MMP20 Antibody
-
中文名稱:MMP20兔多克隆抗體
-
貨號:CSB-PA104319
-
規格:¥1100
-
圖片:
-
The image on the left is immunohistochemistry of paraffin-embedded Human ovarian cancer tissue using CSB-PA104319(MMP20 Antibody) at dilution 1/30, on the right is treated with synthetic peptide. (Original magnification: ×200)
-
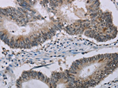
The image on the left is immunohistochemistry of paraffin-embedded Human colon cancer tissue using CSB-PA104319(MMP20 Antibody) at dilution 1/30, on the right is treated with synthetic peptide. (Original magnification: ×200)
-
Gel: 8%SDS-PAGE, Lysate: 40 μg, Lane 1-2: Mouse brain tissue, 823 cells, Primary antibody: CSB-PA104319(MMP20 Antibody) at dilution 1/250, Secondary antibody: Goat anti rabbit IgG at 1/8000 dilution, Exposure time: 20 seconds
-
-
其他:
產品詳情
-
Uniprot No.:
-
基因名:MMP20
-
別名:AI2A2 antibody; Enamel metalloproteinase antibody; Enamelysin antibody; Matrix metalloproteinase 20 antibody; Matrix metalloproteinase-20 antibody; MMP 20 antibody; MMP-20 antibody; MMP20 antibody; MMP20_HUMAN antibody
-
宿主:Rabbit
-
反應種屬:Human,Mouse
-
免疫原:Synthetic peptide of Human MMP20
-
免疫原種屬:Homo sapiens (Human)
-
標記方式:Non-conjugated
-
抗體亞型:IgG
-
純化方式:Antigen affinity purification
-
濃度:It differs from different batches. Please contact us to confirm it.
-
保存緩沖液:-20°C, pH7.4 PBS, 0.05% NaN3, 40% Glycerol
-
產品提供形式:Liquid
-
應用范圍:ELISA,WB,IHC
-
推薦稀釋比:
Application Recommended Dilution ELISA 1:1000-1:2000 WB 1:200-1:1000 IHC 1:50-1:200 -
Protocols:
-
儲存條件:Upon receipt, store at -20°C or -80°C. Avoid repeated freeze.
-
貨期:Basically, we can dispatch the products out in 1-3 working days after receiving your orders. Delivery time maybe differs from different purchasing way or location, please kindly consult your local distributors for specific delivery time.
-
用途:For Research Use Only. Not for use in diagnostic or therapeutic procedures.
相關產品
靶點詳情
-
功能:Degrades amelogenin, the major protein component of the enamel matrix and two of the macromolecules characterizing the cartilage extracellular matrix: aggrecan and the cartilage oligomeric matrix protein (COMP). May play a central role in tooth enamel formation. Cleaves aggrecan at the '360-Asn-|-Phe-361' site.
-
基因功能參考文獻:
- The levels of MMP20 silencing-induced downregulation differed amongst CSC markers, with ABCG2 and CD44 showing more pronounced downregulations. PMID: 30002682
- common variants at 11q22.2 within MMP20 associate with neuroblastoma cases harboring 11q deletion (rs10895322) PMID: 28924153
- The article data showed that MMP20 rs1784418 C>T (Matrix metalloproteinase 20) appears to protect against dental caries, but its effects are likely to be more marked in certain populations. PMID: 27992873
- DSPP-MMP20 pair may play a role in the normal turnover of cell surface proteins and/or repair of pericellular matrix proteins of the basement membranes in the metabolically active duct epithelial system of the nephrons. PMID: 27666430
- Levels of matrix metalloproteinases MMP-19 and MMP-20 expression are significantly increased in pancreatic ductal adenocarcinoma (PDAC). PMID: 26692439
- The expression of MMP20 was lower in calcifying cystic odontogenic tumor when compared to all tumors and cysts. PMID: 26558991
- The growth of choroidal neovascularization in AMD would be affected by 2 genes: MMP20, a newly confirmed gene expressed in the retina, and ARMS2/HTRA1, a well-known susceptibility gene for AMD. PMID: 26337002
- Novel homozygous mutation MMP20 (c.1054G>A, p.Glu352Lys) genes were identified in amelogenesis imperfect consanguinity. Mutant MMP20 was expressed at a normal level but secreted only minimally with proteolytic function. PMID: 26124219
- expression of MMP-20 and co-expression and potential interaction with DSPP in human major salivary gland tissues PMID: 25805840
- The results identify MMP-20 as a broad activator of pro-KLKs, suggesting the potential for intersection of the KLK and MMP axes under pathological dysregulation of MMP-20 expression. PMID: 23241590
- Polymorphisms of MMP7 and MMP20 genes may be surrogate markers to predict long-term outcomes after kidney transplantation. PMID: 23953525
- mineralized content slightly decreased; magnesium substituting for calcium in crystal. anomalies affected enamel with minimal interrod enamel; apatite crystals perpendicular to enamel prisms, suggesting possible new role for MMP20 in enamel formation. PMID: 23625376
- amelogenesis imperfecta-causing mutations were identified in three of the probands: 2)a novel missense transition mutation in both MMP20 alleles (g.15390A>G; c.611A>G; p.His204Arg) that substituted arginine for histidine. PMID: 23355523
- Variation in MMP20 may be associated with caries experience mainly in Caucasian subjects with poor oral health habits. PMID: 22330321
- hypocalcified amelogenesis imperfecta, Witkop type III, was unrelated to previously described mutations in the ENAM or MMP-20 genes PMID: 21504268
- MMP-20 is overexpresssed in LSCC compared with the adjacent normal laryngeal epithelium. PMID: 21466263
- Associations between tooth agenesis and MMP1 (p=0.007), and MMP20 (p=0.03) were found in Brazilian families. MMP20 continued to be associated with tooth agenesis (p=0.01). Mmp20 was not expressed during the initial stages of tooth development. PMID: 21144496
- Enamelysin and collagen XVIII were co-localized in the developing enamel matrix and stratum intermedium and in the enamel-like tumor matrix of odontogenic tumors. PMID: 15296943
- A mutation in the MMP-20 gene has been identified and associated with amelogenesis imperfecta. PMID: 15744043
- c-Jun is a key regulatory element for MMP-20 expression PMID: 17611094
- Binding of the P41T mutant amelogenin for matrix metalloproteinase 20 was significantly lower than that of wild-type amelogenin. PMID: 18434575
- A total of 463 individuals from 54 families were evaluated and mutations in the AMEL, ENAM and KLK4 genes were identified. PMID: 18714142
- were able to find SNPs in the matrix metallopeptidase gene MMP20(GeneID 9313) that are significantly associated with kidney aging. PMID: 19834535
- In a family with a hypomaturation-type enamel defect, mutational and haplotype analyses revealed an amelogenesis imperfecta-causing point mutation in exon 6 of MMP20 that results in a single amino acid substitution in the hemopexin domain. PMID: 19966041
顯示更多
收起更多
-
相關疾病:Amelogenesis imperfecta, hypomaturation type, 2A2 (AI2A2)
-
亞細胞定位:Secreted, extracellular space, extracellular matrix.
-
蛋白家族:Peptidase M10A family
-
組織特異性:Expressed specifically in the enamel organ.
-
數據庫鏈接:
Most popular with customers
-
-
YWHAB Recombinant Monoclonal Antibody
Applications: ELISA, WB, IHC, IF, FC
Species Reactivity: Human, Mouse, Rat
-
Phospho-YAP1 (S127) Recombinant Monoclonal Antibody
Applications: ELISA, WB, IHC
Species Reactivity: Human
-
-
-
-
-















