MLH1 Antibody
-
中文名稱:MLH1兔多克隆抗體
-
貨號:CSB-PA17009A0Rb
-
規格:¥440
-
圖片:
-
Western Blot
Positive WB detected in: HEK293 whole cell lysate, Hela whole cell lysate
All lanes: MLH1 antibody at 3μg/ml
Secondary
Goat polyclonal to rabbit IgG at 1/50000 dilution
Predicted band size: 85, 59, 74 kDa
Observed band size: 85 kDa -
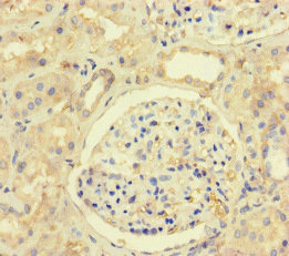
Immunohistochemistry of paraffin-embedded human kidney tissue using CSB-PA17009A0Rb at dilution of 1:100
-
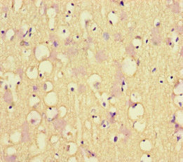
Immunohistochemistry of paraffin-embedded human brain tissue using CSB-PA17009A0Rb at dilution of 1:100
-
Immunofluorescent analysis of Hela cells using CSB-PA17009A0Rb at dilution of 1:100 and Alexa Fluor 488-congugated AffiniPure Goat Anti-Rabbit IgG(H+L)
-
-
其他:
產品詳情
-
產品名稱:Rabbit anti-Homo sapiens (Human) MLH1 Polyclonal antibody
-
Uniprot No.:
-
基因名:
-
別名:COCA 2 antibody; COCA2 antibody; DNA mismatch repair protein Mlh1 antibody; FCC 2 antibody; FCC2 antibody; hMLH 1 antibody; hMLH1 antibody; HNPCC 2 antibody; HNPCC antibody; HNPCC2 antibody; MGC5172 antibody; MLH 1 antibody; MLH1 antibody; MLH1_HUMAN antibody; MutL homolog 1 (E. coli) antibody; MutL homolog 1 antibody; MutL homolog 1 colon cancer nonpolyposis type 2 antibody; MutL homolog 1, colon cancer, nonpolyposis type 2 (E. coli) antibody; MutL protein homolog 1 antibody; MutL, E. coli, homolog of, 1 antibody
-
宿主:Rabbit
-
反應種屬:Human
-
免疫原:Recombinant Human DNA mismatch repair protein Mlh1 protein (350-519AA)
-
免疫原種屬:Homo sapiens (Human)
-
標記方式:Non-conjugated
本頁面中的產品,MLH1 Antibody (CSB-PA17009A0Rb),的標記方式是Non-conjugated。對于MLH1 Antibody,我們還提供其他標記。見下表:
-
克隆類型:Polyclonal
-
抗體亞型:IgG
-
純化方式:>95%, Protein G purified
-
濃度:It differs from different batches. Please contact us to confirm it.
-
保存緩沖液:Preservative: 0.03% Proclin 300
Constituents: 50% Glycerol, 0.01M PBS, PH 7.4 -
產品提供形式:Liquid
-
應用范圍:ELISA, WB, IHC, IF
-
推薦稀釋比:
Application Recommended Dilution WB 1:500-1:5000 IHC 1:20-1:200 IF 1:50-1:200 -
Protocols:
-
儲存條件:Upon receipt, store at -20°C or -80°C. Avoid repeated freeze.
-
貨期:Basically, we can dispatch the products out in 1-3 working days after receiving your orders. Delivery time maybe differs from different purchasing way or location, please kindly consult your local distributors for specific delivery time.
-
用途:For Research Use Only. Not for use in diagnostic or therapeutic procedures.
