MOB1A Antibody
-
中文名稱:MOB1A兔多克隆抗體
-
貨號:CSB-PA872519HA01HU
-
規格:¥440
-
圖片:
-
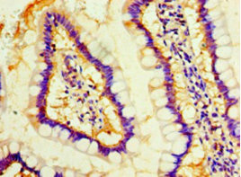
Immunohistochemistry of paraffin-embedded human small intestine tissue using CSB-PA872519HA01HU at dilution of 1:100
-
Western Blot
Positive WB detected in: K562 whole cell lysate, Jurkat whole cell lysate
All lanes: MOB1A antibody at 3.3µg/ml
Secondary
Goat polyclonal to rabbit IgG at 1/50000 dilution
Predicted band size: 26, 17 kDa
Observed band size: 26 kDa -
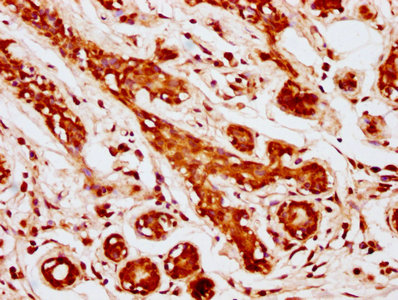
IHC image of CSB-PA872519HA01HU diluted at 1:1000 and staining in paraffin-embedded human breast cancer performed on a Leica BondTM system. After dewaxing and hydration, antigen retrieval was mediated by high pressure in a citrate buffer (pH 6.0). Section was blocked with 10% normal goat serum 30min at RT. Then primary antibody (1% BSA) was incubated at 4°C overnight. The primary is detected by a biotinylated secondary antibody and visualized using an HRP conjugated SP system.
-
Immunofluorescence staining of HepG2 cells with CSB-PA872519HA01HU at 1:333, counter-stained with DAPI. The cells were fixed in 4% formaldehyde, permeabilized using 0.2% Triton X-100 and blocked in 10% normal Goat Serum. The cells were then incubated with the antibody overnight at 4°C. The secondary antibody was Alexa Fluor 488-congugated AffiniPure Goat Anti-Rabbit IgG(H+L).
-
Immunoprecipitating MOB1A in Jurkat whole cell lysate
Lane 1: Rabbit control IgG instead of CSB-PA872519HA01HU in Jurkat whole cell lysate. For western blotting, a HRP-conjugated Protein G antibody was used as the secondary antibody (1/2000)
Lane 2: CSB-PA872519HA01HU (5µg) + Jurkat whole cell lysate (500µg)
Lane 3: Jurkat whole cell lysate (20µg)
-
-
其他:
產品詳情
-
產品名稱:Rabbit anti-Homo sapiens (Human) MOB1A Polyclonal antibody
-
Uniprot No.:
-
基因名:
-
別名:B1; Mps One Binder kinase activator like 1B (yeast) antibody; C2orf6 antibody; Chromosome 2 open reading frame 6 antibody; FLJ10788 antibody; FLJ11595 antibody; MATS1 antibody; MOB kinase activator 1A antibody; MOB1 antibody; Mob1 alpha antibody; Mob1 homolog 1B antibody; MOB1 Mps One Binder homolog A antibody; MOB1 Mps One Binder kinase activator like 1B antibody; Mob1A antibody; MOB4B antibody; Mob4B protein antibody; MOBK1B antibody; Mobkl1b antibody; MOL1B_HUMAN antibody; Mps one binder kinase activator like 1B antibody; Mps one binder kinase activator-like 1B antibody; Protein Mob4B antibody
-
宿主:Rabbit
-
反應種屬:Human
-
免疫原:Recombinant Human MOB kinase activator 1A protein (2-216AA)
-
免疫原種屬:Homo sapiens (Human)
-
標記方式:Non-conjugated
本頁面中的產品,MOB1A Antibody (CSB-PA872519HA01HU),的標記方式是Non-conjugated。對于MOB1A Antibody,我們還提供其他標記。見下表:
-
克隆類型:Polyclonal
-
抗體亞型:IgG
-
純化方式:>95%, Protein G purified
-
濃度:It differs from different batches. Please contact us to confirm it.
