MMADHC Antibody
-
中文名稱:MMADHC兔多克隆抗體
-
貨號:CSB-PA875665LA01HU
-
規格:¥440
-
圖片:
-
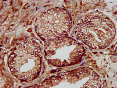
IHC image of CSB-PA875665LA01HU diluted at 1:300 and staining in paraffin-embedded human glioma performed on a Leica BondTM system. After dewaxing and hydration, antigen retrieval was mediated by high pressure in a citrate buffer (pH 6.0). Section was blocked with 10% normal goat serum 30min at RT. Then primary antibody (1% BSA) was incubated at 4°C overnight. The primary is detected by a biotinylated secondary antibody and visualized using an HRP conjugated SP system.
-
IHC image of CSB-PA875665LA01HU diluted at 1:300 and staining in paraffin-embedded human prostate cancer performed on a Leica BondTM system. After dewaxing and hydration, antigen retrieval was mediated by high pressure in a citrate buffer (pH 6.0). Section was blocked with 10% normal goat serum 30min at RT. Then primary antibody (1% BSA) was incubated at 4°C overnight. The primary is detected by a biotinylated secondary antibody and visualized using an HRP conjugated SP system.
-
Immunofluorescence staining of HepG2 cells with CSB-PA875665LA01HU at 1:100, counter-stained with DAPI. The cells were fixed in 4% formaldehyde, permeabilized using 0.2% Triton X-100 and blocked in 10% normal Goat Serum. The cells were then incubated with the antibody overnight at 4°C. The secondary antibody was Alexa Fluor 488-congugated AffiniPure Goat Anti-Rabbit IgG(H+L).
-
-
其他:
產品詳情
-
產品名稱:Rabbit anti-Homo sapiens (Human) MMADHC Polyclonal antibody
-
Uniprot No.:
-
基因名:MMADHC
-
別名:C2orf25 antibody; cblD antibody; Chromosome 2 open reading frame 25 antibody; CL25022 antibody; Methylmalonic aciduria (cobalamin deficiency) cblD type; with homocystinuria antibody; Methylmalonic aciduria and homocystinuria type D protein antibody; methylmalonic aciduria and homocystinuria type D protein; mitochondrial antibody; mitochondrial antibody; MMAD_HUMAN antibody; Mmadhc antibody; Protein C2orf25; mitochondrial antibody
-
宿主:Rabbit
-
反應種屬:Human
-
免疫原:Recombinant Human Methylmalonic aciduria and homocystinuria type D protein, mitochondrial protein (26-142AA)
-
免疫原種屬:Homo sapiens (Human)
-
標記方式:Non-conjugated
本頁面中的產品,MMADHC Antibody (CSB-PA875665LA01HU),的標記方式是Non-conjugated。對于MMADHC Antibody,我們還提供其他標記。見下表:
-
克隆類型:Polyclonal
-
抗體亞型:IgG
-
純化方式:>95%, Protein G purified
-
濃度:It differs from different batches. Please contact us to confirm it.
-
保存緩沖液:Preservative: 0.03% Proclin 300
Constituents: 50% Glycerol, 0.01M PBS, pH 7.4 -
產品提供形式:Liquid
-
應用范圍:ELISA, IHC, IF
-
推薦稀釋比:
Application Recommended Dilution IHC 1:200-1:500 IF 1:50-1:200 -
Protocols:
-
儲存條件:Upon receipt, store at -20°C or -80°C. Avoid repeated freeze.
-
貨期:Basically, we can dispatch the products out in 1-3 working days after receiving your orders. Delivery time maybe differs from different purchasing way or location, please kindly consult your local distributors for specific delivery time.
-
用途:For Research Use Only. Not for use in diagnostic or therapeutic procedures.
相關產品
靶點詳情
-
功能:Involved in cobalamin metabolism and trafficking. Plays a role in regulating the biosynthesis and the proportion of two coenzymes, methylcob(III)alamin (MeCbl) and 5'-deoxyadenosylcobalamin (AdoCbl). Promotes oxidation of cob(II)alamin bound to MMACHC. The processing of cobalamin in the cytosol occurs in a multiprotein complex composed of at least MMACHC, MMADHC, MTRR (methionine synthase reductase) and MTR (methionine synthase) which may contribute to shuttle safely and efficiently cobalamin towards MTR in order to produce methionine.
-
基因功能參考文獻:
- analysis of crystal structure of the globular C-terminal domain of human CblD, which is sufficient for its interaction with MMADHC or CblC, and for supporting the cytoplasmic cobalamin trafficking pathway PMID: 26364851
- specific regions of MMADHC are involved in differential regulation of adenosylcobalamin and methylcobalamin synthesis PMID: 24722857
- MMADHC mutations are associated with methylmalonic aciduria and homocystinuria. PMID: 22156578
- mutations in a gene designated MMADHC (currently named C2orf25) are responsible for the cblD defect in vitamin B12 metabolism; various mutations are associated with each of the three biochemical phenotypes of the disorder PMID: 18385497
-
相關疾病:Methylmalonic aciduria and homocystinuria type cblD (MMAHCD)
-
亞細胞定位:Cytoplasm. Mitochondrion.
-
組織特異性:Widely expressed at high levels.
-
數據庫鏈接:
Most popular with customers
-
-
YWHAB Recombinant Monoclonal Antibody
Applications: ELISA, WB, IHC, IF, FC
Species Reactivity: Human, Mouse, Rat
-
Phospho-YAP1 (S127) Recombinant Monoclonal Antibody
Applications: ELISA, WB, IHC
Species Reactivity: Human
-
-
-
-
-