相關產品
靶點詳情
-
功能:Heterodimerizes with PMS2 to form MutL alpha, a component of the post-replicative DNA mismatch repair system (MMR). DNA repair is initiated by MutS alpha (MSH2-MSH6) or MutS beta (MSH2-MSH3) binding to a dsDNA mismatch, then MutL alpha is recruited to the heteroduplex. Assembly of the MutL-MutS-heteroduplex ternary complex in presence of RFC and PCNA is sufficient to activate endonuclease activity of PMS2. It introduces single-strand breaks near the mismatch and thus generates new entry points for the exonuclease EXO1 to degrade the strand containing the mismatch. DNA methylation would prevent cleavage and therefore assure that only the newly mutated DNA strand is going to be corrected. MutL alpha (MLH1-PMS2) interacts physically with the clamp loader subunits of DNA polymerase III, suggesting that it may play a role to recruit the DNA polymerase III to the site of the MMR. Also implicated in DNA damage signaling, a process which induces cell cycle arrest and can lead to apoptosis in case of major DNA damages. Heterodimerizes with MLH3 to form MutL gamma which plays a role in meiosis.
-
基因功能參考文獻:
- Low MLH1 expression is associated with Colonic Adenoma and Adenocarcinoma. PMID: 29976631
- Single-Nucleotide Polymorphisms of the MLH1 is associated with Basal Cell Carcinoma. PMID: 28667494
- this meta-analysis suggested that hMLH1 methylation was associated with an increased CRC risk. PMID: 29970664
- The DNA mismatch repair gene (MMR) plays an important role in anti-carcinogenesis and MMR gene deficiency. PMID: 29728922
- Study investigated the counteraction of oxidative stress by vitamin E in the colorectal cancer cell line Caco-2 under normal and high glucose cell culture condition. Gene expression and promoter methylation of the DNA repair gene MutL homolog 1 (MLH1) and the DNA methyltransferase 1 (DNMT1) were investigated. Induction of MLH1 and DNMT1 gene expression was noticed, accompanied by an increase in global methylation. PMID: 29854080
- the results identified for the first time a MLH1 missense mutation (NM_000249.3:p.Tyr379Ser/c.1136A>C) in a Chinese family with Gardner syndrome (GS), thus broadening the range of mutated genes associated with GS. PMID: 29845239
- This study demonstrated that Aberrant methylation of mutL homolog 1 is associated with increased risk of non-small cell lung cancer PMID: 29205508
- MLH1's ATPase domain has a crucial role in preventing the aberrant formation of telomeric sequences at the intra-chromosomal regions and preserving genome stability. PMID: 29544212
- provide evidence that four of the alterations in MLH1 are causative for Lynch syndrome, four are likely neutral and one shows compromised activity which can currently not be classified with respect to its pathogenic potential PMID: 29520894
- This pilot study indicates oligozoospermic patients have more methylation of MLH1 than normozoospermic patients. PMID: 28983945
- MLH1 and PMS2 can be imported to the nucleus by a classical nuclear import pathway PMID: 29175432
- The MLH1-93 AA genotype is significantly associated with promoter hypermethylation and MLH1 loss in the context of Sessile serrated adenoma of dysplasia. BRAF mutant microsatellite stable colorectal cancers with the AA genotype most likely arise in traditional serrated adenomas since the A allele does not predispose to methylation in this context. PMID: 29304767
- Cancer developed more often in mutation carriers, with no consistent difference between MLH1 and MSH2 carriers. More polyps (mostly adenomas) were detected in MLH1 carriers. The majority (13 of 21) of malignant tumours occurred in organs for which there is no recommended surveillance, and were lethal in three patients. PMID: 29025352
- Data suggest that the concurrent mutations of the adenomatous polyposis coli protein (APC) and mutL protein homolog 1 (MLH1) genes probably underline the familial adenomatous polyposis (FAP) in the pedigree. PMID: 29419868