-
保存緩沖液:Preservative: 0.03% Proclin 300
Constituents: 50% Glycerol, 0.01M PBS, PH 7.4 -
產品提供形式:Liquid
-
應用范圍:ELISA, WB, IHC, IF, IP
-
推薦稀釋比:
Application Recommended Dilution WB 1:2000-1:5000 IHC 1:100-1:1000 IF 1:200-1:500 IP IP1:200-1:2000 -
Protocols:
-
儲存條件:Upon receipt, store at -20°C or -80°C. Avoid repeated freeze.
-
貨期:Basically, we can dispatch the products out in 1-3 working days after receiving your orders. Delivery time maybe differs from different purchasing way or location, please kindly consult your local distributors for specific delivery time.
-
用途:For Research Use Only. Not for use in diagnostic or therapeutic procedures.
相關產品
靶點詳情
-
功能:Activator of LATS1/2 in the Hippo signaling pathway which plays a pivotal role in organ size control and tumor suppression by restricting proliferation and promoting apoptosis. The core of this pathway is composed of a kinase cascade wherein STK3/MST2 and STK4/MST1, in complex with its regulatory protein SAV1, phosphorylates and activates LATS1/2 in complex with its regulatory protein MOB1, which in turn phosphorylates and inactivates YAP1 oncoprotein and WWTR1/TAZ. Phosphorylation of YAP1 by LATS1/2 inhibits its translocation into the nucleus to regulate cellular genes important for cell proliferation, cell death, and cell migration. Stimulates the kinase activity of STK38 and STK38L. Acts cooperatively with STK3/MST2 to activate STK38.
-
基因功能參考文獻:
- validated the functional importance of an identified interaction network by characterizing a distinct novel interaction between PTPN5 and Mob1a. PMID: 28675297
- Through a comprehensive set of biochemical, biophysical, mutational and structural studies, we quantitatively assess how phosphorylation of MOB1A regulates its interaction with both MST kinases and LATS/NDR family kinases in vitro. PMID: 28373297
- In this study, we investigated the mechanisms behind the recruitment of MST1 and MST2 kinases to MOB1, which facilitate signal transmission in the Hippo pathway by bringing the MST1 and MST2 kinases in close vicinity to their substrates, the LATS family kinases. PMID: 28373298
- MOB1 binds differently to the NDR2 and LATS1 kinases.MOB1 interaction with Hippo and MST protein is not essential for development and tissue growth control. PMID: 28947795
- No relationship has been found between the MOBKL1B-NS5A interaction and hepatitis C virus replication. PMID: 25031347
- The RING ligase praja2 ubiquitylates and degrades Mob, a core component of NDR/LATS kinase and a positive regulator of the tumour-suppressor Hippo cascade. PMID: 23652010
- Mob1A and Mob1B are needed for cell abscission and centriole re-joining after telophase and cytokinesis. PMID: 22454515
- Results suggest that Mob1 and the other mammalian orthologues of the mitotic exit network regulate mitotic progression by facilitating the timely mobilization of the chromosomal passenger complex to the spindle midzone. PMID: 19955215
- hMOB1A and hMOB1B are 2 LATS-binding proteins that may function as tumor suppressors in human cancer cells. PMID: 19739119
- Mats1 can rescue the lethality associated with loss of Mats function in Drosophila; As Mats1 is mutated in human tumors, Mats-mediated growth inhibition and tumor suppression is likely conserved in humans PMID: 15766530
- MATS1 mRNA expression is suppressed in tumor tissue and its low expression is associated with tumor growth, invasion and metastasis of colorectal cancer PMID: 17611689
顯示更多
收起更多
-
蛋白家族:MOB1/phocein family
-
組織特異性:Adrenal gland, bone marrow, brain, placenta, prostate, salivary gland, skeletal muscle, testis, thymus, thyroid gland, heart, spinal cord, fetal brain and fetal liver.
-
數據庫鏈接:
Most popular with customers
-
-
YWHAB Recombinant Monoclonal Antibody
Applications: ELISA, WB, IHC, IF, FC
Species Reactivity: Human, Mouse, Rat
-
Phospho-YAP1 (S127) Recombinant Monoclonal Antibody
Applications: ELISA, WB, IHC
Species Reactivity: Human
-
-
-
-
-















