-
中文名稱:MMD2兔多克隆抗體
-
貨號:CSB-PA814229LA01HU
-
規格:¥440
-
圖片:
-
Western blot
All lanes: MMD2 antibody at 3µg/ml
Lane 1: Mouse brain tissue
Lane 2: Mouse kidney tissue
Lane 3: U251 whole cell lysate
Lane 4: 293T whole cell lysate
Lane 5: Mouse liver tissue
Secondary
Goat polyclonal to rabbit IgG at 1/10000 dilution
Predicted band size: 32, 29, 23 kDa
Observed band size: 23 kDa -
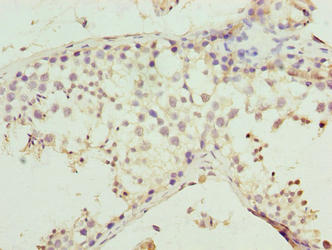
Immunohistochemistry of paraffin-embedded human testis tissue using CSB-PA814229LA01HU at dilution of 1:100
-
Immunofluorescent analysis of U251 cells using CSB-PA814229LA01HU at dilution of 1:100 and Alexa Fluor 488-congugated AffiniPure Goat Anti-Rabbit IgG(H+L)
-
-
其他:
產品詳情
-
產品名稱:Rabbit anti-Homo sapiens (Human) MMD2 Polyclonal antibody
-
Uniprot No.:
-
基因名:MMD2
-
別名:MMD2; PAQR10; Monocyte to macrophage differentiation factor 2; Progestin and adipoQ receptor family member 10; Progestin and adipoQ receptor family member X
-
宿主:Rabbit
-
反應種屬:Human, Mouse
-
免疫原:Recombinant Human Monocyte to macrophage differentiation factor 2 protein (1-38AA)
-
免疫原種屬:Homo sapiens (Human)
-
標記方式:Non-conjugated
本頁面中的產品,MMD2 Antibody (CSB-PA814229LA01HU),的標記方式是Non-conjugated。對于MMD2 Antibody,我們還提供其他標記。見下表:
-
克隆類型:Polyclonal
-
抗體亞型:IgG
-
純化方式:>95%, Protein G purified
-
濃度:It differs from different batches. Please contact us to confirm it.
-
保存緩沖液:Preservative: 0.03% Proclin 300
Constituents: 50% Glycerol, 0.01M PBS, PH 7.4 -
產品提供形式:Liquid
-
應用范圍:ELISA, WB, IHC, IF
-
推薦稀釋比:
Application Recommended Dilution WB 1:500-1:2000 IHC 1:20-1:200 IF 1:50-1:200 -
Protocols:
-
儲存條件:Upon receipt, store at -20°C or -80°C. Avoid repeated freeze.
-
貨期:Basically, we can dispatch the products out in 1-3 working days after receiving your orders. Delivery time maybe differs from different purchasing way or location, please kindly consult your local distributors for specific delivery time.
-
用途:For Research Use Only. Not for use in diagnostic or therapeutic procedures.
引用文獻
- Monoallelic mutations in MMD2 cause autosomal dominant aggressive periodontitis T Iwata, Y Mizoguchi, T Yoshimoto,Journal of Experimental Medicine,2025
相關產品
靶點詳情
-
基因功能參考文獻:
- Collectively, this study uncovers a new paradigm of spatial regulation of Ras signaling in the Golgi apparatus by PAQR10 and PAQR11. PMID: 21968647
- results of the present study indicate that Golgi localization is indispensable for PAQR10 to implement its regulatory functions in the Ras signalling cascade PMID: 22339580
- Genome-wide association study of gene-disease association. (HuGE Navigator) PMID: 20570966
- Clinical trial of gene-disease association and gene-environment interaction. (HuGE Navigator) PMID: 20379614
- Observational study of gene-disease association. (HuGE Navigator) PMID: 20237496
- Observational study of gene-disease association. (HuGE Navigator) PMID: 19240061
顯示更多
收起更多
-
亞細胞定位:Golgi apparatus membrane; Multi-pass membrane protein.
-
蛋白家族:ADIPOR family
-
組織特異性:Shows restricted expression with highest levels in brain and testis.
-
數據庫鏈接:
Most popular with customers
-
-
YWHAB Recombinant Monoclonal Antibody
Applications: ELISA, WB, IHC, IF, FC
Species Reactivity: Human, Mouse, Rat
-
Phospho-YAP1 (S127) Recombinant Monoclonal Antibody
Applications: ELISA, WB, IHC
Species Reactivity: Human
-
-
-
-
-