- Among 13 gastric tumors showing no hMLH1 or hMSH2 expression, 8 MSI-H (high) and 5 MSI-L (low) were identified. PMID: 28525661
- Results show that folate concentrations >45.3 nmol/L increased the risk of methylation in specific CpG sites of MLH1. PMID: 28748002
- In contrast to colorectal carcinoma, sporadic MLH1 deficiency is not seen in small bowel adenocarcinoma PMID: 27258561
- MLH1 methylation is associated with colorectal cancer. PMID: 28730335
- We found no correlation between the DLEC1, TUSC4 and MLH1 gene expression and NSCLC patient characteristics (gender, age and smoking) or cancer histopathology. No significant differences in the gene expression among NSCLC subtypes indicate the weakness of DLEC1, TUSC4 and MLH1 expression analysis as potential differentiating markers of NSCLC subtypes in the Polish population. PMID: 28674222
- The results of this meta-analysis show a significant association between hMLH1 hypermethylation and colorectal cancer risk. PMID: 28635682
- study to estimate frequency of point mutations and chromosomal rearrangements in 3 mismatch repair (MMR) genes MLH1, MSH2, and MSH6 among unselected patients with ovarian cancer; estimate that approximately 0.6% of unselected ovarian cancer patients have mutations in the MMR genes PMID: 28176205
- CpG island methylator phenotype (CIMP)+/MLH1-unmethylated (MLH1-U) tumors exhibit aggressive features and are associated with poor clinical outcomes. PMID: 27880934
- Analysis of expression Quantitative Trait Loci (eQTLs) provides modest support for altered regulation of MLH1 and LRRFIP2, raising the possibility that the modifier affects regulation of both genes. PMID: 28934397
- MLH1 deficiency had an impact on the evolution of the tumor after surgical resection in a murine xenograft model. PMID: 28512763
- Results indicate that the normal tissue types tested (colorectum and PBMC) experience dynamic genotype-associated epigenetic alterations at the MLH1 shore, whereas cancer tumor DNA incurs aberrant hypermethylation compared to normal DNA. These results reveal that the epigenetic landscape of MLH1 is dynamically regulated at least in part by the static genetic sequence. PMID: 28293327
- MLH1-methylated CpG island methylator phenotype is associated with serrated adenoma in colorectal carcinoma. PMID: 26883113
- cancer-specific survival did not differ in Lynch syndrome-associated colorectal cancer (CRC) compared with MLH1-hm CRC, suggesting that they carry a similar prognosis. PMID: 26866578
- Data show that MLH1(L749P) and MLH1(Y750X) make PMS2 prone to calyculin induced degradation, suggeting that the specific degradation of PMS2 may represent a new mechanism to regulate MLH1-PMS2 heterodimer protein MutLalpha. PMID: 28767177
- hMLH1 (rs1800734) AA genotype is associated with increased risk of lung cancer development. PMID: 26987333
- miR-148b mimic sensitized A549 xenografts to irradiation in vivo Our study demonstrated that miR-148b regulates radioresistance of lung cancer cells by modulating MLH1 expression level. miR-148b may represent a new therapeutic target for the intervention of lung cancer. PMID: 26759383
- hMLH1 promoter hypermethylation plays important roles in esophageal carcinoma drug-resistance PMID: 26782688
- Loss of MLH1 expression is associated with colorectal carcinoma. PMID: 28651545
- the MLH1 c.543C>T silent mutation is considered 'pathogenic'. PMID: 28334867
- Promoter methylation and loss of protein expression of hMLH1 are not parallel processes that occur concurrently. hMLH1 methylation is an early molecular event which occurs even in hyperplastic polyps (HPs). the loss of hMLH1 protein expression does not necessarily precede the development of cytological dysplasia in sessile serrated lesion (SSL). PMID: 26713412
- Overexpression of MutL homolog 1 and MutS homolog 2 proteins have reversed prognostic implications for stage I-II colon cancer PMID: 28411881
