MRC2 Antibody
-
中文名稱:MRC2兔多克隆抗體
-
貨號:CSB-PA731055ESR2HU
-
規格:¥440
-
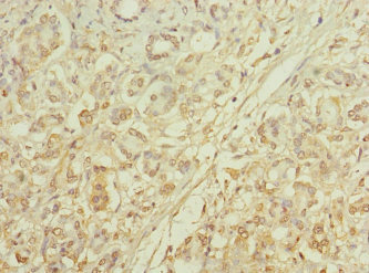
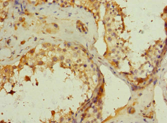
圖片:
-
其他:
產品詳情
-
產品名稱:Rabbit anti-Homo sapiens (Human) MRC2 Polyclonal antibody
-
Uniprot No.:
-
基因名:
-
別名:C-type lectin domain family 13 member E antibody; C-type mannose receptor 2 antibody; CD 280 antibody; CD280 antibody; CD280 antigen antibody; CLEC 13E antibody; CLEC13E antibody; ENDO 180 antibody; ENDO180 antibody; Endocytic receptor (macrophage mannose receptor family) antibody; Endocytic receptor 180 antibody; FLJ35911 antibody; KIAA0709 antibody; Macrophage mannose receptor 2 antibody; Mannose receptor C type 2 antibody; MRC 2 antibody; MRC2 antibody; MRC2_HUMAN antibody; UPAR-associated protein antibody; UPARAP antibody; Urokinase plasminogen activator receptor associated protein antibody; Urokinase receptor associated protein antibody; Urokinase receptor-associated protein antibody; Urokinase-type plasminogen activator receptor-associated protein antibody
-
宿主:Rabbit
-
反應種屬:Human
-
免疫原:Recombinant Human C-type mannose receptor 2 protein (120-300AA)
-
免疫原種屬:Homo sapiens (Human)
-
標記方式:Non-conjugated
-
克隆類型:Polyclonal
-
抗體亞型:IgG
-
純化方式:Antigen Affinity Purified
-
濃度:It differs from different batches. Please contact us to confirm it.
-
保存緩沖液:PBS with 0.02% sodium azide, 50% glycerol, pH7.3.
-
產品提供形式:Liquid
-
應用范圍:ELISA, IHC
-
推薦稀釋比:
Application Recommended Dilution IHC 1:20-1:200 -
Protocols:
-
儲存條件:Upon receipt, store at -20°C or -80°C. Avoid repeated freeze.
-
貨期:Basically, we can dispatch the products out in 1-3 working days after receiving your orders. Delivery time maybe differs from different purchasing way or location, please kindly consult your local distributors for specific delivery time.
-
用途:For Research Use Only. Not for use in diagnostic or therapeutic procedures.
相關產品
靶點詳情
-
功能:May play a role as endocytotic lectin receptor displaying calcium-dependent lectin activity. Internalizes glycosylated ligands from the extracellular space for release in an endosomal compartment via clathrin-mediated endocytosis. May be involved in plasminogen activation system controlling the extracellular level of PLAUR/PLAU, and thus may regulate protease activity at the cell surface. May contribute to cellular uptake, remodeling and degradation of extracellular collagen matrices. May play a role during cancer progression as well as in other chronic tissue destructive diseases acting on collagen turnover. May participate in remodeling of extracellular matrix cooperating with the matrix metalloproteinases (MMPs).
