisms and was used to investigate 59 Msh2 VUS. Nineteen of the 59 VUS were identified as pathogenic PMID: 26951660
- Report a family with an MSH2 mutation c.1126_1127delTT (p.Leu376Thrfs*12). A 46-year-old male proband developed keratoacanthoma, colon cancer and gastric cancer, and fulfilled the diagnostic criteria for Muir-Torre syndrome. His 80-year-old mother, diagnosed with hereditary non-polyposis colorectal cancer, presented with multiple gastrointestinal tract cancers, Bowen's disease and actinic keratosis. PMID: 26077460
- In Lynch syndrome families, prostate cancer was associated with mutations in MSH2 with loss of the mismatch repair protein. PMID: 27013479
- Loss of MSH-2/MSH-6 expression was correlated with the right-colon location, poor and mucinous differentiation in colorectal adenocarcinoma. PMID: 26097592
- The proportion of deaths from extra-colonic cancer was significantly higher in Japanese families with Lynch syndrome with MSH2 mutation PMID: 27069191
- Studies indicate that each of the three neoplasm protein variants in BRCA1, BRCA2 and MSH2 would normally be reported as pathogenic based on widely accepted guidelines. PMID: 25639900
- foot-drop is frequently associated with NEB gene mutations . This result supports the indication deriving from the yeast model that BRCA1 driven tumorigenesis may be modulated by MSH2. PMID: 26381082
- Pathogenic mutations were only confined to MSH2 and identified in 28.8% of Singapore families with Hereditary Colorectal Cancer. PMID: 26477961
- Authors propose an Alu-mediated recombination model to explain the origin of the cryptic paracentric inversion of MSH2 exons 2-6 causes Lynch syndrome. PMID: 26498247
- MSH2, MSH6, and EXO1 genes were overexpressed in gastroesophageal cancers. PMID: 26215063
- We identified several genes (FasL, MSH2, ABCC5, CASP3, and CYP3A4)that showed association with PFS in patients with osteosarcoma. These pharmacogenetic risk factors might be useful to predict treatment outcome PMID: 25829401
- The mismatch-binding protein MutS beta, a heterodimer of MSH2 and MSH3, activates ATR in response to DNA double-strand breaks. PMID: 26212458
- Expression levels of DNA repair genes, such as MSH2, may serve as informative biomarkers for identifying patients with T2 Diabetes and coronary artery disease. PMID: 26088318
- Prostate cancer occurs at a younger age mainly for mutations in MSH2 gene. PMID: 25640028
- Gly322Asp polymorphism of the hMSH2 gene may be linked with Triple-negative breast cancer occurrence in Polish women PMID: 25134804
- study identifies an HDAC10-mediated regulatory mechanism controlling the DNA mismatch repair function of MSH2. PMID: 26221039
- Results indicate that the expression of hMSH2 is upregulated in ovarian carcinoma cell lines and tissues after paclitaxel treatment, and hMSH2 overexpression is related to paclitaxel resistance and poor prognosis. PMID: 25175513
- Somatic rearrangements in MSH2 and MSH6 are an important mechanism leading to hypermutation and microsatellite instability in advanced prostate cancer. PMID: 25255306
- A role of MSH2 protein in glioblastoma resistance to temozolomide PMID: 26025730
- Report mutations in SNP loci of MSH2 in neoplastic intestinal polyps and colorectal cancer. PMID: 25561800
- Intronic SNPs, gene-gene and gene-environment interactions in hMSH2 might be associated with susceptibility to colorectal cancer. PMID: 25560462
- A novel mutation consisting in a G deletion at 914 codon of the exon 16 in the MSH2 gene that is associated with HNPCC is described. PMID: 25200962
- None of single-nucleotide polymorphisms located at MSH2 were significantly associated with prognosis of colorectal cancer in China. PMID: 24793746
- MSH2 founder mutations in Ashkenazi Jews with Lynch syndrome PMID: 23990280
顯示更多
收起更多
-
相關疾病:Hereditary non-polyposis colorectal cancer 1 (HNPCC1); Muir-Torre syndrome (MRTES); Endometrial cancer (ENDMC); Mismatch repair cancer syndrome (MMRCS); Colorectal cancer (CRC)
-
亞細胞定位:Nucleus. Chromosome.
-
蛋白家族:DNA mismatch repair MutS family
-
組織特異性:Ubiquitously expressed.
-
數據庫鏈接:
Most popular with customers
-
YWHAB Recombinant Monoclonal Antibody
Applications: ELISA, WB, IHC, IF, FC
Species Reactivity: Human, Mouse, Rat
-
Phospho-YAP1 (S127) Recombinant Monoclonal Antibody
Applications: ELISA, WB, IHC
Species Reactivity: Human
-
-
-
-
-
-