- MLH1, a key protein involved in mismatch repair (MMR), suppresses telomeric sequence insertion (TSI) at intra-chromosomal regions. The frequency of TSI can be elevated by double-strand break (DSB) inducer and abolished by ATM/ATR inhibition. Suppression of TSI requires MLH1 recruitment to DSBs, indicating that MLH1's role in DSB response/repair is important for suppressing TSI. PMID: 28180301
- MLH1 mutations contribute to colorectal cancer susceptibility in Algerian families with suspected Lynch syndrome. PMID: 27468915
- MLH1 methylation analysis defines a subset of tumors that have worse prognostic features including higher tumor volume and lymph node involvement. PMID: 28709704
- High MLH1 expression is associated with the development of genetic instability and is linked to tumor aggressiveness and early PSA recurrence in prostate cancer. PMID: 27803051
- In path_MLHI 10-year survival was 80%, relative incidence of subsequent cancer compared with incidence of first cancer was slightly but insignificantly higher than cancer incidence in patients with Lynch syndrome without previous cancer. PMID: 27261338
- MLH1 methylation is a frequent molecular event in colorectal cancer and lung cancer patients PMID: 28214209
- Both the mTOR/p-mTOR and BNIP3/Beclin-1 signaling pathways were found to be related to HRS, but only mTOR/p-mTOR is involved in the regulation of HRS via MLH1 and autophagy. PMID: 28117625
- Data suggest that yeast Mlh1-Mlh3 heterodimer does not exhibit hallmarks of a canonical (structure-selective) Holliday junction resolvase/endonuclease; multiple Mlh1-Mlh3 heterodimers appear to load onto DNA to form an activated polymer that cleaves DNA; human MLH1-PMS2 exhibits similar characteristics. (MLH = mutL homolog protein; PMS2 = post meiotic segregation increased 2 protein) PMID: 28453523
- Genetic changes between MLH1 and MSH2 were significantly positively correlated (p = 0.032). We also noted a positive correlation between genetic changes of MSH2 and DVL3 genes (p = 0.034). PMID: 28705114
- Mismatch repair (MMR)-deficient endometrial carcinomas have significantly increased tumoral and immune stromal PD-L1 expression relative to MMR-intact carcinomas. PD-L1 is frequently positive in both tumoral and immune cells at the periphery of MMR-deficient tumors. Lynch syndrome-associated tumors are more likely to express PDL1 relative to sporadic MLH1 promoter hypermethylation carcinomas. PMID: 27984238
- These results demonstrate the role of variant rs1800734 in altering transcription factor binding as well as epigenetics at regions beyond the MLH1 CpG island in which it is located. PMID: 28304185
- There were a 61.7% (95/154) overexpression of DNMT3B, 50.0% (77/154) loss of PTEN expression and 18.2% (28/154) loss of hMLH1 expression in endometrial carcinomas. PMID: 28220037
- demonstrates that lower level of histone acetylation and specific histone methylation such as H3K36me3 correlate with aberrant transcripts in hMLH1 exon 10-11 region PMID: 28381181
- revealed high frequencies of gene promoter methylation in NSCLCs: 84 % for DLEC1 and MLH1 and 57 % for ITGA9 PMID: 27287342
- In colorectal neoplasms, negative expression of the MMR proteins MLH1, MSH2 or MSH6 was seen in 15% (47 of 313) of the patients. Defect MLH1 was most common and detected in 12% of the cases. Defect MLH1 and MSH2 were identified in each patient's normal adjacent mucosa. PMID: 27836416
顯示更多
收起更多
-
相關疾病:Hereditary non-polyposis colorectal cancer 2 (HNPCC2); Mismatch repair cancer syndrome (MMRCS); Muir-Torre syndrome (MRTES); Endometrial cancer (ENDMC); Colorectal cancer (CRC)
-
亞細胞定位:Nucleus. Chromosome.
-
蛋白家族:DNA mismatch repair MutL/HexB family
-
組織特異性:Colon, lymphocytes, breast, lung, spleen, testis, prostate, thyroid, gall bladder and heart.
-
數據庫鏈接:
Most popular with customers
-
YWHAB Recombinant Monoclonal Antibody
Applications: ELISA, WB, IHC, IF, FC
Species Reactivity: Human, Mouse, Rat
-
Phospho-YAP1 (S127) Recombinant Monoclonal Antibody
Applications: ELISA, WB, IHC
Species Reactivity: Human
-
-
-
-
-
-















