MMP27 Antibody
-
中文名稱:MMP27兔多克隆抗體
-
貨號:CSB-PA566766
-
規格:¥1100
-
圖片:
-
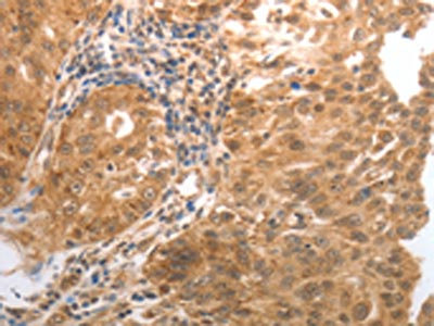
The image on the left is immunohistochemistry of paraffin-embedded Human breast cancer tissue using CSB-PA566766(MMP27 Antibody) at dilution 1/50, on the right is treated with synthetic peptide. (Original magnification: ×200)
-
The image on the left is immunohistochemistry of paraffin-embedded Human ovarian cancer tissue using CSB-PA566766(MMP27 Antibody) at dilution 1/50, on the right is treated with synthetic peptide. (Original magnification: ×200)
-
-
其他:
產品詳情
-
Uniprot No.:
-
基因名:MMP27
-
別名:EC 3.4.24. antibody; Matrix metallopeptidase 27 antibody; Matrix metalloprotease 27 antibody; Matrix metalloproteinase 27 antibody; Matrix metalloproteinase-27 antibody; MMP 27 antibody; MMP-27 antibody; MMP27 antibody; MMP27_HUMAN antibody
-
宿主:Rabbit
-
反應種屬:Human
-
免疫原:Synthetic peptide of Human MMP27
-
免疫原種屬:Homo sapiens (Human)
-
標記方式:Non-conjugated
-
抗體亞型:IgG
-
純化方式:Antigen affinity purification
-
濃度:It differs from different batches. Please contact us to confirm it.
-
保存緩沖液:-20°C, pH7.4 PBS, 0.05% NaN3, 40% Glycerol
-
產品提供形式:Liquid
-
應用范圍:ELISA,IHC
-
推薦稀釋比:
Application Recommended Dilution ELISA 1:2000-1:10000 IHC 1:50-1:200 -
Protocols:
-
儲存條件:Upon receipt, store at -20°C or -80°C. Avoid repeated freeze.
-
貨期:Basically, we can dispatch the products out in 1-3 working days after receiving your orders. Delivery time maybe differs from different purchasing way or location, please kindly consult your local distributors for specific delivery time.
-
用途:For Research Use Only. Not for use in diagnostic or therapeutic procedures.
相關產品
靶點詳情
-
功能:Matrix metalloproteinases degrade protein components of the extracellular matrix such as fibronectin, laminin, gelatins and/or collagens.
-
基因功能參考文獻:
- MMP-27 is expressed in a subset of endometrial macrophages related to menstruation and in ovarian and peritoneal endometriotic lesions. PMID: 24810263
- MMP-27 is efficiently retained within the ER due to its unique CTE, which does not lead to stable membrane insertion. This could represent a novel ER retention system PMID: 24548619
-
亞細胞定位:Endoplasmic reticulum membrane; Peripheral membrane protein.
-
蛋白家族:Peptidase M10A family
-
組織特異性:Expressed in B-cells. Expressed in a subset of endometrial macrophages related to menstruation and in ovarian and peritoneal endometriotic lesions (at protein level)(PubMed:24810263).
-
數據庫鏈接:
Most popular with customers
-
-
YWHAB Recombinant Monoclonal Antibody
Applications: ELISA, WB, IHC, IF, FC
Species Reactivity: Human, Mouse, Rat
-
Phospho-YAP1 (S127) Recombinant Monoclonal Antibody
Applications: ELISA, WB, IHC
Species Reactivity: Human
-
-
-
-
-