-
基因功能參考文獻:
- Endo180 knockdown in pancreatic stellate cells (PSCs) attenuated the invasive abilities of PSCs and co-cultured pancreatic cancer cells, and decreased the expression level of phosphorylated myosin light chain 2 (MLC2). PMID: 29061505
- results provide a molecular mechanism to support the structural flexibility of uPARAP, and shed light on the structural flexibility of other members of the MR family PMID: 27247422
- A model of the ligand-binding region of uPARAP was obtained by molecular replacement. PMID: 26527274
- The positive correlation between suPLAUR expression and body mass index, suggests that leukocyte recruitment in obese tissue may be regulated, at least in part, through the splicing of the PLAUR transcript. PMID: 26284904
- Our findings identify sarcoma cell-resident uPARAP/Endo180 as a central player in the bone degeneration of advanced osteosarcoma PMID: 26466547
- Study identifies the interaction between lectin domain in Endo180 and CD147 as an Epithelial-to-mesenchymal transition suppressor and indicates that stabilization of this molecular complex improves prostate cancer survival rates. PMID: 25381222
- AGE-dependent modification of the basal lamina induces invasive behaviour in non-transformed prostate epithelial cells via Endo180 pathway linked to cancer progression. PMID: 25408555
- MRC2 is downregulated by UVA irradiation and reduces collagen internalization; this can be recovered by all-trans retinoic acid PMID: 24161566
- Our findings correlate for the first time impaired collagen uptake via Endo180 with the pericellular accumulation of collagen fragments during photoaging. PMID: 23433549
- TGFbeta1-Endo180-dependent collagen deposition is dysregulated at the tumour-stromal interface in bone metastasis. PMID: 22072289
- A novel functional role of collagen glycosylation: interaction with the endocytic collagen receptor uparap/ENDO180. PMID: 21768090
- Our present study suggests that uPARAP may be involved in glioma cell invasiveness through actin cytoskeletal rearrangement PMID: 20845060
- fibrillar collagen deposition and the collagen internalization receptor endo180 have roles in glioma invasion PMID: 20339555
- Endo180 is a novel regulator of membrane-bound matrix metalloproteinase (MT1-MMP) activity, MT1-MMP-dependent MMP-2 activation and urokinase plasminogen activator (uPA) activity. PMID: 19861500
- Investigation of the role of Endo180/urokinase-type plasminogen activator receptor-associated protein as a collagenase 3 (matrix metalloproteinase 13) receptor PMID: 11903048
- Endo180 was found to be distinct within the mannose receptor family in that the tyrosine-based motif is not required for efficient delivery to and recycling from early endosomes PMID: 12068012
- Mannose receptor activity is up-regulated by surfactant protein A on monocyte-derived macrophages. PMID: 12244146
- characterization of the monosaccharide binding sites PMID: 12399458
- Approximately 60% of the initial association of HIV with macrophages that lack expression of DC-SIGN (a dendritic cell-specific ICAM-3 receptor/HIV-1-binding protein) is mediated by the macrophage mannose receptor. PMID: 12645947
- Results suggest that Endo180 is a crucial link between urokinase-type plasminogen activator and its receptor and setting of the internal cellular compass. PMID: 12952933
- Endo180 plays a physiological role in mediating collagen matrix remodelling during tissue development and homeostasis PMID: 12972549
- Data suggest that uPARAP/Endo180 participates in the connective tissue destruction during head and neck squamous cell carcinoma progression by mediating cellular uptake and lysosomal degradation of collagen. PMID: 17189524
- To investigate the consequence of Endo180 up-regulation, MCF7 cells transfected with Endo180 were inoculated into immunocompromised mice; expression of wild-type Endo180, but not an internalization-defective Endo180 mutant, showed enhanced tumor growth. PMID: 17974964
- By using cell isolates from uPARAP deficient mice, it is demonstrated that uPARAP is a collagen receptor. Thus uPARAP deficient fibroblasts can not internalize collagen and show a reduced adhesion/migration on collagen surfaces PMID: 12668656
顯示更多
收起更多
-
亞細胞定位:Membrane; Single-pass type I membrane protein.
-
組織特異性:Ubiquitous with low expression in brain, placenta, lung, kidney, pancreas, spleen, thymus and colon. Expressed in endothelial cells, fibroblasts and macrophages. Highly expressed in fetal lung and kidney.
-
數據庫鏈接:
Most popular with customers
-
-
YWHAB Recombinant Monoclonal Antibody
Applications: ELISA, WB, IHC, IF, FC
Species Reactivity: Human, Mouse, Rat
-
Phospho-YAP1 (S127) Recombinant Monoclonal Antibody
Applications: ELISA, WB, IHC
Species Reactivity: Human
-
-
-
-
-















