MRPL28 Antibody
-
中文名稱:MRPL28兔多克隆抗體
-
貨號:CSB-PA558364
-
規格:¥1100
-
圖片:
-
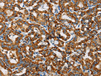
The image on the left is immunohistochemistry of paraffin-embedded Human thyroid cancer tissue using CSB-PA558364(MRPL28 Antibody) at dilution 1/20, on the right is treated with fusion protein. (Original magnification: ×200)
-
The image on the left is immunohistochemistry of paraffin-embedded Human colon cancer tissue using CSB-PA558364(MRPL28 Antibody) at dilution 1/20, on the right is treated with fusion protein. (Original magnification: ×200)
-
Gel: 8%SDS-PAGE, Lysate: 40 μg, Lane 1-4: 293T cells, A549 cells, human testis tissue, mouse thymus tissue, Primary antibody: CSB-PA558364(MRPL28 Antibody) at dilution 1/300, Secondary antibody: Goat anti rabbit IgG at 1/8000 dilution, Exposure time: 5 seconds
-
-
其他:
產品詳情
-
Uniprot No.:
-
基因名:MRPL28
-
別名:39S ribosomal protein L28 antibody; 39S ribosomal protein L28 mitochondrial antibody; 39S ribosomal protein L28 mitochondrial precursor antibody; HGNC6756 antibody; L28mt antibody; MAAT 1 antibody; MAAT1 antibody; Melanoma antigen p15 antibody; Melanoma associated antigen recognised by cytotoxic T lymphocytes antibody; Melanoma associated antigen recognized by T lymphocytes antibody; Melanoma-associated antigen recognized by T-lymphocytes antibody; MGC8499 antibody; mitochondrial antibody; Mitochondrial ribosomal protein L28 antibody; MRP L28 antibody; MRP-L28 antibody; MRPL 28 antibody; mrpl28 antibody; P15 antibody; RM28_HUMAN antibody
-
宿主:Rabbit
-
反應種屬:Human,Mouse
-
免疫原:Fusion protein of Human MRPL28
-
免疫原種屬:Homo sapiens (Human)
-
標記方式:Non-conjugated
-
抗體亞型:IgG
-
純化方式:Antigen affinity purification
-
濃度:It differs from different batches. Please contact us to confirm it.
-
保存緩沖液:-20°C, pH7.4 PBS, 0.05% NaN3, 40% Glycerol
-
產品提供形式:Liquid
-
應用范圍:ELISA,WB,IHC
-
推薦稀釋比:
Application Recommended Dilution ELISA 1:2000-1:5000 WB 1:500-1:2000 IHC 1:50-1:200 -
Protocols:
-
儲存條件:Upon receipt, store at -20°C or -80°C. Avoid repeated freeze.
-
貨期:Basically, we can dispatch the products out in 1-3 working days after receiving your orders. Delivery time maybe differs from different purchasing way or location, please kindly consult your local distributors for specific delivery time.
-
用途:For Research Use Only. Not for use in diagnostic or therapeutic procedures.
相關產品
靶點詳情
-
亞細胞定位:Mitochondrion.
-
蛋白家族:Bacterial ribosomal protein bL28 family
-
組織特異性:Found in a variety of normal tissues including spleen, testes, thymus, liver, kidney, brain, adrenal, lung and retinal tissue.
-
數據庫鏈接:
Most popular with customers
-
-
YWHAB Recombinant Monoclonal Antibody
Applications: ELISA, WB, IHC, IF, FC
Species Reactivity: Human, Mouse, Rat
-
Phospho-YAP1 (S127) Recombinant Monoclonal Antibody
Applications: ELISA, WB, IHC
Species Reactivity: Human
-
-
-
-
-















